他们正逼着机器给人看片

2020 年 7 月 12 日 量子位
凌晨  发自 凹非寺
对撞派 出品 | 公众号 ai7gua

“医疗AI,或者数字医疗这个行业,已经有了上百个选手在游泳,但是这个游泳池实在太大了,互相之间,不要说胳膊打不到胳膊,我掀起来的水花他还感觉不到。”

这个比喻,来自一家医疗文本数据化的创业公司CEO。

但是具体到AI影像辅助诊断这个赛道,拥挤和过剩,却是另一番景象。根据2018年的调查数据,接触AI影像产品的医院科室,88%都是肺结节筛查。

肺结节软件争相部署进医院,却不一定赢得医生的使用习惯。

2020年初,三类器械证终于开始发放。从肺部、到心血管、脑部,AI开始逐渐融入医院的日常。未来的形态初步显露。

始于肺结节,从比赛到产品

从肺癌大场景切入,机器学习看中肺结节。技术普及,则得益于公开比赛。

专门针对肺结节病灶检出的比赛,起源于2016年。

最著名的是LUNA2016,这项比赛由四位学者发起,动机是促进计算机视觉技术在医疗上更接地气。发起人中,三位自荷兰的内梅亨大学医学中心,另一位来自意大利都灵理工大学。

比赛设置有三方面考虑,一是任务聚焦且有普遍价值,二是公开的高质量数据集,三是算法评估要有量化指标。

于是比赛的主要内容是:肺部CT的结节检出。数据集来源于美国的公开肺部图像数据集,LIDC-IDRI。

这份经过专业标注的数据集由美国国家癌症研究所发起,随后卫生局、食品药品监督局参与其中。

国内的比赛也紧跟其后,2017年,阿里巴巴举办了第一届天池大赛,比赛的任务不变:肺结节病灶检出。

在癌症中,肺癌发病率最高,被推测是未来癌症最大场景,因此被认为是AI应用的潜力场景。而肺病对肺结节的早期筛查,被认为是重要的早期手段。正赶上国家大力推行。

2016年,《中国肺部结节分类、诊断与治疗指南》发布。2018年,《中国肺结节专家诊疗共识》发布。两份文献都强调了肺部CT作为早期筛查的重要手段。

资本跃跃欲试,创业风口形成。肺结节成为多数公司入局的第一个应用点。比赛与热钱之下,各家争相刷新技术指标。

看一看2017年,LUNA比赛的第一名如何在中国团队间流转,就可以想象,当时争夺技术高地的激烈。

2017年初,杭州健培科技保持第一名6个月,后被阿里超越,但仅仅6天后又被夺回,到8月,又被科大讯飞超过。仅仅11天,杭州健培再刷新纪录,没几天,再被科大讯飞抢回第一名。

LUNA肺结节检出项目的最终排名,第一名是中国平安

资本看重的另一点,是能否打入一线医院。

作为比较早的入行者,推想科技在2015年和第一家医院实现合作——四川省人民医院。第二年获得1250万人民币的天使轮投资。安防起家,擅长图像技术的依图科技,也在2016年下半年布局AI医疗影像。

野蛮入场到C轮死

很快,局中人反应过来,优异模型仅仅是入场券之一,甚至不是先决条件。

2017年10月,杭州云栖大会上,依图医疗总裁倪浩问了这样一个问题:检出肺结节对肿瘤医院有价值吗?

