大数据早报:Facebook关闭「失控」AI 项目 异地取现手续费、银行卡年费全免 (8.1)

2017 年 8 月 1 日 36大数据 奥兰多

来源36大数据,作者:奥兰多


今天是2017年8月1日建军节,在此,谨代表36大数据所有工作人员向向军人们致敬!


90年浴血荣光,90年红旗漫卷。在中国共产党的坚强领导下,人民军队不断从胜利走向胜利,为民族独立和人民解放,为国家富强和人民幸福建立了彪炳史册的卓著功勋。让我们铭记历史,缅怀烈士,真爱和平。


你知道吗?军功章上,也有大数据的身影。


『数据应用』探访阅兵空中指挥部:“大数据”透射大国空军战略转型


7月30日,晨曦未露,距离朱日和基地临时搭建的迷彩检阅台几公里处的一片伪装网下,十多台保障车辆发出低沉的轰鸣声,开设在一号车方舱的阅兵空中指挥部各分队人员已经就位。


“这次任务全程方舱指挥,全部使用机动装备开设指挥所。”空中指挥部指挥员、中部战区空军司令员庄可柱介绍,阅兵100多架次战机,部署在多个机场,一条条指令就是从这台车上发出的,有的直达数千里外的机场,有的直达数千米高的空中,每一条壮美的航迹划过天际、烙印心底,一端书写着飞行人员的忠诚果敢,一端记载着指挥保障人员的精诚协同。

这么繁重的任务,这么密集的飞行,一个小小的指挥方舱是怎么做到的?“靠的就是信息化指挥平台,还有空情‘大数据’!”中部战区空军信息处处长方雷带记者走进方舱。一个大屏幕、多个小屏幕,各战勤分队对应的两排军用指挥计算机上,各色各种图表数据密密麻麻。


“大数据”背后有大平台。记者了解到,这么“高大上”的指挥机构,由行军状态到扩展舱展开、各要素互联互通、各舱之间实现话音和数据交换,指挥方舱开设竟然只需半个小时。在这次阅兵中担负信息尖兵任务的中部战区空军通信某旅副旅长李伟光告诉记者,他们紧贴实战对信息平台进行局部改造,实现了上下左右互通互联,依托近百个站点,让信息更加透明准确。


信息化平台让“长空铁翼”如虎添翼,加快了空军战略转型步伐。记者在指挥方舱看到,雷达情报分队依通过组网系统对空中每架飞机进行实时态势监控,及时准确的情报信息为指挥员果断决策提供了有效支撑。


『应用』贵阳市云岩区拥军爱军OTO大数据服务平台启动


7月20日,云岩区拥军爱军OTO大数据服务平台启动。该平台通过线上线下相结合的方式,致力于解决部队官兵和复退军人“后路”、“后院”、“后代”问题。


据了解,云岩区拥军爱军OTO大数据服务平台,是由线上和线下两部分组成。前者主要以“贵阳优抚”手机APP结合“云岩区拥军爱军OTO大数据服务平台”微信公众号为载体,设置综合服务、帮扶服务、个人信息等功能板块。


截至目前,“云岩区拥军爱军OTO大数据服务平台”已汇聚爱心企业及社会组织40余家,当前已为重点优抚对象发放电子芯片卡1600余张,今后还将逐步覆盖复退军人和现役军人。


『黑科技』中国某公司正帮助警方开发人工智能,帮助警方识别并拘捕嫌疑人


据英国《金融时报》网站报道,中国某公司正帮助警方开发人工智能,可以帮助警方在犯罪行为实施前识别并拘捕嫌疑人。报道称该系统利用人们的活动和行为数据—例如去出售违法用品的商店—来评估他们实施犯罪行为的可能性。当一个人的犯罪风险达到极高的危险时,该公司的软件会通知警方进行抓捕。


『数据安全』瑞典遭遇史上最大规模数据泄露丑闻 数百万民众信息或曝光


据瑞典电视台报道,瑞典交通管理局2015年将IT维护工作外包给IBM公司后,使得未经安全审核的外国技术人员可以获取数据库保密信息。这些信息包括瑞典全国的机动车驾驶人信息,桥梁、地铁、道路和港口等敏感信息,以及瑞典警方和军方的车辆信息。7月24日,瑞典政府承认在互联网工程服务外包中发生了大规模资料外泄。


