结肠癌伴多发性肝转移转化治疗病例

2018 年 6 月 28 日 肿瘤资讯
作者:华山医院肝胆外科团队 陈进宏 王祥宇 马克
来源:肿瘤资讯

1. 病史及初诊情况

a) 患者女性,47岁。2017-11-01因“上腹部疼痛20余日”入院。

b) 既往病史:患者于20余日前无明显诱因出现上腹疼痛。腹痛呈阵发性绞痛,不向其他部位放射,与体位无明显关系,排便后略缓解。无发热,大便2-3次/天,为黄色稀烂便,无黏液,无脓血,未触及腹部肿块,无触痛,无里急后重感,无肛门下坠感,无大便习惯改变,无大便形状变细改变,无恶心、呕吐。就诊于当地医院。

腹部B超检查示:肝内多发实质占位,大者约69*54、90*57、58*58、69*59。

肿瘤指标示:CA199>1200U/ml,CEA:38.8U/ml。

上腹增强CT示:肝多发占位,考虑肝转移性癌。

PET-CT提示:乙状结肠淋巴转移,肝内转移。

近来自觉腹痛较前有所加重,并出现排便不畅,门诊以“乙状结肠肠癌”收入我科。

发病以来患者精神、睡眠尚可,进食一般,小便正常,体重较前减轻5公斤。

c) 入院检查情况(基线):

血常规:WBC 8.87 x10^9/L;Hb 105↓;PLT 620 x10^9/L;

肝肾功能:ALT 27U/L;AST 57U/L;白蛋白 38↓;总胆红素 6.4 μmol/L;结合胆红素 2 μmol/L,肌酐 58μmol/L

肿瘤指标:CEA 29.32 μg/L↑;Ca19-9 1523 U/ml↑;

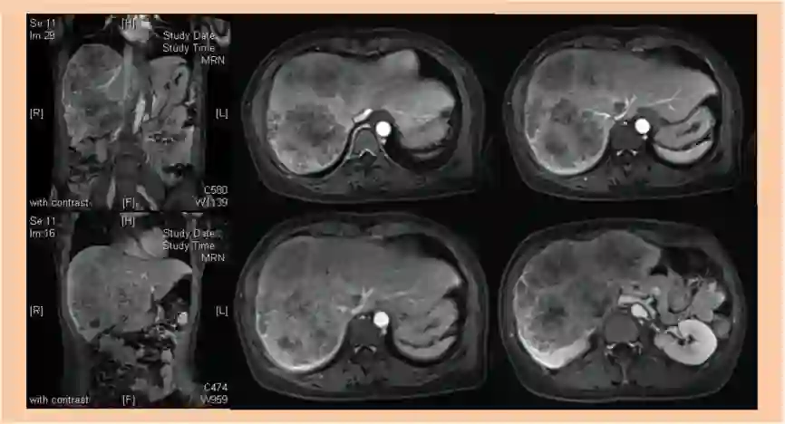
d) 影像学资料

2017-10-30 PET-CT:1. 乙状结肠肠壁走形不均匀增厚、僵硬,FDG代谢异常增高,考虑恶性病变。周围肠系膜内多发稍增大淋巴结伴FDG代谢增高,考虑淋巴转移可能。2. 肝内见弥漫软组织块状影伴坏死,FDG代谢增高,考虑肝内转移。

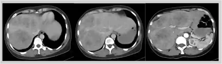
2017-11-03 腹部CT增强:肝内见多发团块高低密度混杂影,增强后动脉期可见边缘强化伴内部网格状强化。乙状结肠近直肠肠腔狭窄,局部管壁增厚,增强后呈渐进强化,盆周多个肿大淋巴结。

2017-11-03 肝脏MR增强:肝右叶及左内叶见多发团状异常信号影,较大者位于V及VI段,大小约13*7cm,病灶信号不均。增强后病灶呈边缘强化。肝IV段另可见一类圆形长T1长T2信号影,大小约2.9*1.9cm。考虑转移瘤。

2017-11-07 肠镜:直肠粘膜光滑,乙状结肠距肛门20cm处粘膜可见一新生物,突出于肠腔内,呈菜花状,表面污秽,质脆,触之易出血,绕腔一周,局部狭窄肠镜无法通过。

