【干货】直肠癌MRI检查缺点与解决方案(下)

2018 年 3 月 2 日 肿瘤资讯 月下荷花
编译:月下荷花
来源:肿瘤资讯

MRI是直肠腺癌分期、预后和指导治疗的主要影像学手段,相较CT而言,无放射性、极好的肿瘤与周围软组织对比。不过MRI直肠癌检查也存在缺点,泰国Srisajjakul教授在Clin Imaging杂志就此做了详细阐述并提出解决方法,知已知彼方能使直肠癌MRI检查更好的服务于临床。今天为您继续带来直肠癌MRI检查缺点与解决方案(下)。

5.腹膜返折受累

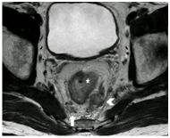
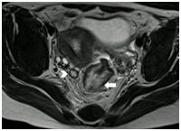
前腹膜返折(APR)是区分腹膜内和腹膜外直肠的重要标志,直肠癌伴腹膜返折受累为T4,增加肿瘤侵入腹腔风险。轴位T2加权像膜返折为薄层中线包绕筋膜返折,称为V型或海鸥征,女性子宫宫颈角和男性精囊腺尖端也是可靠标志(图7)。

图7  腹膜返折。A. 轴位T2加权像海鸥征(长箭头);B. 矢状位T2加权像腹膜返折的线状低密度信号位于子宫宫颈角(长箭头)。

MRI不能显示所有APR,如<1mm低密度线影,此外大的外生性直肠癌、盆腔腹膜脂肪缺乏和术后时APR均较难检测到,如下策略有助于发现APR:获取真正的中线矢状和矢状旁图像;解痉药减少运动伪象改善图像质量;半空膀胱使子宫和前腹壁距离更近,更易鉴别APR;盆底积液也增加发现APR机会。

6.粘液性肿瘤

直肠粘液性腺癌的特征是产生大量粘液,至少占肿瘤体积一半,诊断时多为进展期,粘液致细胞外空间增加,肿瘤微血管床减少,影响肿瘤氧合和药物运输,化放疗反应降低。粘液池通常突出于直肠壁,增加肿瘤播散机会。

T2加权像粘液性肿瘤呈明显高密度信号,外周蕾丝样增强。MRI检查缺点如下:粘液性肿瘤弥漫性浸润生长已传播至肠壁外,而肠壁解剖结构仍完整;放化疗后即便已无肿瘤、唯留粘液湖时,粘液性肿瘤仍倾向于保持高密度信号(图8);粘液性肿瘤T2加权像呈水样高密度信号,而周围盆腔脂肪也是高密度信号,因此薄层高分辨非压脂轴位T2加权像很易漏诊,此时需调整MRI参数,采用T2加权压脂像抑制脂肪信号,或非压脂轴位T2加权像采用二种不同高回波时间(TE)检测肿瘤,因为周围盆腔脂肪产生二种不同的密度信号(图9)。

图8  65岁女性直肠粘液腺癌放化疗后,轴位T2加权像显示直肠壁粘液池高密度信号(长箭头)和直肠系膜淋巴结(箭头),较前无显著变化,临床定义为无治疗反应,但术后病理证实为粘液池,未见肿瘤细胞。

图9  直肠粘液腺癌。TE 80ms(9A)和120ms(9B)轴位T2加权像显示直肠腔内粘液腺癌不同的高密度信号(星号),右侧肠壁(箭头)和左侧直肠系膜(长箭头),二种TEs信号差别有助于肿瘤检测。9C显示轴位T2加权压脂像,方便检测肿瘤(星号)和肿瘤播散(长箭头)。

7.环周切缘侵犯

肿瘤与直肠系膜筋膜间的距离为CRM,是局部复发和生存差的重要预后因素,>2mm时为阴性,<1mm时为阳性,1-2mm为可疑,CRM与T1和T2疾病无关,是T3/4疾病的预后因素。

