小细胞肺癌,4R淋巴结PET-CT SUV值升高能否作为疾病进展的判断指标?此情况下是否有必要进行积极的姑息治疗 | 龙哥查房

2019 年 5 月 26 日 肿瘤资讯

「龙哥查房」重磅回归

「龙哥查房」系肿瘤资讯于2017年11月开展的专题,通过与广东省人民医院肺科大查房合作,将其中具有代表性的MDT病例讨论部分搬到网络进行连载,旨在让全国肿瘤医生都有机会跟随吴一龙院长学习规范的循证医学诊疗思维模式,最终造福肿瘤患者。


病例 63

讨论时间

2019 年 4 月 17 日

汇报人员

广东省人民医院放疗科  陈志勇

参与专家

吴一龙(教授、主任医师、博导)

张绪超(研究员、硕导)

杨衿记(主任医师、博导)

杨学宁(主任医师)

钟文昭(主任医师、博导)

周清(主任医师、博导)

涂海燕(副主任医师)

陈晓明(主任医师、硕导)

李伟雄(主任医师)

潘燚(副主任医师)等

患者病史


1)女性,67岁,不吸烟,肝炎病史,无家族史,余无特殊。


2)患者2017年11月因晨起咯血丝痰在外院行CT提示肺部肿物,考虑肺癌,后于2017-11-20我院行PET-CT,提示左肺下叶肿块,纵隔8L组淋巴结肿大,糖代谢增高,考虑左肺下叶中央型肺癌并纵隔淋巴结转移;左肺下叶阻塞性炎症。

   

3)纤支镜检查示左下叶支气管内肿瘤,病理结果提示:小细胞肺癌

诊断为:左下肺小细胞肺癌cT2bN2M0 IIIB期(局限期)(第八版)

  

4)会诊后建议行同步放化疗。

2017-11-25起行2周期EP方案化疗(依托泊苷79mg+顺铂39mg)(d1-d3)。

2018-01-11开始行同步放化疗,放疗予以IMRT 60Gy/30F,化疗予以EP方案同步2周期。

期间出现IV 中性粒细胞减少,以及食管区疼痛,对症治疗后恢复,后于2018-2-26完成放化疗。


5)2018-12-07行肾上腺切除术,术后病理小细胞癌。

行基因检测EGFR、ALK等基因均为野生型,TMB 8mutw/Mb,MS Stable。


6)2019年3月患者因感冒,发热,咳嗽在当地医院行CT检查提示肺部感染。

行抗炎治疗5天后好转。目前轻度咳嗽,胸闷,上楼梯2层,PS=2分。


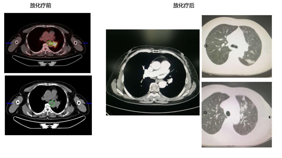
图表资料



病例小结


1)女性,67岁,不吸烟,PS=2分。


2)诊断:左下肺小细胞肺癌cT2bN2M1 IV期  PFS=12月。


3)原发灶+8组LN(放疗区) PR 疗效。


4)肾上腺转移术后。


5)4R,10R组LN(非放疗区)1年来随访大小未见变化,4R实性程度增高,代谢增高2倍。


讨论要点


下一步诊疗:

    ① 观察

    ② EBUS或者纵隔镜检查4R,若阳性,下一步如何治疗?


组内及科室意见

初诊时4R,10R LN增大,PET考虑炎症,未行放疗,随访期间淋巴结大小无变化,NSE稳定正常,建议观察,3个月后复查CT。


病例讨论




TIPS:

进入 肿瘤医生APP「龙哥查房」专题查看精华版讨论内容。除病例及讨论内容外,还有 高解析度图片 以及本次MDT结合的 前沿热点、文献解读 等内容!


如果您对这个病例有相关的想法观点、疑问困惑,在评论区留言吧,查房团队也想听听同道们的意见,并对问题统一进行回复。


长按扫描下载肿瘤医生APP

临床工作    学习必备

一站式肿瘤专业应用

觉得有帮助,别忘记点在看噢

登录查看更多
0

相关内容

陈晓明,中科院计算所副研究员、北京智源研究院青年科学家。2009年和2014年分别从清华大学获得学士、博士学位。研究方向为集成电路设计自动化(EDA)和存算一体体系结构,发表80余篇学术论文、1本专著,其中20余篇发表在CCF A类会议或期刊上。部分研究成果已应用于国产EDA软件。获得2018年首届阿里巴巴达摩院青橙奖;入选2018年中国科协青年人才托举工程;获得2015年度欧洲设计与自动化协会杰出博士论文奖,为迄今中国大陆博士唯一获奖者。
最新《医学图像深度语义分割》综述论文
专知会员服务
97+阅读 · 2020年6月7日
专知会员服务
29+阅读 · 2020年3月6日
【学科交叉】抗生素发现的深度学习方法
专知会员服务
25+阅读 · 2020年2月23日
广东疾控中心《新型冠状病毒感染防护》,65页pdf
专知会员服务
19+阅读 · 2020年1月26日
【Blood】去甲基化治疗失败后,MDS应如何治疗?
Image Captioning: Transforming Objects into Words
Arxiv
7+阅读 · 2019年6月14日
Hardness-Aware Deep Metric Learning
Arxiv
6+阅读 · 2019年3月13日
Foreground-aware Image Inpainting
Arxiv
4+阅读 · 2019年1月17日
Arxiv
9+阅读 · 2018年3月28日
VIP会员
Top
微信扫码咨询专知VIP会员