另有消息披露,瑞典交通管理局在上传数据过程中也存在重大安全风险,比如,工作人员先将所有数据上传到未受保护的云端服务器,然后再通过电子邮件将链接发给外包公司。瑞典交通管理局前局长玛丽亚·阿格伦于今年1月被解职,并被处以7万瑞典克朗(约合5.8万元人民币)的罚款,但政府并未第一时间公开原因。瑞典交通管理局最近才承认,阿格伦在外包工程过程中,绕过了多项保护敏感信息的法律法规和内部章程。


『人工智能』Facebook关闭“失控” AI 项目:发展出人类无法理解的语言


上个月,Facebook 人工智能研究所(FAIR)使用机器学习方法,对两个聊天机器人进行对话策略迭代升级,结果发现它们竟自行发展出了人类无法理解的独特语言。研究者不得不对其进行了人工干预。


这一研究一经发布,迅速在网络和媒体上引起了广泛的关注和传播,不少人在惊呼:机器创造了自己的语言,人类都无法理解,细思极恐。


但是也有人指出,这不就是一堆乱码吗?


现在,这一系统被关进了“小黑屋”。根据国外媒体的报道,现在 Facebook 的研究院已经停止了这一项目的研究,原因是“担心可能会对这些 AI 失去控制”。

 


『大公司』谷歌Chrome正式宣布将不再信任赛门铁克所有SSL证书


今年 3 月,谷歌和火狐调查发现赛门铁克未经授权错误签发大量 SSL 证书的严重问题。7 月 28 日,谷歌正式宣布不再信任赛门铁克旗下所有 SSL 证书,Chrome 浏览器将分阶段移除 Symantec 所有根证书,Chrome 66(2018 年 4 月)将不信任 2016 年 6 月 1 日之前签发的证书,Chrome 70(2018 年 10 月)将完全不信任所有赛门铁克 SSL 证书,GeoTrust、Thawte 和 Rapid SSL 等子品牌也受到同样惩罚。


赛门铁克已同意该提案,但是已经在考虑出售 CA 业务。


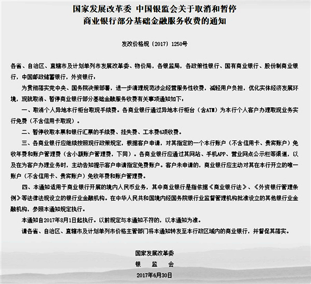
『新闻』今日起异地取现手续费、银行卡年费全免


根据 6 月 30 日发改委和银监会下发的《国家发展改革委中国银监会关于取消和暂停商业银行部分基础金融服务收费的通知》,自 2017 年 8 月 1 日起,取消个人异地本行柜台取现手续费,暂停收取本票、汇票的手续费、挂失费、工本费 6 项收费,各商业银行应主动对客户在本行开立的唯一账户免收账户管理费和年费等。


据悉,相关措施实施后,预计每年可减轻客户负担 61.05 亿元。

 


『大公司』腾讯开放位置服务大数据 助力国家地震应急救援


根据腾讯公司与中国地震应急搜救中心双方最新达成的战略合作,中国地震应急搜救中心将依托腾讯位置服务大数据,助力防灾、减灾、救灾决策。本次合作为公益性质,国家地震局、中国地震应急搜救中心相关领导对腾讯公司支持防震减灾事业表示感谢。

 

腾讯位置服务是国内领先的 LBS 大数据服务平台,自去年 9 月份上线以来己形成公安、旅游、城市规划、房地产、商业等多个垂直行业解决方案,目前每日覆盖人群 6.8 亿,日均定位量超过了 500 亿次。


LBS 能力是互联网+基础能力之一,腾讯公司推行互联网+战略开放基础能力赋能各行业,助力传统行业转型升级、融合创新。


『大公司』甲骨文的云计算转型成功 市值首超2000亿美元


6 月 22 日消息,据国外媒体报道,甲骨文公司(Oracle)近日进军云计算的步伐正在加快,市值首次超过了 2000 亿美元,大涨近 11%,这源于华尔街投资者赌定甲骨文在向云计算转型过程中最终转危为安。


甲骨文公司的利润和收入在其前两个财政年度均有所下降,此前该公司一直在稳步攀升。此次又一次回涨,主要是将公司庞大的客户群转化为云买家,实际上是将一种形式的支付方式转换为另一种形式。


甲骨文第四财季总营收同比增长3% 至 109 亿美元,超出了分析师平均预计的 104.5 亿美元;调整后的每股收益同比增长 10% 至 0.89 美元,远高于多数分析师预计的 0.78 美元。