他的答案是:完全没有价值。肿瘤医院有可能关心的是,你这个是原发的还是激发的。

彼时,似乎资本依旧愿意大笔入局。2017年底,图玛深维获得了2亿元的B轮融资,成为当年最高额AI影像投资。

肺结节诊断技术,也是它当时是的最大卖点。B轮融资前不久,图玛深维发布了最新产品,肺结节智能诊断系统σ-Discover。那一年,它更凭此入选《麻省理工科技评论》50家最聪明公司之一,评奖语是:

肺结节诊断系统在真实场景下的检出率超过97%,良恶性判断符合率超过90%。

一位曾经在图玛深维做过产品部署的员工回忆:“产品的准确率在当时的市面上还是比较领先的。在迭代的过程中,听取医生提出的意见,再次展现在他们面前的时候,确实接近他们想要的样子。”

2019年4月,图玛深维又获得了另一项国际大赛——肝脏肿瘤病灶分割挑战大赛的冠军。

技术上的卓越毋庸置疑,但商业上,却不再受青睐。

最终,图玛深维成为一家典型C轮死公司。据多位行业人士消息,约2019年底开始,图玛深维资金链断裂。

一位AI医疗从业者试用过图玛深维的产品,感受是,“产品功能很多,很厉害,低端机上性能都不错,但是完全不知道该怎么用,功能东一块西一块,易用性差。”

抢占医院的现实,从创业公司的宣传中就可以知晓。所有公司都会强调产品已经部署了多少家医院。

“许多初创公司在快速推出产品抢占市场与优化产品性能间陷入两难境地。”中华放射学分会候任主任委员刘士远,在2018年发表的论文中分析。

前述图玛深维员工表示,一家医院可能会同时有几家软件供应商,而医院原有的PACS系统接口是有限的。先去的公司可能把比较好的,速度比较快的接口占用了,后去的公司,即使软件技术好,可能图像的传送速度慢,那么医生在操作端接受到图像的延迟增加,也会影响对软件的使用体验。

PACS系统,是目前常用的医疗影像存储与传输系统。

一位体检中心的信息科主任介绍数据传输的过程,“扫完片子,所有的信息先上传到PACS系统,PACS再同步传给AI软件,由软件进行处理,这样,医生调用图像的时候,才是经过标识处理的,所以是有间隔期的。”

肺结节单点应用,对于临床诊断,有多大价值?

对于这个问题,角色不同,使用的产品不同,甚至习惯不同,医生可能会给出不同的回答。

刘士远看来,“从临床应用角度看,仅仅单一的肺结节筛查模型甚至肺癌诊断模型都不能满足临床诊断场景的需求。”

因为肺结节仅仅占临床肺部CT需要关注的一部分,肺炎、肺气肿、支气管病变、纵膈淋巴结肿大、以及心脏大血管病变等情况,都需要关注。

“这应该是门诊医生的看法,对日常体检的医生来说,就不太一样。”另一位在三甲医院负责体检中心的主任医生看来,肺结节单点应用,已经能够帮助医生减轻负担。

宁波市一家体检中心的信息科主任表示,如果日后肺结节产品成熟了,他会考虑付费采购。目前体检项目中,肺部CT属于常规项目,体量最大。

AI的一个绝对优势是,能检出肉眼难以分别的3mm以下的微小结节。

“以前微小结节,报告都不会写上去,现在宣传和普及比较多,意识也提高了,如果有一家医院报告上写了这个微小结节,这个人就会怀疑,就会去检查。”这位信息科主任表示。

将微小结节写入CT报告,也成为了江苏一家三甲医院的日常,这家医院使用推想的产品已经一年多,随着产品迭代和优化,医生已经基本习惯。

“这也是环境带来的改变。”该院一位影像科医生说。

以前发生过这样的情况,患者在别家检查,报告上写了微小结节,而科室的报告中没有提及,患者拿着报告单过来询问,想知道是结节消失了还是没有检查出来。

重新翻看CT就会很耽误时间精力,为了避免这样的情况发生,医生们逐渐调整了写报告的习惯。

查阅2016年的肺结节指南,可以发现,5mm以下的结节属于低危结节,建议为年度复查随访,看是否继续增长。

2018年的专家共识中,根据结节的类别,做了更加细致的指导。但是总体上,小于5mm的结节,建议都是影像随访。

2018年专家共识中的肺结节临床管理流程(小于5mm)