MRI评估CRM同样存在缺点,直肠内对比时因肠壁扩张可能干扰肿瘤与直肠系膜筋膜距离的测定。直肠系膜筋膜只适用于腹腔外,因此CRM只适用于腹膜返折下肿瘤,如肿瘤位于上段直肠伴腹膜返折受累时为T4a,CRM阴性。肿瘤距离直肠系膜筋膜<1mm时报告切缘阳性,肿瘤沉积、EMVI或直肠系膜淋巴结也应报告切缘阳性(图10)。直肠系膜筋膜距下段直肠前壁很近,易被下位直肠癌累及或CRM阳性(图11)。CRM距离应测量肿瘤脂肪交界至直肠系膜筋膜的最短距离。

图10  61岁男性直肠癌,轴位T2加权像显示直肠肿物(星号),左侧直肠系膜EMVI(箭头),右侧直肠系膜淋巴结受累(长箭头),CRM侵犯。

图11  61岁男性直肠癌,轴位T2加权像显示直肠前壁锯齿状肿瘤,CRM侵犯(长箭头)。直肠前壁与直肠系膜筋膜非常接近,前壁直肠肿瘤CRM 阳性可能性较高。

8.下位直肠癌和肛管癌

下位直肠腺癌位于肛管5cm内,肿瘤在耻骨直肠肌/韧带水平或之下时应格外关注,因为距离肛管扩约肌很近。低位直肠癌距离CRM很近,增加复发风险。鉴别低位直肠癌与肛管癌很具挑战性,AJCC推荐肿瘤表面中心超过齿状线2cm以上为下位直肠癌(图12),不足2cm时为肛管癌。不过齿状线在MRI并不直接可见,大致相当于外扩约肌最上端或直肠下端,冠状面可通过肛提肌明确,肛提肌形成了坐骨直肠窝的顶。

图12低位直肠癌,冠状面T2加权像显示左下直肠齿状线上(长箭头)分叶状肿物(箭头)。齿状线相当于肛提肌水平,插入图像显示侵肿瘤犯左耻骨直肠肌或韧带(长箭头)

9.鉴别诊断

除腺癌外,直肠损害还包括良性肿瘤、肿瘤样表现和其它类型恶性疾病(表1)。上述情况的图像特征对诊断有帮助(图13)。

表1 不同直肠损害特点

图13  A. 子宫内膜异位,轴位T2加权像显示左侧卵巢子宫腺肌瘤(星号),前侧直肠系膜筋膜(长箭头)为粘附于异位内膜的星状低密度信号影,伴直肠前壁增厚(箭头);B.直肠类癌,轴位T2加权像显示粘膜下层边界清楚肿物(箭头),伴孔状高密度信号影(长箭头);C.直肠间质肿瘤,轴位T1加权钆增强像显示粘膜下(箭头)肿物轮廓清楚且均匀强化(长箭头)。

10.淋巴结受累

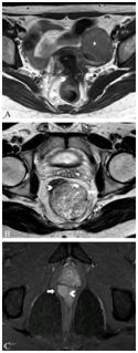
直肠系膜淋巴结和髂内淋巴结属于N分期,密度信号和淋巴结形态较大小能更好的预测淋巴结受累,表现为不规则边界和不均匀密度信号(图14),94%受累淋巴结只有5mm大小。推荐高分辨薄层T2加权像鉴别波尔卡圆点淋巴结征象,表现为正常大小转移淋巴结内部低密度信号(图14B),通常阳性淋巴结位于原发肿瘤水平或之上,与头端引流有关。精确评估淋巴结状态很重要,阳性是新辅助放化疗适应症,CRM 1mm内淋巴结必需报告,可能会影响CRM。直肠系膜外或侧方盆腔淋巴结,如髂外淋巴结、闭孔淋巴结和后腹膜淋巴结,为M疾病,进展期下位直肠癌上述淋巴结阳性更多。

图14  直肠淋巴结转移。A.轴位T2加权像显示直肠前壁肿物(箭头)和直肠系膜淋巴结(长箭头),淋巴结边缘不规则,密度信号不均匀;B. 波尔卡圆点淋巴结征象,轴位T2加权像显示6-12点半环周肿瘤(长箭头),小的直肠系膜淋巴结呈点状低信号,与波尔卡圆点相似(箭头);插入图像显示波尔卡圆点淋巴结。

