【Blood】"善变"的血管内大B细胞淋巴瘤

2018 年 10 月 6 日 肿瘤资讯
编译:月下荷花
来源:肿瘤资讯

血管内大B细胞淋巴瘤(IVLBCL)非常少见,为B细胞起源,大的肿瘤细胞在血管腔内生长,多数病例外周血涂片并无肿瘤细胞。既往IVLBCL多为尸检诊断,现在80%生前诊断,对IVLBCL自然病史改善有很大帮助。意大利Ponzoni教授在BLOOD杂志发文,主要介绍了IVLBCL组织学特征、发病机制、临床表现与分型、预后因素、治疗方法及治疗结果。

组织病理学特征

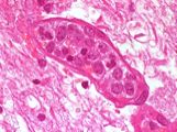
IVLBCL肿瘤细胞多表现为高核浆比,胞浆很少(见下图),核轮廓多光滑,偶为不规则。核仁单个或多个,突出易见。IVLBCL形态既可是中心母细胞,也可是免疫母细胞/浆母细胞,偶见间变细胞形态。血管腔是IVLBCL发生发展部位,增殖指数Ki-67高表达。

理论上,除大血管外,所有血管均可发生IVLBCL。同一IVLBCL标本可有不同生长模式,松散型IVLBCL细胞多位于血管中心并自由飘动,致密型肿瘤细胞则几乎填满血管腔,致使血管结构评估非常困难,相对少见的边缘型肿瘤细胞则粘附于内皮细胞,血管腔中心仍通畅。

伴噬血的IVLBCL肿瘤内常有非肿瘤性组织细胞,富含红细胞或单核细胞,外周血涂片易见具吞噬活性的细胞。一部分IVLBCL诊断于其它类型淋巴瘤之前或之后,如小淋巴细胞淋巴瘤、滤泡淋巴瘤、胃MALT淋巴瘤和弥漫大细胞淋巴瘤,NOS,然而发生的先后顺序不确定,需要进一步研究。

免疫表型

IVLBCL是成熟外周B细胞免疫表型,强表达CD20,对治疗有意义,也有CD20阴性病例报道,其它B细胞标志CD79a和/Pax-5对诊断有帮助。西方和日本研究显示,CD10和bcl-6表达于13%-22%和22%-26%病例,根据Hans法则,75%-80%的IVLBCL为非生发中心表型,伴Irf4/Mum1表达。因此部分IVLBCL免疫表型可能与DLBCL,NOS重叠,如5%DLBCL和22%-38%IVLBCL均有CD5表达,20%IVLBCL共表达CD5和bcl-6。IVLBCL还表达抗凋亡蛋白bcl-2和galectin-3,此外还可能表达髓过氧化物酶、细胞角蛋白、前列腺酸性磷酸酶。总之,IVLBCL免疫表型需要更多研究明确,以更好阐述这种少见淋巴瘤的发生。

分子生物学和细胞遗传学

研究证实,IVLBCL存在免疫球蛋白基因克隆性重排,有重排时常发生体过突变。新一代测序研究显示,MYD88 L265P和CD79b Y196突变见于44%和26%患者,缺少BCL2重排也证实IVLBCL的非生发中心起源。目前尚无双打击表型的大型数据,也缺少细胞遗传学异常的数据,有报道可能存在染色体6异常的再现。

发病机制

肿瘤性淋巴细胞优先生长于血管腔是IVLBCL的独特特征,其发生机制的研究较少。IVLBCL细胞缺少某些分子表达,如CD29,对淋巴细胞溢出血管非常关键;IVLBCL表达Cxc3和Cxcr4,与淋巴细胞活动和整合素活化调节有关,但肿瘤相关内皮细胞却不表达其配体;许多细胞因子受体在IVLBCL表达减少,如Cxcr5、Ccr6和Ccr7,与淋巴细胞迁移出血管有关;IVLBCL不表达基质金属蛋白酶2和9,二者对脏器侵袭非常重要。

研究显示,肿瘤性淋巴细胞迁移受抑与IVLBCL发病机制有关,IVLBCL的分子表达虽可使肿瘤细胞粘附于内皮,但却无法逸出血管,这对鉴别IVLBCL和弥漫大B细胞淋巴瘤很关键。逸出血管受抑机制与IVLBCL多种缺陷有关,值得进一步研究。感染与IVLBCL的关系仍不清楚,EB病毒和HTLVI病毒可能与之有关。