“个人习惯吧,我个人用的不是特别多。”上海一位三甲医院的放射科医生态度则不同。他日常接触到两款肺结节软件,但是并不怎么用,觉得这两款产品还不算顺手。“有些很小的结节认出来,对临床来讲也没什么意义。我们找到了,还是随访。”

有些地方软件标出来是结节的地方,并不是结节,他还要翻回去看,觉得挺浪费时间。不过他有的同事喜欢用,“觉得辅助一下,漏诊的情况就少很多。”

从宁波一家三甲医院的放射科医生的展示来看,目前AI倾向识别肺片上所有异常。像肺部纤维灶、胸膜增厚、血管纹理断面都会被识别成结节。

不过他所在的科室基本养成了使用AI辅助看片的习惯。部署推想的软件将近一年,使用率从40%达到了90%。他个人的体验是,在查看肺部影片上,AI可以帮忙节省20%到30的时间。“现在不用还有点不习惯。”

对于体检的肺片,如果AI查过没有问题,他就会很快看完。“原来的话,如果从头到尾都没看到,反而可能有点担心,就会再看一遍。如果病史上写有高危结节,没有看到,还需要看多遍。”

从技术上看,AI把各种异常都标成结节,是明显缺陷。不过对他而言也有价值,能让他快速把握肺部影像异常,也有助于接下来详细阅片。

三类证突破:心血管场景走在前面

从证件审批上来看,AI影像软件的价值在被逐渐认可。

2020年初,医疗器械三类证终于开始向AI软件发放。在此之前,不少企业已经获得了二类证,并基于二类证,探索商业模式。

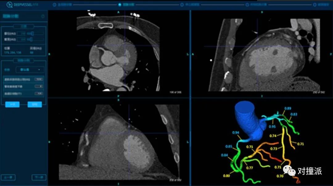
年初,第一张AI医疗三类证审批通过,落在心血管领域,是科亚医疗的冠脉血流储备分数计数软件。

据第一财经的了解,曾有90多家公司沟通过三类证审批的相关情况。而目前,已获得三类证,加上进入审批通道的软件,不超过10个。并且都集中在两个领域:糖眼筛查和心血管。

按照《医疗器械分类目录》的标准,获得二类证的软件仅仅提供诊断建议,三类证件能够提供明确的诊断提示。此前一部分企业获得二类证的方式是删减诊断功能。能获得三类证,自然是对产品价值的有力证明。

心血管方面,数坤的冠脉CT造影图像血管狭窄分析软件也获得了三类证审批的绿色通道。

这家看准心血管场景的AI影像公司,入场稍晚,但是从审批和商业落地的步伐来看,都走得稳健。

已获批及进入特别审查的产品

为何心血管疾病的软件先行一步?

这或许与从心血管影像诊断的特点有关。可以说,心血管的软件应用,正契合了目前的临床需求。

从临床上看,数坤的冠脉CT造影软件、科亚的冠脉血流储备分数计数软件,覆盖的是诊断中紧密相关的两个环节。

在心血管疾病的临床诊断中,CT可以提供详细的解剖学信息,是中低度风险患者的主要排查手段。

医生在通过CT进行初步判断时,血管狭窄情况是重要的量化指标。

“在冠脉诊断里有两个节点,一个是50%,一个是70%,50%以下叫做冠状动脉硬化改变,但不能戴冠心病这个帽子,超过50%会认为是冠状动脉生病了,70%就是考虑介入治疗的指征。”数坤科技副总裁刘建介绍,他曾有过7年影像科工作经验。

与肺部CT不同的是,心血管CT影像,需要医生自己手动将二维图像进行三维重建,还原心脏结果和血管走向分布,再运用电子标尺测量血管狭窄,并进行其它指标的分析。

AI将重建和测量的过程自动化,省去了医生大量重复劳动的精力。这既减轻工作压力,也提高效率,成为了医生日常使用顺手的工具。数坤介绍,目前在北京的安贞医院,医生的软件使用率接近100%。