功能性图像如DWI,并不能精确鉴别淋巴结良性反应性增生和转移,钆增强图像对评估淋巴结也非必需。使用氧化铁纳米颗粒增强剂结合淋巴结形态学,诊断特异性达93%,敏感性65%,单纯形态学诊断特异性75%。

11.肿瘤再分期、术后改变、复发和治疗后并发症

新辅助治疗适应症包括局部进展期直肠肿瘤,T3>5mm壁外侵犯,EMVI阳性,CRM侵犯,可疑或累及肛扩约肌,非TME时淋巴结受累。再分期是新辅助治疗后评估治疗反应,术后分期用前缀“y”表示,MRI yT分期精确度50%,CRM为66%,阴性预测值更高。

影响放化疗后分期的因素包括:粘膜下水肿影响对肿瘤残留的判断,表现为T2加权像一致的高信号;直肠周围纤维性改变的低信号细线影,也影响对肿瘤残留的判断;直肠系膜筋膜放疗后因纤维化环形增厚;T2加权像纤维炎症改变和肿瘤残留均表现为中等密度信号(图15)。

图15  45岁女性直肠癌术后纤维化。轴位T2加权像放化疗后6个月左侧直肠癌低信号纤维化改变(长箭头),插入图像是放化疗后3个月不均匀密度信号的纤维炎症改变,很难与残存肿瘤鉴别。

新辅助治疗后肿瘤与直肠系膜筋膜间脂肪垫重新出现,则直肠系膜筋膜未累及。T2加权像直肠壁恢复正常二层结构,是仅有的完全缓解的精确征象。再分期亦不推荐钆增强,因为纤维化和肿瘤残留均可增强,DWI联合T2加权像可提高诊断精确度,有助于区分纤维化与肿瘤残留。

可切除直肠癌应行手术治疗,根据肿瘤位置和侵犯程度有不同术式,放射医师必需知道术后解剖和术后骶前疤痕相关改变,如腹会阴切除后,小肠、膀胱和精囊腺后移,与复发肿瘤很相似,MRI评估异位结构优于CT,尤其是精囊腺在T2加权像表现为高密度信号影;骶前术后疤痕在T2加权像表现为对称性薄平线状低密度信号影,提示正常组织层面和完整骶尾皮质。缺点是术后疤痕在T2加权像可能表现为高密度信号影,即使术后1年仍有增强,提示血管扩张和炎症。

肿瘤复发通常在术后2年,MRI是显示复发、盆腔播散和淋巴结转移的金标准(图16、17),圆形或突出的损害边缘提示肿瘤复发,直角边缘提示纤维化。术后并发症,如吻合口漏、出血、瘘和盆腔脓肿与积液(图18),钆增强图像具有诊断作用,不过检测上述并发症时CT优于MRI。

图16  75岁男性直肠癌复发,放化疗后8个月轴位T2加权像显示直肠腔内真菌样肿物(长箭头),伴骶骨前软组织复发且累及骶骨(箭头)。

图17  41岁男性直肠癌腹会阴(AP)切除术后1年复发。A.轴位T2加权像显示右侧盆壁复发肿瘤为锯齿状软组织影(长箭头),可见骶前疤痕(箭头)。B.冠状T1加权钆增强像显示复发肿瘤增强(长箭头),右侧阴部神经周围侵犯(箭头);C.轴位T1加权钆增强像显示右侧阴部管的阴部神经周围侵犯(长箭头)。

图18  35岁女性直肠癌放疗后。A.轴位T2加权像直肠右侧肿物(箭头),右侧直肠系膜内脓肿(长箭头),脓腔内见碎片和低密度信号气泡;B.轴位T1加权钆增强像显示直肠肿瘤增强(箭头),直肠系膜右侧脓肿边缘增强(长箭头)。