病理:(乙状结肠)腺癌,分化中等。基因分型:RAS/RAF野生型

e) 初步诊断:乙状结肠癌同时性肝多发转移

2. 诊疗经过

a) 第一次治疗经过

i. 疾病相关重要的讨论点及治疗目标确定

综合评估:无肝外转移灶,肝转移灶初始不可切除,CRS评分4分,原发灶RAS基因状态:RAS/RAF全野生型,患者身体状况:KPS 80分,原发灶无梗阻、出血等症状,治疗愿望强烈

治疗目标:快速缩瘤,缓解症状,博取转为可切除的机会。

ii. 方案选择:FOLFIRI+西妥昔单抗方案q2W

iii. 治疗经过:

2017-11-15到2018-3-20行FOLFIRI+西妥昔单抗方案,每2周一次,共治疗8周期

iv. 第一次治疗后疗效评估(影像学等资料治疗前后对照)

v. 不良反应等评估:腹泻、恶心、呕吐、脱发等

vi. 第一次治疗后评估结论

治疗后肝转移灶部分缓解

肝脏转移灶转化后可切除

无肝外转移灶(寡转移)

CRS评分4分

原发灶RAS基因野生型

患者身体状况良好,无基础性疾病(ECOG 1分),且治疗愿望强烈

b) 第二次治疗经过

i. 疾病相关重要的讨论点及治疗目标确定:1.转移灶与原发灶同期切除or分期切除。2.如果分期切除,先切原发灶还是转移灶

ii. 方案选择:分期切除,肝转移瘤优先切除

iii. 治疗经过:2017-04-20 行扩大右半肝切除术+胆囊切除术

iv. 第二次治疗后评估:术后病理:(肝)腺癌,切缘阴性,结合病史符合肠癌肝转移。患者术后恢复可,术后7天出院。

c) 第三次治疗经过

i. 疾病相关重要的讨论点及治疗目标确定:直接行原发灶切除术还是行继续新辅助治疗后手术

ii. 方案选择:继续行FOLFIRI+西妥昔单抗巩固治疗2周期

iii. 治疗经过:

2018-5-21到2018-6-5行FOLFIRI+西妥昔单抗方案,每2周一次,共治疗2周期

下一步治疗计划:拟于末次化疗后1月行腹腔镜下乙状结肠癌根治术

3. 总结或点评

该病例治疗过程总结:

1. 该患者诊断为结肠癌伴多发性肝转移,肝脏MR增强示肝右叶及左内叶可见多发团状异常信号影,考虑为转移瘤。较大者位于V及VI段,大小约13*7cm,肿瘤病灶大,负担重,转移瘤肝转移灶初始不可切除

2. 考虑患者情况,首先选择FOLFIRI+西妥昔单抗(爱必妥)方案进行转化治疗,每2周一次,治疗8周期后,转化治疗疗效显著,肝转移灶部分缓解,肝脏转移灶转化治疗后由原先的不可切除变为可切除

3. FOLFIRI+西妥昔单抗(爱必妥)方案治疗8周期后,患者身体状况良好,无基础性疾病,治疗愿望强烈且肝转移灶可切除。采用了分期切除,肝转移灶优先切除的理念进行手术治疗,围手术期无并发症发生

4.肝转移灶切除后,继续行FOLFIRI+西妥昔单抗巩固治疗2周期,拟于末次化疗后行腹腔镜下乙状结肠癌根治术进行根治治疗

小结

晚期结直肠癌患者,包括难以切除的局部进展期结直肠癌和有远处转移的晚期结直肠癌,可首选FOLFIRI+西妥昔单抗进行转化治疗,将不可切除的肿瘤,转变为可以切除,延长患者的无进展生存期和总体生存率,提高患者生活质量。

28个肿瘤相关临床试验招募患者


点击下方图片即可查看详情


登录查看更多
0

相关内容

专知会员服务
29+阅读 · 2020年3月6日
【学科交叉】抗生素发现的深度学习方法
专知会员服务
25+阅读 · 2020年2月23日
广东疾控中心《新型冠状病毒感染防护》,65页pdf
专知会员服务
19+阅读 · 2020年1月26日
Science:脂肪细胞外泌体对巨噬细胞发挥调节功能
外泌体之家
19+阅读 · 2019年3月7日
【Blood】去甲基化治疗失败后,MDS应如何治疗?
VrR-VG: Refocusing Visually-Relevant Relationships
Arxiv
6+阅读 · 2019年8月26日
Arxiv
3+阅读 · 2017年7月6日
VIP会员
Top
微信扫码咨询专知VIP会员