商汤与多方联合举办病理、放疗两大MICCAI国际挑战赛

2019 年 6 月 12 日 商汤科技

国际知名医学影像年会MICCAI 2019将在10月于深圳举办。作为黄金赞助商,商汤科技将联合衡道病理、上海交通大学医学院附属瑞金医院、西京医院、上海市松江区中心医院举办MICCAI 2019消化道病理图像检测与分割国际挑战赛;联合医诺智能科技、浙江省肿瘤医院、肿瘤防治中心举办MICCAI 2019放疗规划自动结构勾画国际挑战赛。聚焦放疗和病理两大领域的临床需求,将长期积累的数据资源和专家知识开放给研究领域,推动相关评价标准的建立,共同促进AI医疗的发展。


通过对AI技术与临床医疗的深入探索,商汤科技在向医疗领域持续输出原创技术、学术成果以及数据资源的同时,将以此次挑战赛为平台,进一步激发产学研协同效应,促进产业与学术研究的交流,帮助建立行业规范和标准,助力AI医疗在临床中的落地。


  AI医疗的发展是一场“应用的竞赛”

MICCAI(Medical Image Computing and Computer Assisted Intervention)是国际公认的医学影像计算与计算机辅助相关领域知名学术会议,自2012年起,MICCAI 开始每年面向全球举办针对医学影像分析不同领域的挑战大赛(Grand Challenge),并以强大的学术引导力,吸引了国内外顶级学府及著名医疗技术机构的积极响应和参与。


去年,商汤智慧健康团队在MICCAI 2018上一举包揽“左心室量化”、“左心房分割”、“脑卒中病灶分割”以及“椎间盘分割与定位”四项重要比赛的世界冠军,展示出在AI医疗领域的研究实力,同时为下一步应用场景的落地提供了强大的技术支撑。


有了原创技术实力的加持,在后续的工作中,商汤将目光更多地聚焦在临床落地的应用上,力图实现不同临床方向的AI赋能。


以放疗和病理领域为例:商汤与在放疗领域扎根十四年的医诺智能合作,在医诺放疗规划系统基础上,商汤基于自身领先的AI能力开发了一系列的器官及靶区勾画算法,有效地提高了放疗规划的效率和质量,全方位、智能化地助力有限放疗医生的产能,让更多基层病人受益;在病理领域上,商汤与全国首家连锁化独立第三方病理诊断中心——衡道病理合作,联合上海瑞金医院、松江医院、西安西京医院等多家医院,开发了可精准分析组织病理和细胞级别异常检测的算法,在此基础上研发的全套消化道活检筛查系统准确高效地提高了医生的工作效率,助力人工智能算法在病理科室的实际落地。


在不断的落地实践中,商汤和医院及企业合作,积累了大量脱敏数据(避免直接或间接识别病人相关个人信息),并联合专家倾注大量时间和精力对数据进行高质量标注。


今年,商汤与合作伙伴将在放疗和病理这两场MICCAI国际挑战赛中,将这些高质量数据对外释放,除提供较之以往更大规模的数据集外,商汤还将提供长期开放的测试服务器。


两项比赛提供的大规模放疗自动勾画标准数据集、印戒细胞数据集、结肠镜检查组织切片数据集和在线测试服务器,将分别作为未来放疗自动勾画算法、印戒细胞检测和结肠镜组织检查的标准评价指标之一,此后开发的人工智能算法,均可在测试服务器上进行测试,这无疑赋予了此次大赛更长远的影响力。


  挑战赛一:放疗规划自动结构勾画

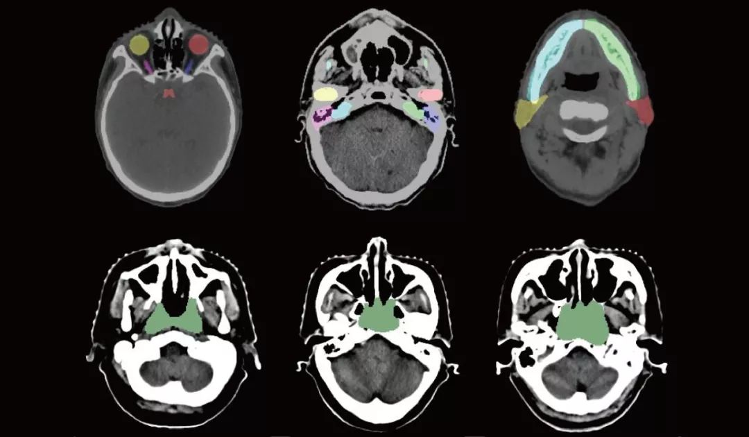
放疗,是目前癌症治疗的重要手段之一,放疗规划则是放射治疗中至关重要的一环,为了确保肿瘤区域接收足够的放射量,同时防止危及器官中正常细胞受到过多放射而导致损伤,在规划阶段精确制定放射线的分布尤为重要。