『黑科技』阿里巴巴研究人员演示用声音攻击智能设备


在拉斯维加斯举行的 Black Hat 安全会议上,阿里巴巴安全部门的研究人员演示了用声音和超声攻击依赖于来自陀螺仪、加速度计等微机电系统传感器输入信号的智能设备。


这种声音武器在理论上可以让无人机坠落、让机器人发生故障,让虚拟现实和增强现实软件失去方向感,让用户从平衡板上摔倒下来,它潜在的还可用于攻击自主驾驶汽车或干扰汽车的安全气囊传感器。大多数商用陀螺仪都是音叉式陀螺仪,如果外源振动与陀螺仪的共振频率相匹配,会导致传感器向设备发送错误的数据。通过将声音信号调谐到微机电系统的共振频率,研究人员演示他们能让传感器失效或发送致命数据,导致依赖传感器的设备和软件发生故障。阿里巴巴的研究人员演示了对 iPhone 7、三星 Galaxy S7、深圳大疆无人机、虚拟现实显示器、小米电动平衡板等设备的攻击。


 

 

『数据报告』跑马赛事区位分布大数据:不同省份不同的“偏爱”


通过中国马拉松信息平台,记者对2017年上半年在中国田协注册的全国马拉松及相关运动赛事进行了统计与分析。总体上而言,上半年,全国有19个省(直辖市、自治区)举办了65场马拉松赛。


事。


通过分布统计,受春节假期以及气候影响,1-2月是包括马拉松在内的所有户外运动的开展淡季。进入3月后,马拉松赛事开始增多,并于5月达到了上半年的高峰。


通过数据分析长三角区域是马拉松赛事举办最集中的区域,而江苏省则是上半年举办了最多赛事的省份。一线城市热衷于半程马拉松和10公里以下健身跑,除该种赛事可以吸纳更多人群参与外,还缘于一线城市举办马拉松将考虑到更多方面的因素,如需要与城市交通、医疗、环卫等多机构协调。而非省会城市看重“马拉松效应”。


『融资』智慧交通大数据 远眺科技获5000万元融资


7月31日上午消息,远眺科技近日已完成5000万人民币的A轮融资,本轮投资由英华资本和SVB资本中国(Silicon Valley Bank)联合投资,将用于引进高端人才,加快创新力度,进一步完善公司“大数据+智慧交通”产品体系。


据了解,远眺科技是国内首家专注于智慧交通大数据分析产品和服务的公司,成立于2013年,是浙江大学交通大数据领域科技成果的转化基地,专注于在高性能计算、数据挖掘分析、交通工程等领域的研究。


远眺科技“数据+模型+应用”的一体化大数据解决方案,以交通模型构建交通数据与交通应用之间的桥梁,打破交通大数据应用壁垒,可以实现交通大数据从“孤岛”到“共享”,从“可视”到“可用”,从“统计”到“智能分析”的三大转变,实现数据充分共享,应用强逻辑关联,可以提供大数据驱动交通精准管理和服务。


『数据应用』全国首个中医药县域大数据正式发布


2017年7月29日,第四届中国中医药信息大会在京召开,本届大会以“中医药大数据发展与信息安全”为主题,来自浙江省海盐县的卫计局局长徐世民,发布了全国首个中医药县域大数据, 这是全国中医药大数据领域的第一份县域答卷。

全国首个县域中医大数据的发布,顺应了国家大力推进中医药信息化的号召,填补中医药诊疗大数据领域空白,对基层中医药建设和中医药传承、教学、科研等有着深远的意义。


『大数据应用』李宁:大数据帮我扭亏为盈


7月28日,澳门国际品牌连锁加盟展(MFE)在威尼斯人举行,展览共持续3日。



论坛上,最令人关注的是在2015年重返公司担任CEO的“体操王子”李宁。去年,李宁公司扭亏转盈,净利润达到6.43亿元。他在论坛上分享了成功的经验。“数据本身不是目的,采集之后最重要的是找到趋势,跟你的生意挂钩”,李宁表示正是依据大数据,公司在前几年作出了战略调整,砍掉生活化产品,加强研发体育功能更强的产品,当中包括跑步用品。这些都是根据每年各城市参加跑步相关活动的人数得知,当前和跑步相关的生意机会是巨大的。


