Nature 子刊 | 56万条敏感数据系统识别生物标志物驱动的药物组合以克服抗性

2022 年 4 月 16 日 GenomicAI

近日,Nature子刊文章描述了从大型公开数据库收集的数据,分析生物标志物驱动的药物组合来克服耐药的生物机制研究。



理解和预测对治疗药物的应答能力可能会改善癌症患者的预后。


作者假设癌细胞系的基础基因转录状态,再加上小分子的细胞活性谱,可用于确定内在抗性的特定机制并预测克服抗性的药物组合,作者分析了 564,424 个敏感性数据谱来识别候选基因-化合物对,并验证了九个这样的关系。


作者确定了一种新关系的机制,其中丝氨酸水解酶单酰基甘油脂肪酶(MGLL)或羧酸酯酶 1(CES1)的表达通过直接酶促修饰赋予了对组蛋白赖氨酸去甲基化酶抑制剂GSK-J4的抗性,不敏感的细胞系可以通过抑制或基因敲除对GSK-J4敏感。


这些分析和机制研究强调了将基因表达特征与小分子应答相结合以识别可能从治疗中受益的患者群体的潜力,提名合理的组合候选者并提供对作用机制的见解。


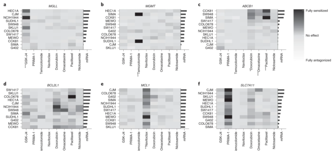
鉴定了与抗性相关的转录物

作者确定了CTRP中254个化合物和741个基因的925个化合物-mRNA关系,以及GDSC中151个化合物和347个基因的412个关系。通过对推定的抗性相关转录物进行深入表征,发现4个与几种具有不同机制和敏感性模式的化合物相关BCL2L1SLC7A11UGT1A10ABCB1),而其余三个对单一化合物(或具有共同敏感性模式的机械相关化合物;MGMTMCL1MGLL)具有高度选择性。


候选共靶点的异位表达(Ectopic expression)足以驱动耐药性

纵坐标GR(growth rate inhibition).


联合药物治疗在具有高共靶点表达的细胞系中特异性诱导协同作用


代码地址:

https://github.com/broadinstitute/prism_data_processing

https://github.com/reesmg

登录查看更多
1

相关内容

深度学习药物发现综述
专知会员服务
58+阅读 · 2022年6月2日
Science|深度学习对抗原序列的通用编码指导免疫治疗
专知会员服务
16+阅读 · 2022年5月22日
【Nature. Mach. Intell. 】图神经网络论文汇集
专知会员服务
47+阅读 · 2022年3月26日
专知会员服务
86+阅读 · 2021年10月11日
【干货书】数据挖掘药物发现,347页pdf
专知会员服务
135+阅读 · 2021年9月20日
[综述]深度学习下的场景文本检测与识别
专知会员服务
78+阅读 · 2019年10月10日
PNAS |Deep learning 预测药物-药物的相互作用
GenomicAI
7+阅读 · 2022年1月20日
国家自然科学基金
0+阅读 · 2015年12月31日
国家自然科学基金
3+阅读 · 2014年12月31日
国家自然科学基金
0+阅读 · 2013年12月31日
国家自然科学基金
0+阅读 · 2011年12月31日
国家自然科学基金
0+阅读 · 2011年12月31日
Arxiv
0+阅读 · 2022年6月9日
Arxiv
67+阅读 · 2022年4月13日
Directional Graph Networks
Arxiv
27+阅读 · 2020年12月10日
Directions for Explainable Knowledge-Enabled Systems
Arxiv
26+阅读 · 2020年3月17日
Deep Reinforcement Learning: An Overview
Arxiv
17+阅读 · 2018年11月26日
Arxiv
13+阅读 · 2018年1月20日
VIP会员
相关VIP内容
深度学习药物发现综述
专知会员服务
58+阅读 · 2022年6月2日
Science|深度学习对抗原序列的通用编码指导免疫治疗
专知会员服务
16+阅读 · 2022年5月22日
【Nature. Mach. Intell. 】图神经网络论文汇集
专知会员服务
47+阅读 · 2022年3月26日
专知会员服务
86+阅读 · 2021年10月11日
【干货书】数据挖掘药物发现,347页pdf
专知会员服务
135+阅读 · 2021年9月20日
[综述]深度学习下的场景文本检测与识别
专知会员服务
78+阅读 · 2019年10月10日
相关基金
Top
微信扫码咨询专知VIP会员