青光眼,哪里跑!

2018 年 7 月 9 日 中科院之声


青光眼:沉默的“视力窃贼”


青光眼(英文Glaucoma,中国古代称为绿内障)是一系列会导致视神经受损,进而造成视力丧失的眼疾。由于该疾病进程极为缓慢,在很长一段时间内不会出现明显症状,大多数患者直到后期都没有意识到已经患病。


因此,青光眼又被形象地描述为“视力窃贼”或者“无形视力杀手”,是第二大致盲眼科疾病。由于其不可逆转性,相比其他眼科疾病侵害性更强,因此在国际上受到广泛关注。


目前全球青光眼患者约7000万,预计到2020年青光眼将影响全球8000万人,而我国是世界上青光眼患者数量最多的国家。其中,导致青光眼的因素主要包括眼压持续升高、青光眼的家族病史、偏头痛、高血压等,这些因素通常导致视神经会受到压迫而产生压陷。


由于视神经损伤无法修复,一旦青光眼发现过晚,则会出现不可逆的视功能损伤甚至失明,如果青光眼在早期得到确诊,经治疗后多数患者可以保持现有视力。


所以,早期的青光眼筛查、诊断和治疗是预防视神经损害和失明的关键。


经验丰富的眼科医生紧缺


世界各国特别是发展中国家面临着医疗资源短缺,特别是有经验的眼科医生不足而且分布不均衡的现实挑战。


以我国为例,目前专业眼科医生只有3万人左右,而且集中分布在一、二线大城市。因此,开展基于人工智能的自动化低成本的青光眼筛查与辅助诊断算法研究对于提高我国眼科医疗服务整体水平具有十分重要的现实意义。


图1:不同程度青光眼患者的视盘视杯(第1行和视野(第2行:A正常人;B轻度青光眼患者;C中度青光眼患者;D重度青光眼患者


目前,青光眼的临床诊断主要由经验丰富的专业眼科医生通过评估眼底图的视杯与视盘的直径比即杯盘比(Cup to Disk Ratio,CDR)来进行人工评估。如图2所示,绿色和蓝色分别表示为视杯和视盘。


然而,对于大规模群体的青光眼筛查,人工评估不仅效率低下,而且其评估质量很容易受医生经验不足和身体疲劳等主观因素影响。因此,亟需开发杯盘比自动评估算法以减轻眼科医生的工作负担,提高其工作效率与质量。


图2:标注后的眼底图(绿色圈为视杯;蓝色圈为杯视盘)


人工智能:给眼科疾病诊断提供高效的辅助手段


2016年,阿尔法狗打败世界冠军李世石后,把人工智能推向了高潮。在中科院宁波材料所,由刘江研究员领导的“iMED”(imed.nimte.ac.cn)团队就在眼科人工智能领域取得了不俗的成绩。


“iMED”团队十余年来深耕眼科人工智能,汇集了出色的算法科学家,与优秀的眼科医院医生合作获取数据,同时建立了标注数据集,涉及各类眼科疾病(包括青光眼、白内障、年龄相关性黄斑病变、糖尿病视网膜病变、病理性近视、眼底血管病等)。


近年来,他们提出了一系列人工智能诊断算法,为眼科疾病诊断提供了高效的智能辅助手段,有效地提高了眼科疾病的诊断效率及精度。


以青光眼为例,“iMED”团队是世界上第一个通过人工智能分析杯盘比(CDR)来设计青光眼自动筛查诊断算法的团队,并且结合深度学习在内的机器学习方法不断优化相关算法,连续10年刷新行业内视杯视盘分割和基于眼底图像的青光眼诊断准确率的世界纪录,并且使得人工智能有了在眼科医学图像中的可解释性。


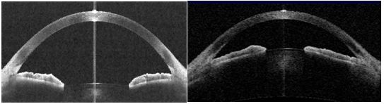
此外,根据前房角(也称“隅角”,它是指角膜和虹膜之间的夹角)的不同状态,青光眼可以分为开角青光眼和闭角青光眼,如图3。后者多发于中老年女性和亚洲人群。两种不同青光眼亚型的病因、治疗手段和手术方案存在着显著的差异,因此在临床诊断中会通过前房角镜进行精确的人工检查。


图3:开角青光眼AS-OCT影像(左列)和闭角青光眼AS-OCT影像(右列)。

 

近10年来,眼前节光学相干断层扫描(AS-OCT)影像技术飞速发展,逐渐在全球范围内普及起来,为闭角青光眼的定性和定量分析提供了一种新的、非接触、快速和准确的手段。


“iMED”团队早在2008年就在新加坡开展了基于 AS-OCT 的闭角青光眼自动筛查研究,取得一系列技术突破,研发了全球第一个全自动闭角青光眼筛查系统 AGAR。2016年iMED团队科研骨干成建制回国后成立“iMED中国”团队,推出了其升级版 AGAR+,它可以兼容市面上主流 AS-OCT 设备、 2D和3D扫描、不同分辨率和不同长宽比。相关成果吸引了国际多个 AS-OCT 生产厂商的关注。


“iMED中国”团队,借助在海外的经验和影响力广泛吸收业内人才继续深耕人工智能在眼科影像中的的应用,同时拓展眼脑联动、精准医疗、手术机器人和生物成像分析等方面的研究,立志为眼科疾病的人工智能筛查和辅助诊断做出新的贡献。


来源:中国科学院宁波材料技术与工程研究所


登录查看更多
4

相关内容

人工智能(Artificial Intelligence, AI )是研究、开发用于模拟、延伸和扩展人的智能的理论、方法、技术及应用系统的一门新的技术科学。 人工智能是计算机科学的一个分支。
Python数据分析:过去、现在和未来,52页ppt
专知会员服务
103+阅读 · 2020年3月9日
专知会员服务
29+阅读 · 2020年3月6日
广东疾控中心《新型冠状病毒感染防护》,65页pdf
专知会员服务
19+阅读 · 2020年1月26日
2019中国硬科技发展白皮书 193页
专知会员服务
86+阅读 · 2019年12月13日
【机器学习课程】Google机器学习速成课程
专知会员服务
170+阅读 · 2019年12月2日
知识图谱从哪里来:实体关系抽取的现状与未来
AI科技评论
13+阅读 · 2019年11月17日
外泌体相比干细胞的优势是什么?
外泌体之家
43+阅读 · 2018年11月15日
艾瑞:自适应学习凭什么成为AI+教育的核心?
艾瑞咨询
6+阅读 · 2018年3月22日
关于医学影像背后的科学,你都知道多少?
中科院物理所
3+阅读 · 2017年12月14日
Self-Attention Graph Pooling
Arxiv
5+阅读 · 2019年4月17日
Arxiv
5+阅读 · 2018年4月13日
VIP会员
Top
微信扫码咨询专知VIP会员