“我们运营全国许多的学生篮球赛,通过数据了解学生群体对酷的理解,在颜色上是如何定义的,这就形成了李宁品牌篮球运动鞋的配色风格”,李宁通过例子揭示他的商业之道。

 

新公司』专注于AI数据,BasicFinder为企业提供一站式数据采集与标注服务


北京深度搜索科技有限公司(BasicFinder)注册成立于2015年2月,BasicFinder的初衷含义是希望能在人工智能世界中找到万物之间最本真、最基础的那一层关系,进而用数据将万物连接。BasicFinder创始人兼CEO杜霖说:“数据是人工智能系统的动力源,我们想作为一个专注于AI数据的供应商,变成AI的加速器,从数据源开始加速。在数据这条产品线上,直观一点讲,我们将提供包括众包采集数据,清洗数据,结构化标记数据甚至是模型训练等一套完整的闭环解决方案。”


BasicFinder旨在打造一个从数据的定义、采集,加工,到训练迭代的一个专业众包平台,形成人机监督、反馈与迭代训练的闭环,从而将大量的人的智慧转化为计算机的智慧。这个平台给AI客户的便利是在该平台可以轻松定义自己的数据任务,有任何数据需求,从数据的采集,爬虫技术和人员获取,到数据加工,我们会把数据任务智能化分配到数据车间,比如人脸的数据我们会分发给做过人脸识别项目数据的车间,语音我们就发给专门处理语音的工厂,数据工厂操作员在我们平台上进行操作,客户在后台就能及时监控这些数据任务,看看数据是否合格,是否要及时返工,最后保证会输出一批最干净最纯的数据进行训练。


在数据这个行业需要人做的事情很多,据杜霖透露,BasicFinder目前拥有12家下辖数据工厂及2000余名数据操作员,这些数据工厂有些是参与投资,有些是深度合作的模式,所覆盖的行业和应用场景也比较广泛,BasicFinder基于自己的平台把数据的采集、清洗、标记变成了专业化的产品服务。


 

据悉,BasicFinder整套产品预计会在9月份正式上线,没有上线之前业务基本靠口碑传播,目前已经帮助很多客户解决数据问题,服务的客户有中国科学院、京东、搜狗、云之声以及一些国外知名院校和科学机构等。BasicFinder已经获得过两轮融资,最近一次融资是2017年2月份,完成了一千多万元pre-A轮融资,计划今年底或明年初再进行A轮融资。


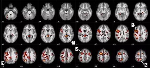
『黑科技』IBM最新成果:利用机器学习算法预测精神分裂症准确率达74%


近日,IBM 科学家和阿尔伯塔大学加拿大埃德蒙顿分校在《自然》杂志的合作期刊《精神分裂症》(Schizophrenia) 上发布了新的数据,证明 AI 和机器学习算法能够以 74% 的准确率帮助预测精神分裂症病例。这项追溯性分析还表明,根据在大脑不同区域观察到的活动之间的关联,该技术能够从很高的相关性预测精神分裂症患者特定症状的严重程度。



这项开创性研究还可以帮助科学家识别更可靠、客观的神经影像生物指标 (Neuroimaging Biomarkers),用于预测精神分裂症及其严重等级。


在论文中,研究人员分析了来自开放数据集生物医学信息学功能研究网络 (fBIRN) 的去标识化的大脑功能核磁共振影像 (fMRI) 数据,数据中既包括精神分裂症患者和分裂情感性障碍患者,还包括健康的实验对照组。


fMRI 通过大脑特定区域的血流变化来测量大脑活动。具体来讲,fBIRN 数据集反映了,根据对调研参与者执行一个普通听觉测试时收集的数据,在不同清晰度水平上对大脑网络执行的研究。通过检查来自 95 位参与者的扫描影像,研究人员使用机器学习技术开发了一种精神分裂症模型,用于识别大脑中与该疾病相关的最紧密的连接。


『AI黑科技』百度利用人工智能让自家大楼空调一个月省电25万度


最近百度行政部、系统部、百度云等部门联手搞了个大事情:利用人工智能在百度科技园K2落地智能楼宇项目。据百度官方透露,百度K2楼下B3有一个神秘的地方,这里布满了各种制冷用的设备,有发出巨大噪音的冷冻机组和水泵,也有2层楼那么高的蓄冷罐,这就是冷冻站。百度舒服、清凉的办公环境就是归功于它。


