滑铁卢大学发布《新冠肺炎卷积神经网络COVID-Net》一种定制的新冠深度卷积神经网络设计,用于从胸片图像中检测COVID-19

2020 年 3 月 25 日 专知

【导读】新冠肺炎还在肆虐,全世界人民在共同战疫。与COVID-19作斗争的一个关键步骤是对受感染患者进行有效筛查,以便那些受感染的人能够立即得到治疗和护理,并被隔离以减轻病毒的传播。标准的检测是核酸PCR,但是耗时操作复杂。为此采用人工智能影像检测是一种选择。专知之前报道过深度学习用于新冠肺炎CT诊断效果如何?性能好,用时少—武大人民医院medRxiv论文揭示:有可为。近期,滑铁卢大学发布了专门用于检测肺片中新冠肺炎的COVID-NET,取得非常有希望的结果。


COVID-19大流行继续对全球人口的健康和福祉产生破坏性影响。与COVID-19作斗争的一个关键步骤是对受感染患者进行有效的筛查,其中最关键的筛查方法之一是使用胸片进行放射成像。基于此,许多基于深度学习的人工智能(AI)系统被提出,结果显示在使用胸片图像检测COVID-19感染患者的准确性方面很有希望。然而,据作者所知,这些开发的人工智能系统是封闭的,研究社区无法对其进行更深入的理解和扩展,也无法对公众进行访问和使用。因此,在本研究中,我们引入COVID-Net,这是一种针对胸片图像中COVID-19的检测而设计的深度卷积神经网络,它是开源的,并且对公众开放。我们还描述了用于训练COVID-Net的胸片数据集,我们将其称为COVIDx,它由来自两个开放访问数据库的2839例患者的5941张前后胸片图像组成。此外,我们研究COVID- net如何使用可解释性方法进行预测,以获得与COVID病例相关的关键因素的更深入的了解,从而帮助临床医生改进筛选。决不生产就绪的解决方案,希望开放获取COVID-Net,随着描述构建开源COVIDx数据集,将杠杆,建立由研究人员和公民数据科学家们还都加快发展的高度准确的实际深度学习解决方案检测COVID-19病例和加速处理那些最需要的人。


https://www.zhuanzhi.ai/paper/8c78db835e57c280fe4def0b4d515036


 COVID-Net架构。可以观察到高度的架构多样性和选择性的远程连接,因为它是为covid19病例检测量身定制的胸片图像。在COVID-Net架构中大量使用了投影-扩展-投影的设计模式,这在计算效率和表示能力之间取得了很强的平衡。



概述


COVID-19大流行继续对全球人口的健康和福祉产生破坏性影响,这是由严重急性呼吸系统综合征冠状病毒2 (SARS-CoV-2)感染个人造成的。与COVID-19作斗争的一个关键步骤是对受感染患者进行有效筛查,以便那些受感染的人能够立即得到治疗和护理,并被隔离以减轻病毒的传播。检测covid19病例的主要筛查方法是PCR (PCR) [PCR]检测,可以检测呼吸标本(通过鼻咽或口咽拭子等多种手段采集)中的SARS-CoV-2 RNA。虽然PCR检测是金标准,因为它是高度敏感的,但它是一个非常耗时、费力和复杂的手工过程,这是供不应求的。


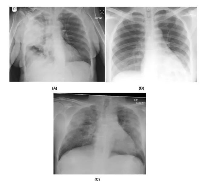
图1: 样本COVIDx数据集上的前后胸片图像:(a)细菌感染、(b)非COVID-19病毒感染和(c)COVID-19病毒感染。


另一种用于COVID-19筛查的筛查方法是影像学检查,即由放射科医师进行胸片成像(如x线或CT成像)并进行分析,以寻找与SARS-CoV-2病毒感染相关的视觉指标。在早期的研究中发现,患者在胸片图像中表现出与COVID-19感染者特征类似的异常[Ng, Huang],有研究认为,影像学检查可作为疫区COVID-19筛查的主要工具[Ai]。由于现代医疗系统中胸部放射成像系统的普及,使得放射成像检查可以更快地进行,并具有更大的可用性,这使其成为PCR检测的一个很好的补充(在某些情况下,甚至显示出更高的敏感性[Fang]),但面临的最大瓶颈之一是需要专业的放射科医师来解释放射成像图像,因为视觉指标可能是微妙的。因此,计算机辅助诊断系统可以帮助放射科医生更迅速和准确地解释放射图像,以检测COVID-19病例是非常必要的。