医生在为病人制定放疗规划的实际过程中,需要在病人拍摄的几十甚至上百张CT图像上进行危及器官和靶区勾画,这个过程占据了放疗医生大量时间和精力,而自动危及器官及靶区勾画算法能够极大地降低放疗规划时间,提升医生效率的同时降低放疗整体成本。


但是,业内还普遍缺乏标准化高质量的训练数据,此次MICCAI 2019放疗规划自动结构勾画国际挑战赛,就将公布大量具有专家标注的CT数据,用于此次“头颈部危及器官(OAR)分割”、“胸部危及器官(OAR)分割”、“鼻咽癌放疗靶区(GTV)分割”和“肺癌放疗靶区(GTV)分割”四项挑战任务。


这些CT数据包含鼻咽癌与肺癌两种癌症数据,且本次数据集规模比以往所有公开数据集规模都大,包含了50位鼻咽癌患者的CT数据及相应的1100个危及器官和放疗靶区GTV的标注,50位肺癌患者的CT数据及相应的300个危及器官和放疗靶区GTV的标注,这些数据集的释放,将极大地推动CT图像中危及器官和靶区勾画研究的进展。


  挑战赛二:消化道病理图像检测与分割

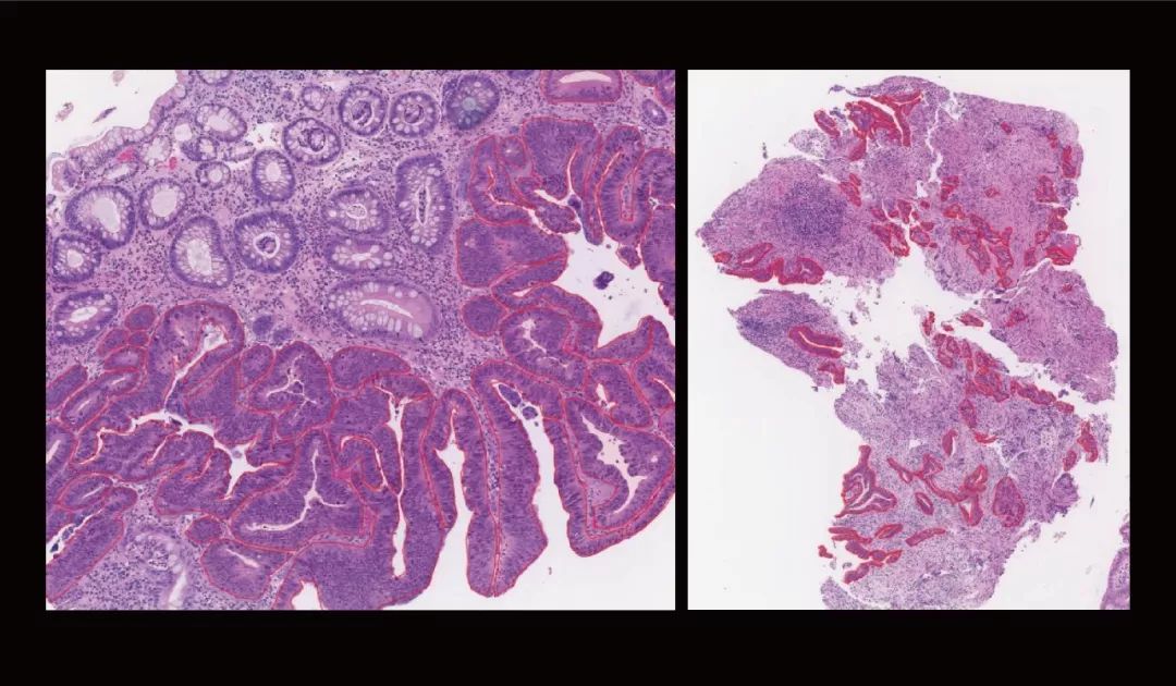
病理检查是疾病诊断的“金标准”,近年来,随着数字病理学的发展,医生得以远程对病理全切片扫描图像(WSI)进行诊断分析,这可以极大地提高偏远地区的医疗水平。但WSI的人工分析十分耗费病理医生的时间,有的WSI尺寸甚至达到100,000 X 100,000像素,在没有足够数量病理医生的地区,远程检查WSI在实际实施中困难重重。而通过开发医学人工智能模型来自动检测、分割和分类不同病理图像中的异常区域及细胞,将极大程度上解决这一难题。