冷冻站里的设备都是“响当当”的耗能大户,在2016年5月到9月的供冷季中,制冷设备的电能消耗达到了4,230,588KWH!而K2智能楼宇项目,就是把百度在阳泉数据中心节能方面的经验应用到这个冷冻站。


经过5个月的紧张工作,智能楼宇项目在6月中旬成功上线运行。运行一个月来,实现节电约25万度,未来预计每年将帮助百度科技园冷站降低100万度以上的电量消耗。


今日虎图图表选择指南VS编程语言和用途


1、Andrew Abela整理的图表类型选择指南图示,将图表展示的关系分为四类 :



2、为初学者整理了一个流行编程语言和用途的表


 End 


阅读排行榜/精华推荐
1
入门学习


如果有人质疑大数据?不妨把这两个视频转给他 

视频:大数据到底是什么 都说干大数据挣钱 1分钟告诉你都在干什么

人人都需要知道 关于大数据最常见的10个问题

2
进阶修炼


从底层到应用,那些数据人的必备技能

如何高效地学好 R?

一个程序员怎样才算精通Python?

3
数据源爬取/收集


排名前50的开源Web爬虫用于数据挖掘

33款可用来抓数据的开源爬虫软件工具

在中国我们如何收集数据?全球数据收集大教程

4
干货教程


PPT:数据可视化,到底该用什么软件来展示数据?

干货|电信运营商数据价值跨行业运营的现状与思考

大数据分析的集中化之路 建设银行大数据应用实践PPT

【实战PPT】看工商银行如何利用大数据洞察客户心声?              

六步,让你用Excel做出强大漂亮的数据地图

 数据商业的崛起 解密中国大数据第一股——国双

双11剁手幕后的阿里“黑科技” OceanBase/金融云架构/ODPS/dataV

金融行业大数据用户画像实践


讲述大数据在金融、电信、工业、商业、电子商务、网络游戏、移动互联网等多个领域的应用,以中立、客观、专业、可信赖的态度,多层次、多维度地影响着最广泛的大数据人群

36大数据

长按识别二维码,关注36大数据

搜索「36大数据」或输入36dsj.com查看更多内容。

投稿/商务/合作:dashuju36@qq.com

点击下方“阅读原文”查看更多

喜欢我你就双击666来个赞

↓↓↓

登录查看更多
0

相关内容

商业数据分析,39页ppt
专知会员服务
165+阅读 · 2020年6月2日
华为发布《自动驾驶网络解决方案白皮书》
专知会员服务
130+阅读 · 2020年5月22日
《代码整洁之道》:5大基本要点
专知会员服务
50+阅读 · 2020年3月3日
广东疾控中心《新型冠状病毒感染防护》,65页pdf
专知会员服务
19+阅读 · 2020年1月26日
【大数据白皮书 2019】中国信息通信研究院
专知会员服务
138+阅读 · 2019年12月12日
【干货】大数据入门指南:Hadoop、Hive、Spark、 Storm等
专知会员服务
98+阅读 · 2019年12月4日
5G时代:北京移动业务支撑系统 DevOps 实践
DevOps时代
15+阅读 · 2019年6月13日
已删除
雪球
6+阅读 · 2018年8月19日
海康威视AI Cloud助力平安城市4.0建设
海康威视
7+阅读 · 2018年1月17日
贾跃亭的汽车梦,还轮不到我们嘲笑
虎嗅网
5+阅读 · 2017年7月6日
Mesh R-CNN
Arxiv
4+阅读 · 2019年6月6日
Music Transformer
Arxiv
5+阅读 · 2018年12月12日
Arxiv
4+阅读 · 2018年10月5日
Neural Arithmetic Logic Units
Arxiv
5+阅读 · 2018年8月1日
Arxiv
7+阅读 · 2018年4月11日
VIP会员
相关VIP内容
商业数据分析,39页ppt
专知会员服务
165+阅读 · 2020年6月2日
华为发布《自动驾驶网络解决方案白皮书》
专知会员服务
130+阅读 · 2020年5月22日
《代码整洁之道》:5大基本要点
专知会员服务
50+阅读 · 2020年3月3日
广东疾控中心《新型冠状病毒感染防护》,65页pdf
专知会员服务
19+阅读 · 2020年1月26日
【大数据白皮书 2019】中国信息通信研究院
专知会员服务
138+阅读 · 2019年12月12日
【干货】大数据入门指南:Hadoop、Hive、Spark、 Storm等
专知会员服务
98+阅读 · 2019年12月4日
Top
微信扫码咨询专知VIP会员