Science重要成果:癌症免疫疗法新突破——NK细胞抗癌实力被证实!

2018 年 4 月 4 日 生物探索 Chen
生物探索
编者按

近几年,以PD-1/PD-L1抗体、CAR-T技术为代表的免疫疗法取得了飞速发展,颠覆了癌症治疗。令人惊喜的是,现在,科学家们又开发出了一种基于NK细胞的新型免疫疗法。如果被证实对患者是安全的,那么,这类疗法将在未来的临床应用中展现很大的潜能和多功能性。


图片来源:网络


免疫疗法是近几年癌症治疗领域的重大突破。目前,这类疗法重点是利用适应性免疫系统,在“利用免疫检查点抑制(如PD-1/PD-L1抗体)释放抗肿瘤CD8+ T细胞响应”方面取得了巨大的成功。不过,越来越多的证据表明,一些癌症能够发展出多种策略来逃避CD8+ T细胞的识别,而这类肿瘤能够优先受到自然杀伤细胞(natural killer cells,NK细胞)的攻击。


与CD8+ T细胞不同,NK细胞是天然淋巴细胞,能够表达“识别肿瘤细胞和病原体感染细胞表面配体”的受体,如NKG2D(NK group 2D)受体。NKG2D-NKG2D配体轴(NKG2D–NKG2D ligand axis)是人类NK细胞介导的肿瘤细胞和病毒感染细胞识别的主要激活通路。


不过,狡猾的肿瘤也进化出了逃避NK细胞监视,损害NK细胞识别的机制。其中,NKG2D配体——MICA和MICB(它们由肿瘤产生,并暴露在肿瘤表面)——从肿瘤细胞表面脱落是一种主要的机制。这种逃逸现象使得免疫系统无法再利用MICA 和 MICB作为一种发动攻击的信号。此前,有研究在癌症患者的血清中发现了脱落的MICA和MICB,这常常与预后不良和NK细胞功能受损有关。



图片来源:Science(DOI: 10.1126/science.aao0505)


1关键抗体——mAb 7C6


那么,是否有一种方法,能够阻止MICA 和 MICB这类蛋白从肿瘤表面脱落,从而让免疫系统能发挥抗癌作用呢?这正是Kai W. Wucherpfennig教授带领的团队在题为“Antibody-mediated inhibition of MICA and MICB shedding promotes NK cell–driven tumor immunity”的Science论文中回答的问题。


该研究中,来自Dana-Farber癌症研究所和哈佛医学院等机构的科学家们提出了一种改进NK细胞识别肿瘤细胞的有效方法,将癌症免疫疗法扩展到了T细胞之外。



图片来源:Science


具体来说,为了阻止这种免疫逃逸,让NK细胞能够有效识别肿瘤,科学家们设计了一种靶向MICA 和 MICB的抗体——mAb 7C6。在肺癌和黑色素瘤小鼠中,mAb 7C6不仅增加了癌细胞表面MICA 和MICB的水平(这表明肿瘤没能成功地将这两种蛋白“剥离”),同时增加了肿瘤内自然杀伤细胞的浸润。


在患黑色素瘤并已发现肺转移的小鼠中,mAb 7C6治疗帮助降低了肿瘤负荷。同时,研究还证实,这种抗肿瘤免疫力主要是通过NK细胞激活NKG2D和CD16 Fc受体介导的。



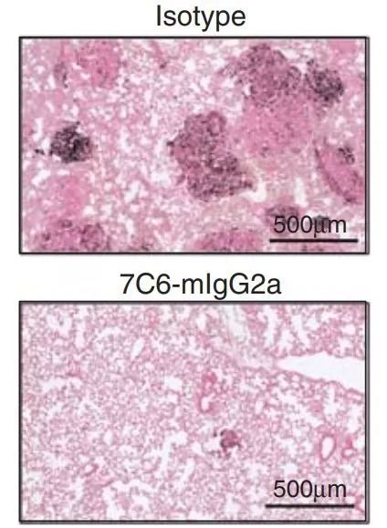
Histological analysis (Fontana-Masson staining) of lung tissue demonstrated an apparent reduction in the number and size of metastases in mice that were treated with the MICA antibody (representative of five mice). Credit: Science (2018). DOI: 10.1126/science.aao0505


2NK细胞加入抗癌行列


针对这项癌症免疫疗法新进展,来自加州大学旧金山分校的Lewis Lanier博士以及海德堡大学的Adelheid Cerwenka博士在同期的Science杂志上发表了一篇题为《自然杀伤细胞加入抗癌行列》(Natural killers join the fight against cancer)的观点文章。


他们认为,这项研究提出了一个令人兴奋的概念,即,治疗性抗体具有改善基于NK细胞的癌症免疫疗法的潜能;同时,刺激NK细胞来对抗肿瘤可能会成为联合治疗的有效组成部分。


作者们在文中写道:“事实上,在人类中,NKG2D受体不仅由NK细胞表达,也由所有的CD8+ T细胞表达。先前,已经有研究报道了NKG2D–NKG2D配体轴在CD8+ T细胞中的协同作用。因此,联合MICA-MICB抗体和免疫检查点抑制剂或其他T细胞疗法是可行的。这种组合不仅可以增强肿瘤杀伤T细胞和NK细胞的激活程度,还有望扩大免疫疗法所能应对的癌症类型。


责编:风铃

End

参考资料:1)Preventing tumors from shedding their identifying proteins allows immune system to attack

2)Immunotherapy Calls Up Natural Killer Cells in the Fight against Cancer

3)Natural killers join the fight against cancer

本文系生物探索原创,欢迎个人转发分享。其他任何媒体、网站如需转载,须在正文前注明来源生物探索。

登录查看更多
0

相关内容

癌症是医学术语,其为最常见的恶性肿瘤,亦有人将癌症和恶性肿瘤混合使用。中医学中称岩,为由控制细胞分裂增殖机制失常而引起的疾病。癌细胞除了分裂失控外,还会局部侵入周遭正常组织甚至经由体内循环系统或淋巴系统转移到身体其他部分。
【ICMR2020】持续健康状态接口事件检索
专知会员服务
18+阅读 · 2020年4月18日
专知会员服务
29+阅读 · 2020年3月6日
2019中国肿瘤免疫治疗会议(附最新版日程)
肿瘤资讯
11+阅读 · 2019年6月13日
Science 一周论文导读 | 2019年4月26日
科研圈
3+阅读 · 2019年5月5日
外泌体行业规模2030年预计将达22.8亿美元
外泌体之家
18+阅读 · 2019年3月26日
Science:脂肪细胞外泌体对巨噬细胞发挥调节功能
外泌体之家
19+阅读 · 2019年3月7日
外泌体相比干细胞的优势是什么?
外泌体之家
43+阅读 · 2018年11月15日
Arxiv
7+阅读 · 2018年11月1日
Arxiv
6+阅读 · 2018年10月3日
Arxiv
4+阅读 · 2018年6月1日
Arxiv
3+阅读 · 2017年10月1日
VIP会员
Top
微信扫码咨询专知VIP会员