MICCAI 2019消化道病理图像检测与分割国际挑战赛,将设置“印戒细胞检测”和“结肠镜组织分割和筛查”两项挑战任务,用以建立消化系统病理图像的细胞检测和活检组织分割筛查的算法和评估系统。


这是目前世界上第一个针对印戒细胞检测和结肠镜组织筛查的挑战赛,同时也是第一个公开的消化系统病理图像数据集,本次大赛公开的数据集拥有大量专家的标注,印戒细胞检测数据集包含90名患者的450张病理图像区域和15000个细胞标注,结肠镜组织分割和筛查数据集包含450名患者的750个病理图像区域和相应的恶性区域轮廓标注。


这些数据集将极大地推进病理目标自动检测和病变分割的研究,并进一步发挥人工智能在辅助决策、优化病理诊断等数字病理领域的应用价值。


  从MICCAI参赛者到大赛组织者

以上两大挑战赛中,各参赛队伍所提交的算法结果将分别由亚洲顶级人工智能研究机构、临床肿瘤治疗机构及病理诊断中心进行评估。商汤也承诺在本次挑战赛中所提供的测试服务器,也将于未来一直支持并保持开放测试,这意味着研究人员可在该服务器上不断提交并测试新的方法。


一年内,商汤科技完成了从MICCAI挑战赛参赛者到组织者的角色蜕变,正是源于在AI医疗临床应用落地的深入探索。基于落地实践中的大数据与行业机构强强合作,商汤充分发挥产学研优势,为解决临床医生诊疗愈全栈操作的切实需求而努力,也希望将经验及资源回馈业界,推动行业的整体进步。


与此同时,商汤希望能够与全球更多医疗机构及专家进行深度合作与研究推进,推动行业规范化标准的建立,共同推动AI医疗的发展、推进优质医疗资源下沉。


MICCAI 2019消化道病理图像检测与分割国际挑战赛及MICCAI 2019放疗规划自动结构勾画国际挑战赛,将分别在6月14日、15日发布训练数据集,各参赛队伍的提交截止日期分别为9月23日及25日,最终结果将于10月1日正式公布。参赛者可通过官网查询赛事详情,报名参赛。


MICCAI 2019消化道病理图像检测与分割国际挑战赛官网:

https://digestpath2019.grand-challenge.org/Home/

MICCAI 2019放疗规划自动结构勾画国际挑战赛官网:

https://structseg2019.grand-challenge.org/Home/

登录查看更多
10

相关内容

【CVPR2020】多模态社会媒体中危机事件分类
专知会员服务
55+阅读 · 2020年4月18日
2019中国硬科技发展白皮书 193页
专知会员服务
86+阅读 · 2019年12月13日
【大数据白皮书 2019】中国信息通信研究院
专知会员服务
138+阅读 · 2019年12月12日
【白皮书】“物联网+区块链”应用与发展白皮书-2019
专知会员服务
94+阅读 · 2019年11月13日
阿里健康夺冠中文电子病历实体识别评测任务
AI掘金志
40+阅读 · 2018年8月17日
报名 | 清华大学“智慧医学影像论坛2018”
数据派THU
8+阅读 · 2018年6月27日
吴恩达团队发起骨骼X光片识别挑战赛,好胆你就来
人工智能头条
4+阅读 · 2018年5月25日
中科院赵地:深度学习在 4 大超声影像中的应用
AI掘金志
9+阅读 · 2017年12月17日
Graph Analysis and Graph Pooling in the Spatial Domain
Self-Attention Graph Pooling
Arxiv
5+阅读 · 2019年4月17日
Arxiv
4+阅读 · 2018年3月14日
Arxiv
7+阅读 · 2018年1月24日
VIP会员
相关VIP内容
【CVPR2020】多模态社会媒体中危机事件分类
专知会员服务
55+阅读 · 2020年4月18日
2019中国硬科技发展白皮书 193页
专知会员服务
86+阅读 · 2019年12月13日
【大数据白皮书 2019】中国信息通信研究院
专知会员服务
138+阅读 · 2019年12月12日
【白皮书】“物联网+区块链”应用与发展白皮书-2019
专知会员服务
94+阅读 · 2019年11月13日
Top
微信扫码咨询专知VIP会员