“以前,要求符合心内科的习惯,进行左右心冠图像的分开重建,需要人工去干预,现在通过自动化的软件,非常便捷地做到这一步,这是目前数坤做的非常好的自动化功能,对我来说比较惊喜。”上海市第六人民医院放射科副主任医师张佳胤,在论坛上提及使用体验。

数坤软件的冠状动脉重建

血管狭窄这一指标,尚属于解剖学信息。血管狭窄是否引起心肌缺血呢?这就需要进一步的功能学信息。也就是说,只有准确了解了冠脉供血情况,才能够进一步实现精准治疗。

科亚的冠脉血流储备分数计数软件便是关注在这一应用点。

在目前临床上,血流储备分数(FFR)日益成为重要的量化指标,用来判断冠脉供血情况。2019年发布的《中国冠状动脉血流储备分数测定技术临床路径专家共识》中提到,“FFR已经成为评判冠状动脉缺血的金标准”。

传统的临床检查中,如果需要获得FFR,需要进行微创的介入式检查。

近年来的影像功能学出现的科研热点,则是通过CT手段,运用模拟计算获得FFR,即CT-FFR。关于CT-FFR的临床有效性,近十年来,国外已经进行过多项大型多中心实验。

多中心实验,对于AI软件审批也至关重要。亿欧的《2019中国市场人工智能研究报告》中指出,AI产品通过三类证的审批,“需通过‘多中心验证’这一隐性‘金标准’的考量。”

无论是数坤科技,还是科亚医疗,在申请三类证之前就开展了多中心实验。

数坤科技从2018年启动了由北京友谊医院牵头的多中心对比试验,范围覆盖全国40家医院,将CT的诊断结果与后续介入式核查结果进行对比。

2019年5月,“CT冠脉人工智能多中心研究项目”结果公布,数坤冠脉AI的敏感度为95.1%,超过医生肉眼;特异性与医生肉眼接近。

科亚医疗在2016和2018年分别进行了多中心的实对比实验,将CT-FFR与介入检查得到的FFR结果进行对比。敏感性分别为94.2%,94.7%,特异性分别为84.3%,88.6%。

科亚医疗的研发总裁曹坤琳,接受媒体采访时表示:

AI在医疗领域的应用,远远不止提高影像科医生效率这么简单,可以在影像解剖学基础上,提取无法从影像直接获取的信息,为临床医生提供新的医学检测手段。

科亚冠脉血流储备分数计数软件界面

从冠脉CT,到脑卒中

无论是冠脉CT,还是无创的CT-FFR,未来的市场都非常可观。

阿里云天池与动脉网联合发布的《人工智能赋能心血管报告》预估,未来冠脉CTA市场的规模和无创FFR潜在市场的规模,均在每年220-330亿元。

国家药监局医疗器械技术审评中心的专家彭亮,也对未来CT-FFR技术的价值很乐观。

对患者而言,CT-FFR技术可以帮助避免不必要的冠脉血管造影检查和冠脉介入手术,减少手术痛苦和医疗风险,并降低经济负担。

对于医院来讲,CT-FFR技术可以提高冠脉血管造影检查的阳性检出率,有利于节省医疗资源,提高医疗效能。

在国家和社会层面,CT-FFR技术能够大幅减少不必要的冠脉血管造影检查、有创压力导丝测量、冠脉介入手术等费用,有助于节省国家医保支出,具有重大的经济效益和社会价值。

在心血管影像领域的临床实验,有介入指标做金标准对照,也有相应的学科发展需求。

相比较下,肺结节诊断就没有硬性的临床金标准。

一位AI医疗行业的从业者认为,之所以肺结节没有进行像心血管影像这样的多中心实验,是因为医院没有科研需求。

心血管领域的审批进展,也吸引了资本的新一轮注入,并且出现了国有基金的身影。

2月,科亚医疗完成了1亿元的战略融资,昆仑万维集团、IDG资本领投,上海国方母基金、雅惠资本等联合跟投;6月,数坤科技完成了2亿元的B轮投资,由中银国际领投、建银国际管理的建兴医疗基金联合投资、老股东创世伙伴资本和华盖资本跟投。

