【JAMA】病案学习:3岁B-ALL患者突然出现皮肤奇异斑块,却是何故?

2018 年 8 月 3 日 肿瘤资讯
编译:虚怀若谷
来源:肿瘤资讯

急性白血病(AL)患者通常需接受高强度的化疗,而化疗导致的粒缺及免疫力低下状态则使得“机会性致病菌”有机可乘,由此引起的罕见感染,其诊断及治疗较为棘手。近来,Armenta教授等在JAMA Oncology杂志上发表了1例极具探讨和学习价值的病案报道,详情如下。

病案简介

患者女,3岁,确诊为“B细胞性急性淋巴细胞白血病(B-ALL)”,其诱导治疗为Block1方案(环磷酰胺/长春新碱/地塞米松/左旋门冬酰胺酶/甲氨蝶呤)。在诱导治疗后第15天时,患者的左下背出现了1个大小约为4.0×2.0cm的卵圆形紫黑色斑块,在斑块中间伴有出血性大疱,周围部分充血较明显(见图1)。

图1  患者左下背出现紫黑色斑块

患者最近无皮肤创伤史。查体:无发热,生命体征平稳,余查体未见明显异常。实验室检查:WBC 1.8×109/L,NE 0.36×109/L,HGB 82g/L,PLT 10×109/L(三系减低,中性粒细胞比例明显降低)。血糖:18.09mmol/L(明显升高)。

入院后处理:①给予经验性广谱抗生素,并且请皮肤科会诊;②对患者左下背皮肤斑块给予2次活检及组织培养(覆盖细菌、非典型性分枝杆菌及真菌等)。 

诊断

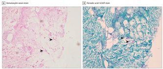
患者左下背斑块的活检显示:组织内可见宽分支真菌菌丝,伴有真皮层血管阻塞性改变(见图2)。此外,斑块皮肤及鼻窦处的组织培养均可发现毛霉菌。通过以上可确诊为“血管侵袭性毛霉菌病(Mucormycosis)”。

图2  箭头处为宽分支真菌菌丝

治疗

确诊为“血管侵袭性毛霉菌病”后,治疗上给予脂质体两性霉素B、泊沙康唑及米卡芬净联合抗真菌,此外将左下背斑块皮肤局部切除及清创。诱导治疗于24天后重新恢复。

小结及知识拓展

毛霉菌形态为白色管状菌丝和黑色球形孢子,属需氧性条件致病菌。其致病特点是损伤穿透血管内皮细胞形成栓塞,进而引起组织梗死。其梗死的组织表现为充血和紫黑色斑块,感染部位可涉及皮肤、鼻窦部、眼眶及脑组织等。

毛霉菌病(Mucormycosis)的患病高危人群通常为恶性肿瘤、粒细胞缺乏、化疗及免疫抑制治疗、糖尿病、长期糖皮质激素应用者或HIV患者等。结合本案例,患者为3岁B-ALL儿童,因诱导治疗导致血三系减少、粒细胞极度低下(仅0.36×109/L)。这些均为毛霉菌病的高危因素。

该病进展极快,易导致器官及组织坏死,因此早期诊断和治疗具有重要意义。在诊断上需要依赖病理发现,可以直观确切地观察到特征性菌丝及病理改变,因而组织病理学或涂片常成为诊断的唯一证据。

对于AML/ALL等恶性血液病患者,高强度的化疗常导致粒缺及免疫力低下,无疑使毛霉菌病的发病几率成倍上升。值得注意的是,该病的致死率极高,一项纳入929例毛霉菌病患者的Meta研究显示,侵犯鼻窦部及肺部的毛霉菌病死亡率分别达46%及76%,而毛霉菌广泛感染者的死亡率高达96%!

既然毛霉菌病进展极快且致死率如此之高,那么应如何治疗呢?根据《2015 ECIL-6指南》指出,白血病患者的毛霉菌病治疗应采取手术清创+抗真菌治疗。治疗的关键点为:①手术清创是治疗毛霉菌病的有效方法,可确切降低患者的死亡率; ②抗真菌治疗对于毛霉菌病的管理亦不可或缺,一线抗真菌药物应首选脂质体两性霉素(Liposomal amphotericin B),此外泊沙康唑(Posaconazole)也是有效的抗毛霉菌药物;③潜在的原发病控制也对毛霉菌病的管理意义重大,如停止或逐步降低糖皮质激素或免疫抑制剂的应用、及时应对粒缺或糖尿病等。 

参考文献

[1]. Andrew M.Armenta, Paul R.Massey, Lucia Z.Diaz, et al. A New Dark Skin Lesion in a 3-Year-Old Undergoing Induction Therapy for Acute Lymphoblastic Leukemia.JAMA Oncol. 2018 Jul 19. doi: 10.1001

[2]. Tissot F, Agrawal S, Pagano L, et al. ECIL-6 guidelines for the treatment of invasive candidiasis, aspergillosis and mucormycosis in leukemia and hematopoietic stem cell transplant patients.Haematologica. 2017 Mar;102(3):433-444.

责任编辑:肿瘤资讯-Amiee

28个肿瘤相关临床试验招募患者


点击下方图片即可查看详情


登录查看更多
0

相关内容

专知会员服务
29+阅读 · 2020年3月6日
【学科交叉】抗生素发现的深度学习方法
专知会员服务
25+阅读 · 2020年2月23日
Self-Attention Graph Pooling
Arxiv
13+阅读 · 2019年6月13日
Viewpoint Estimation-Insights & Model
Arxiv
3+阅读 · 2018年7月3日
Arxiv
4+阅读 · 2018年5月14日
Arxiv
5+阅读 · 2018年4月13日
VIP会员
相关论文
Self-Attention Graph Pooling
Arxiv
13+阅读 · 2019年6月13日
Viewpoint Estimation-Insights & Model
Arxiv
3+阅读 · 2018年7月3日
Arxiv
4+阅读 · 2018年5月14日
Arxiv
5+阅读 · 2018年4月13日
Top
微信扫码咨询专知VIP会员