临床特征

经典型

IVLBCL中位诊断年龄70岁,无性别差异。临床表现多样,从单一症状如不明原因发热、疼痛或器官特异性症状,到多种B症状或多器官功能衰竭。PS评分快速恶化很常见,大部分为ECOG≥1,>50%患者有全身症状,发热最常见,明显高于其它结外侵袭性淋巴瘤,分别为45%和25%,发热时应行骨髓活检,可借此诊断。体重减轻见于10%患者。

诊断时40%的患者有皮肤侵犯。皮损表现多样,包括疼痛性质硬红斑疹、紫罗兰色斑块、橘皮样变化、蜂窝织炎、大的单发斑块、痛性紫蓝色隆起性结节、溃疡性结节、红色隆起性小突起、红皮病和脱色斑块等。皮损多见于副乳和乳腺区,也见于肢体和下腹部。

35%病例表现为多种神经症状,包括感觉和运动缺陷或神经病、脑膜神经根炎、感觉异常、衰弱、失语、构音障碍、半瘫、惊厥、肌阵挛、一过性视觉丧失、眩晕和意识改变,神经淋巴瘤病,以疾病复发时多见。

IVLBCL经常有CNS表现,但不仅限于CNS,影像改变有助于诊断,缺血性损害常见,需与血管炎鉴别,无神经症状的脑损害少见,假阴性结果少见。脑脊液中很少能检测到恶性淋巴细胞,但脑脊液蛋白增高很常见。

IVLBCL器官累及时有相应表现,累及内分泌器官时(多为垂体、甲状腺和肾上腺)出现多种内分泌减低的症状体症;肺累及时,影像学多表现为磨玻璃改变和结节,18F-FDG PET/CT对诊断有意义,但需经支气管肺活检证实。

皮肤损害或腹部肿物可致疼痛,30%患者有疲劳表现,15%IVLBCL与良性非血液系统肿瘤伴随发生,包括上皮肿瘤、软组织肿瘤或血管肿瘤,这些肿瘤血管内可见IVLBCL细胞。

皮肤型

具有上述典型组织病理学特征的皮肤型IVLBCL占所有病例25%,多表现为单发或多发皮损,30%病例伴全身症状。皮肤型IVLBCL在西方更常见,临床特征和预后不同于经典型,几乎只见于女性,白细胞和血小板正常,克隆性改变少见。ECOG-PS多≤1,中位发病年龄59岁,疾病侵袭性较差,生存优于经典型IVLBCL,3年总生存分别为56±16%和22±10%,皮肤型IVLBCL预后更佳的原因并不明确,可能与早发现早治疗有关,治疗方式根据皮肤病变决定。

噬血综合征相关IVLBCL

患者有噬血综合征表现时,表明有骨髓受累,73%-100%病例有发热、肝脾增大、血小板减少,与非肿瘤性噬血组织细胞有关,经典型或皮肤型IVLBCL无上述表现。此型发作迅速,中位进展时间2-8个月,几乎只发生于亚洲国家。

实验室检查

血液学改变包括贫血、血小板和白细胞减少,无贫血时通常亦无血小板和白细胞减少,血小板减少通常与骨髓和肝脾受累有关。43%病例有血沉增快,18%有低白蛋白,14%可见单克隆性球蛋白,15%有肝肾或甲状腺功能异常。

诊断

IVLBCL缺少特征性症状和体征,诊断较困难。不明原因发热伴神经和皮肤表现是较突出的临床表现,确诊需组织病理学结果。发热需行骨髓活检;皮损行皮肤活检;伴神经系统表现,尤其单独发生时,应行脑立体定向活检;肝肾功能异常时也应活检;逐渐加重的呼吸困难应行影像学检查,表现为间质疾病,行经支气管活检;不明原因器官肿大时活检也可能发现IVLBCL;不明原因发热时,亦可对大体未受累器官活检,可能对诊断有帮助,如对皮肤活检时应取血管结构较多的脂肪组织,随机经支气管或经胃肠道活检可能也有助诊断。