从一个应用点起步,心血管AI也正在覆盖更多的临床流程。

与心血管病息息相关的脑部,成为新关注点。脑卒中,也就是常说的中风。

中风已是我国第一死因,也是成年人残疾的首因,一旦发病后缺乏有效的治疗手段,又容易留下后遗症。最好的应对方式就是,及时发现治疗。

“国家也成立了卒中委员会,我觉得,卒中不管是从影像,临床,护理,都是比较热的一个场景。”数坤的刘建认为,卒中将是一块新兴市场。

4月,科亚的出血性脑卒中AI影像诊断系统获得了美国FDA认证,批准上市。

7月3日,数坤的脑卒中产品也最新发布,针对CT卒中诊断的不同环节,同样覆盖了影像后处理和量化评估。

此前,已经有不少AI企业开发了脑卒中的相关产品,深睿医疗发布了Dr.Wise®AI辅诊系统、杏脉科技与上海第六人民医院合作开发了急性脑卒中人工智能诊疗平台。

6月的又一张三类证消息,也在脑部。

安德医智的颅内肿瘤磁共振影像辅助诊断软件,功能是对颅内肿瘤患者进行肿瘤分类。与企业进行深度合作的是天坛医院。

天坛医院发起的一卒中多中心项目也在进行中,目的是检验AI系统干预急性缺血性卒中临床结局的效果。

这项研究的最终希望,将来能够借助AI系统,将优质医疗资源下沉到基层,对疾病防控发挥更大作用。

虽然没有国内三类证的消息,推想肺部AI产品接连获得海外审批。

2月到7月,推想先后获得了欧盟CE、日本PMDA、美国FDA的审批。日本审批的应用点是新冠肺炎筛查,欧盟和美国审批的的应用都针对肺癌早筛。

推想获得美国FDA审批,意味着获得进入市场的资质

新角色与新领域:第三方医学机构与AI病理

对于普通人,AI医疗目前带来的直接甜头,或许就是减轻排队和奔波之苦。

家住北京平谷区的一位老太太,在西城区的友谊医院看病。她看见友谊医院医生使用数坤的AI软件,后来装在了家附近的医院上,就放心地在平谷区医院进行复诊。

这样原来花半天的路程,只需要30分钟。这背后,是老百姓的普遍心理,似乎只有去三级甲等医院看病,才放心。

虽然“分级诊疗”已经推行很多年,但是基层医院的一些设备和人力薄弱,很难实现。病理医生缺乏就是一个重要原因。

癌症和肿瘤的最终治疗方案,都需要依靠病理诊断。

而现实是,我国80%的二级医院,都只有2个或1个病理医生。这样的情况下,病理科不过是勉强运转。

目前,AI辅助软件大多数都进驻在三甲医院,有一天技术足够普及,为基层医疗赋能,一直为人们所期待。

这在局部应用点上,已经开始发生。兰丁高科近几年,一直运用AI技术,对基层妇女进行宫颈癌大规模早筛。尽管只拿到了二类证,由于一直关注宫颈癌早筛领域,已经在2017年就实现了盈利。

最初,兰丁的主要业务是卖病理相关的软硬件,从2016年开始,基于AI技术和大数据云平台,提供医疗服务。目前,兰丁医学70%的营收来自医疗AI+云服务。主要的收入方式是承接政府的筛查项目。