评论:
直肠癌MRI检查是最重要的检查,对从事直肠癌诊疗工作的医师而言,阅读MRI是非常重要的工作技能。如果读完这篇文章仍不过瘾,可参阅肿瘤资讯中的另一篇文章“直肠癌MRI:诊断与新辅助治疗后的评估”,具相辅相成、促进提高的作用。
参考文献

https://www.ncbi.nlm.nih.gov/pubmed/29414101

责任编辑:肿瘤资讯-斐斐

28个肿瘤相关临床试验招募患者


点击下方图片即可查看详情


登录查看更多
1

相关内容

多媒体系统(MS)期刊详细介绍了多媒体计算,通信,存储和应用的各个方面的创新研究思想,新兴技术,最新方法和工具。它包含理论,实验和调查文章。多媒体系统的覆盖范围包括:在计算机系统中集成数字视频和音频功能;多媒体信息编码和数据交换格式;数字多媒体的操作系统机制;数字视频和音频网络与通信;存储模型和结构;用于支持多媒体应用程序的方法、范式、工具和软件体系结构;多媒体应用程序和应用程序接口,以及多媒体终端系统架构。 官网地址:http://dblp.uni-trier.de/db/journals/mms/
基于多头注意力胶囊网络的文本分类模型
专知会员服务
78+阅读 · 2020年5月24日
华为发布《自动驾驶网络解决方案白皮书》
专知会员服务
130+阅读 · 2020年5月22日
【综述】交通流量预测,附15页论文下载
专知会员服务
132+阅读 · 2020年4月23日
专知会员服务
29+阅读 · 2020年3月6日
深度学习算法与架构回顾
专知会员服务
84+阅读 · 2019年10月20日
综述 | 图像配准 Image registration
计算机视觉life
18+阅读 · 2019年9月12日
干货总结 | SLAM 面试常见问题及参考解答
计算机视觉life
17+阅读 · 2019年5月19日
“综述”类文章的共性问题—兼对 410 篇综述稿的分析
清华大学研究生教育
5+阅读 · 2018年7月31日
深度学习训练数据不平衡问题,怎么解决?
AI研习社
7+阅读 · 2018年7月3日
中国的外泌体研究牛人都在如何提取外泌体?
外泌体之家
44+阅读 · 2018年7月2日
深度学习必须理解的25个概念
机器学习算法与Python学习
5+阅读 · 2018年6月7日
阿里工程师详解典型SLAM应用场景及解决方案
机械鸡
6+阅读 · 2017年8月21日
SLAM入门+典型SLAM应用及解决方案
全球人工智能
13+阅读 · 2017年8月17日
Seeing What a GAN Cannot Generate
Arxiv
8+阅读 · 2019年10月24日
Geometric Graph Convolutional Neural Networks
Arxiv
10+阅读 · 2019年9月11日
Deep Learning for Generic Object Detection: A Survey
Arxiv
14+阅读 · 2018年9月6日
Arxiv
9+阅读 · 2018年4月12日
Arxiv
3+阅读 · 2018年3月27日
Arxiv
6+阅读 · 2018年1月14日
Arxiv
8+阅读 · 2018年1月12日
VIP会员
相关资讯
综述 | 图像配准 Image registration
计算机视觉life
18+阅读 · 2019年9月12日
干货总结 | SLAM 面试常见问题及参考解答
计算机视觉life
17+阅读 · 2019年5月19日
“综述”类文章的共性问题—兼对 410 篇综述稿的分析
清华大学研究生教育
5+阅读 · 2018年7月31日
深度学习训练数据不平衡问题,怎么解决?
AI研习社
7+阅读 · 2018年7月3日
中国的外泌体研究牛人都在如何提取外泌体?
外泌体之家
44+阅读 · 2018年7月2日
深度学习必须理解的25个概念
机器学习算法与Python学习
5+阅读 · 2018年6月7日
阿里工程师详解典型SLAM应用场景及解决方案
机械鸡
6+阅读 · 2017年8月21日
SLAM入门+典型SLAM应用及解决方案
全球人工智能
13+阅读 · 2017年8月17日
相关论文
Seeing What a GAN Cannot Generate
Arxiv
8+阅读 · 2019年10月24日
Geometric Graph Convolutional Neural Networks
Arxiv
10+阅读 · 2019年9月11日
Deep Learning for Generic Object Detection: A Survey
Arxiv
14+阅读 · 2018年9月6日
Arxiv
9+阅读 · 2018年4月12日
Arxiv
3+阅读 · 2018年3月27日
Arxiv
6+阅读 · 2018年1月14日
Arxiv
8+阅读 · 2018年1月12日
Top
微信扫码咨询专知VIP会员