有些情况会增加诊断难度,如持续多克隆B细胞增生、单克隆B细胞增生、毛细胞白血病、慢性淋巴细胞白血病、套细胞淋巴瘤、脾边缘区淋巴瘤、肝脾γδ淋巴瘤,上述肿瘤细胞也会出现在骨髓血管内。有些病例,如弥漫大B细胞淋巴瘤累及脾脏,特别是累及红髓时常伴脾大,骨髓窦腔内可见大B细胞,此时随机活检,如皮肤和皮下组织活检,对诊断有帮助。其它B或T细胞淋巴瘤也可伴有噬血综合征,但只有IVLBCL的肿瘤性淋巴细胞定植于血管腔内。

分期

IVLBCL尚无明确的分期参数,40%的病例为Ann Arbor IE,多为皮肤型或偶然诊断。很多I期患者诊断后几周即死亡,尸检证实为弥散性疾病。其余60%患者诊断时基本为IV期,最常累及器官是皮肤、CNS、骨髓、肝脾。IVLBCL分期诊断时应常规包括CNS MRI和骨髓活检,均有助于诊断与分期。少见病例有外周血累及,此时已有骨髓浸润。15%的患者诊断时有肝肾或甲状腺功能受损,可作为器官浸润的分期标志。

治疗

因疾病少见而缺少前瞻性研究,最合适IVLBCL的治疗方法尚不明确。皮肤型IVLBCL治疗相对明确,应按侵袭性弥散性疾病治疗,可采用与DLBCL,NOS一样的联合治疗,首选蒽环类药物,CHOP方案对多数病例有效,总治疗反应率(ORR)59%,3年总生存(OS)33%,日本患者伴噬血时治疗效果差。

西方患者加用利妥昔单抗(R)能明显改变IVLBCL进程,与CHOP联合可获88%的完全缓解率,91%ORR,3年OS为81%;日本患者2年PFS和OS分别为56%和66%。利妥昔单抗的有效性可能与高生物利用度和血管腔内补体浓度较高有关。

第一周期免疫化学治疗时,利妥昔单抗可延迟3-4天应用,以预防严重输注反应,这对高危患者(高肿瘤负荷、严重器官损害、有呼吸症状)尤其重要。无论是一线还是挽救性治疗,治疗方案均应包含利妥昔单抗,身体状态不佳者可考虑单药。对于皮肤型IVLBCL,即便侵袭性较差,也应按照其它分型治疗,老年伴化疗禁忌且为单个皮肤损害时可考虑放疗,其他患者可将放疗只作为姑息治疗。

CNS预防与治疗是IVLBCL治疗的重要组成。在西方,血管外CNS弥散性改变主要见于一线R-CHOP治疗后复发IVLBCL,影像学检查并不能完全识别IVLBCL弥散性改变。治疗中加入在CNS有更好生物利用度的药物如高剂量甲氨喋呤是合理的治疗策略。

高剂量化疗后行自体干细胞移植(ASCT)的治疗目前仍有争议。回顾性研究显示,ASCT较R-CHOP能改善结果,但该方案只适合于小部分年轻、PS评分较好患者。新药治疗经验有限,少有成功报道。有研究显示,IVLBCL强表达PD-L1,可能对治疗选择有帮助。

研究方向

IVLBCL有大量问题需要解决,肿瘤细胞的生物学特征仍不清楚;噬血型与经典型的免疫表型差别、与其它实体瘤或淋巴瘤的关系、更详细的细胞遗传学和细胞因子/粘附因子等方面均需进一步研究;如何识别并对IVLBCL正确分期也需要进一步研究;需要更合理的治疗手段改善现有治疗结果。

参考文献

INTRAVASCULAR LARGE B-CELL LYMPHOMA: A CHAMELEON WITH MULTIPLE FACES AND MANY MASKS.Blood 2018 :blood-2017-04-737445; doi: https://doi.org/10.1182/blood-2017-04-737445

责任编辑:肿瘤资讯-Amiee


登录查看更多
2

相关内容

专知会员服务
29+阅读 · 2020年3月6日
【学科交叉】抗生素发现的深度学习方法
专知会员服务
25+阅读 · 2020年2月23日
广东疾控中心《新型冠状病毒感染防护》,65页pdf
专知会员服务
19+阅读 · 2020年1月26日
【Blood】去甲基化治疗失败后,MDS应如何治疗?
W-net: Bridged U-net for 2D Medical Image Segmentation
Arxiv
20+阅读 · 2018年7月12日
VIP会员
Top
微信扫码咨询专知VIP会员