AI+云让兰丁的筛查量成倍增长。在搭建大数据平台前,兰丁积累的病例有40多万例,进行云诊断后,17年就做了将近30万例,18、19年分别超过了100万例。

技术的发展,以及国家政策对第三方机构的支持,使一些医疗环节能脱离医院,独立存在。

技术给兰丁带来的角色变化,也就水到渠成。

2018年起,兰丁制定了连锁化独立医学实验室的战略布局。此前,兰丁与多家省市的公立医院建立合作实验室,而独立实验室则是由兰丁作为投资方,建立第三方独立实验室。

另一个现象是,当AI进入病理时,拥有技术的头部公司,开始和医疗企业合作。

去年,商汤科技和衡道病理合作,举办了MICCAI 2019消化道病理图像检测与分割国际挑战赛,并提供了首个消化道病理的公开数据集。

两者合作的背景是,商汤科技联合同度资本,领投了衡道病理A+轮;今年四月,英特尔则领投了数字病理公司江丰生物。

在此之前,英特尔最作为算力算法提供方,已与江丰生物合作两年。资本注入的节点,正是实验室产品需要推向市场的时候。

衡道病理中心是国内首家第三方立病理诊中心。已成立两年,主要为公立和民营医院提供诊断服务。

病理检查,建立在活检之上,通过分析切片来提供诊断建议。进行病理影像判读,需要用肉眼观察细胞甚至分子层面的微观特征,对医生的经验要求非常高。

相比于影像科,病理数据图像复杂,标注的所需要的人力和时间投入更大。

一位做过AI医疗研究的人回忆,“最难的就是病理的分析,可能一个病理样本上面需要关注100多个点,可能一个十几年经验的医生都需要看一两个小时,还不一定准。”

“特定癌种的算法开发存在较大挑战,挑战也不全在AI技术本身,关键还是在于医疗和AI技术的对话、衔接需要更全面、更顺畅。”这是衡道病理中心总裁张洋的结合自身经历的体会。

2020的天池大赛,主题也向病理倾斜:宫颈癌早期风险诊断,由英特尔与腾讯合办。

赛后召开的数字病理产学研研讨会上,乳腺癌早筛,是目前大家一致认为比较适合AI病理的场景。

如何发展其它的应用点?一切还在探索中。

江丰生物董事长刘炳宪在讨论中认为,目前病理AI仍处于初级阶段,多点合作很重要。还有从业者认为,算法可能是病理AI整个链条中非常小的一个问题,很多问题需要行业合作解决。

浙江省肿瘤医院病理科主任孙文勇希望,AI能开发组织病理的产品。因为目前组织病理分析占据了医生的大量工作。

衡道病理的技术总监刘净心则表示,细胞病理对应量化分析指标,目前更容易落地。

回到底层,能够泛化的算法,始于标准化的和优质的数据。 比起影像科,病理科信息化还很初步。

在基础层面,切片的制作与染色流程尚未实现标准化。不同制片方式、机器、不同的制片标准、技师,甚至不同的扫描,都会影响数字切片的效果。

张洋介绍:样本在前处理环节需要规范和标准的质量控制,结合扫描等硬件设备的标准化配合,人工智能将会成为病理医生有效的辅诊手段。

AI影像的经验已经说明:数据大于算法。

作为第三方医疗机构,衡道希望做医疗和技术衔接者的角色。从基础着眼,为病理AI提供数据设施,开发数据平台。

衡道公开的消化道病理数据集样本

“衡道病理自身是从事病理诊断的专业机构,已经对接服务数百家医疗机构,我们有一大批优秀的病理医生和技术人员,同时自身也在推进这一领域人工智能的发展,在这点上,具备天然的‘帮助医疗和人工智能形成良好互动和对话’的能力。”张洋说。

比起刚进影像科,AI技术进入病理科,人们明显冷静了许多,但愿这份冷静,能够让路径变得更清晰。

参考资料:

标准化、平台化、产品化….病理AI如何走完“最后一公里”?
https://mp.weixin.qq.com/s/pZuFJ3LVN-Vum5cJZlnP-Q

医疗AI企业闯关三类证,尚未有一家完成临床试验
https://www.yicai.com/news/100107958.html

亿欧智库:《2019中国市场人工智能研究报告》

中国医学影像AI产学研用创新联盟《医学影像AI白皮书》

中华放射学杂志2019年6月《医学影像人工智能产业现状和发展需求调研报告》


对撞派 · AI7gua 


用对撞加速认知升级,把握智能化产业红利


喜欢就点「在看」吧 ! 