由于需要更快速地解释影像学图像,一些基于深度学习的人工智能(AI)系统已经被提出,在通过影像学成像检测COVID-19感染患者的准确性方面,结果显示相当有希望[Goze, Xu]。然而,据作者所知,这些开发的人工智能系统是封闭来源的,研究社区无法在其基础上对这些系统进行更深入的理解和扩展。此外,这些系统不能供公众访问和使用。因此,最近一直在努力推动开放获取和开放源代码的人工智能解决方案,用于放射性核磁驱动的COVID-19病例检测,一个典型的努力是开放源代码COVID胸部x射线数据集,一个由Cohen构建的数据集,包括COVID-19病例(以及SARS和MERS病例)和带注释的胸部x射线和CT图像,因此,研究社区和公民数据科学家可以利用数据集来探索和构建用于COVID-19检测的人工智能系统。


基于迫切需要开发解决方案以帮助抗击COvID-19大流行,并受到研究社区开源和开放获取努力的启发,本研究引入COVID-Net,这是一种深度卷积神经网络设计,专门用于从公开的、向公众开放的胸片图像中检测COvID-19病例。我们还描述了用于训练COVID-Net的数据集,我们将其称为COVIDx,它由来自2839例患者的5941张前后胸片图像组成,是由包含胸片图像的两个开放访问数据库(即科恩(Cohen)和卡格尔(kaggle))。此外,我们研究COVID- net如何使用可解释性方法进行预测,以获得与COVID病例相关的关键因素的更深入的了解,从而帮助临床医生改进筛选。



COVID-Net架构


网络架构。提出的COVID-Net网络架构如上图所示,可以通过

https://github.com/lindawangg/COVID-Net公开访问。

可以看出,COVID-Net网络架构大量使用了一种轻量级的残差投影-扩展-投影-扩展(PEPX)设计模式,它包括:


  • 第一阶段投影: 1×1个卷积,将输入特征投影到较低维度,

  • 扩展: 1×1个卷积,将特征展开到与输入特征不同的更高维度,

  • 深度表示: 高效3×3深度卷积,学习空间特征,最小化计算复杂度,同时保留表示能力,

  • 第二阶段投影: 1×1个卷积,将特征投影回较低的维度

  • 扩展: 1×1个卷积,最终将通道维数扩展到更高的维数,产生最终的特征。



数据



结果




专知便捷查看

便捷下载,请关注专知公众号(点击上方蓝色专知关注)

  • 后台回复“COVIDNET” 就可以获取滑铁卢大学发布《新冠肺炎神经网络COVID-Net》论文》专知下载链接

专知,专业可信的人工智能知识分发,让认知协作更快更好!欢迎注册登录专知www.zhuanzhi.ai,获取5000+AI主题干货知识资料!
欢迎微信扫一扫加入专知人工智能知识星球群,获取最新AI专业干货知识教程资料和与专家交流咨询
点击“ 阅读原文 ”,了解使用 专知 ,查看获取5000+AI主题知识资源
登录查看更多
6

相关内容

COVID-19文献知识图谱构建,UIUC-哥伦比亚大学
专知会员服务
43+阅读 · 2020年7月2日
计算机视觉用于新冠病毒COVID-19的控制综述,25页pdf
专知会员服务
53+阅读 · 2020年4月22日
专知会员服务
164+阅读 · 2020年4月21日
专知会员服务
29+阅读 · 2020年3月6日
竞赛方案|VideoNet视频内容识别挑战赛
极市平台
14+阅读 · 2019年9月8日
深度学习时代的图模型,清华发文综述图网络
全球人工智能
6+阅读 · 2018年12月24日
深度剖析卷积神经网络
云栖社区
7+阅读 · 2018年5月27日
吴恩达团队发起骨骼X光片识别挑战赛,好胆你就来
人工智能头条
4+阅读 · 2018年5月25日
讲透RCNN, Fast-RCNN, Faster-RCNN,将CNN用于目标检测
数据挖掘入门与实战
18+阅读 · 2018年4月20日
论文解析 | Google如何用CNN检查乳腺癌?
AI100
4+阅读 · 2017年12月21日
Arxiv
7+阅读 · 2020年3月1日
Arxiv
3+阅读 · 2019年3月15日
CoCoNet: A Collaborative Convolutional Network
Arxiv
6+阅读 · 2019年1月28日
Arxiv
3+阅读 · 2017年11月20日
VIP会员
Top
微信扫码咨询专知VIP会员