登录查看更多
0

相关内容

COVID-19文献知识图谱构建,UIUC-哥伦比亚大学
专知会员服务
43+阅读 · 2020年7月2日
AI创新者:破解项目绩效的密码
专知会员服务
35+阅读 · 2020年6月21日
电力人工智能发展报告,33页ppt
专知会员服务
132+阅读 · 2019年12月25日
【德勤】中国人工智能产业白皮书,68页pdf
专知会员服务
309+阅读 · 2019年12月23日
2019中国硬科技发展白皮书 193页
专知会员服务
86+阅读 · 2019年12月13日
医药零售行业报告
医谷
9+阅读 · 2019年7月8日
BioMind ™:勇做神经影像AI领域的探路者
医谷
4+阅读 · 2019年4月23日
过了尬吹的年代,人工智能都落地了些什么?
互联网er的早读课
8+阅读 · 2018年11月5日
全球最大AI独角兽诞生中国,商汤科技凭什么?
商业周刊中文版
5+阅读 · 2018年4月9日
人工智能:英、中、美上演“三国演义”
专知
4+阅读 · 2018年1月27日
预言|李开复预见2018:明年会有一批AI公司倒闭
机器人大讲堂
6+阅读 · 2017年12月15日
人工智能与医疗,正成为人工智能时代重头戏
机器之能
6+阅读 · 2017年7月10日
Arxiv
7+阅读 · 2019年10月6日
Question Generation by Transformers
Arxiv
5+阅读 · 2019年9月14日
Pluralistic Image Completion
Arxiv
8+阅读 · 2019年3月11日
Arxiv
11+阅读 · 2018年5月13日
Arxiv
3+阅读 · 2018年4月11日
Arxiv
5+阅读 · 2018年1月30日
VIP会员
相关VIP内容
COVID-19文献知识图谱构建,UIUC-哥伦比亚大学
专知会员服务
43+阅读 · 2020年7月2日
AI创新者:破解项目绩效的密码
专知会员服务
35+阅读 · 2020年6月21日
电力人工智能发展报告,33页ppt
专知会员服务
132+阅读 · 2019年12月25日
【德勤】中国人工智能产业白皮书,68页pdf
专知会员服务
309+阅读 · 2019年12月23日
2019中国硬科技发展白皮书 193页
专知会员服务
86+阅读 · 2019年12月13日
相关资讯
医药零售行业报告
医谷
9+阅读 · 2019年7月8日
BioMind ™:勇做神经影像AI领域的探路者
医谷
4+阅读 · 2019年4月23日
过了尬吹的年代,人工智能都落地了些什么?
互联网er的早读课
8+阅读 · 2018年11月5日
全球最大AI独角兽诞生中国,商汤科技凭什么?
商业周刊中文版
5+阅读 · 2018年4月9日
人工智能:英、中、美上演“三国演义”
专知
4+阅读 · 2018年1月27日
预言|李开复预见2018:明年会有一批AI公司倒闭
机器人大讲堂
6+阅读 · 2017年12月15日
人工智能与医疗,正成为人工智能时代重头戏
机器之能
6+阅读 · 2017年7月10日
相关论文
Arxiv
7+阅读 · 2019年10月6日
Question Generation by Transformers
Arxiv
5+阅读 · 2019年9月14日
Pluralistic Image Completion
Arxiv
8+阅读 · 2019年3月11日
Arxiv
11+阅读 · 2018年5月13日
Arxiv
3+阅读 · 2018年4月11日
Arxiv
5+阅读 · 2018年1月30日
Top
微信扫码咨询专知VIP会员