Nature 一周论文导读 | 2018 年 7 月 19 日

2018 年 7 月 29 日 科研圈

审校 小锅 咖喱 小勺 大头 小象

制版:阿金


生物学

Biology


Insights into clonal haematopoiesis from 8,342 mosaic chromosomal alterations

通过8,342个嵌合染色体变异理解单克隆造血

Po-Ru Loh, Giulio Genovese, et al.

https://www.nature.com/articles/s41586-018-0321-x


(导读 郭怿暄)健康个体中塑造单克隆进化的选择压力尚不清楚。本研究通过对血液DNA中的8342个嵌合染色体改变进行分析,发现一些与获得染色体删除或异质性丢失,影响体细胞突变几率以及正向或反向克隆选择的可遗传变异位点。一些特定嵌合染色体改变与未来血液系统恶变具有强烈相关性。该发现揭示了多种途径可导致克隆扩张并对人类健康产生影响。


Abstract

 


Single-cell analysis of early progenitor cells that build coronary arteries

对建立冠状动脉的早期祖细胞进行单细胞分析

Tianying Su, Kristy Red-Horse, et al.

https://www.nature.com/articles/s41586-018-0288-7


(导读 郭怿暄)在发育和再生中,新的动脉可由已经存在的静脉转变而成,但机制尚不清楚。本研究利用单细胞测序技术发现处于发育中的心脏中静脉细胞经过早期细胞命运转换,使部分细胞转录超过一定阈值,转变为前动脉细胞。在血液灌注前,前动脉细胞定位于不成熟血管丛,表达成熟的动脉标记物并抑制细胞周期和静脉特异性转录因子COUP-TF2,继而将分化形成冠状动脉。


Abstract

 


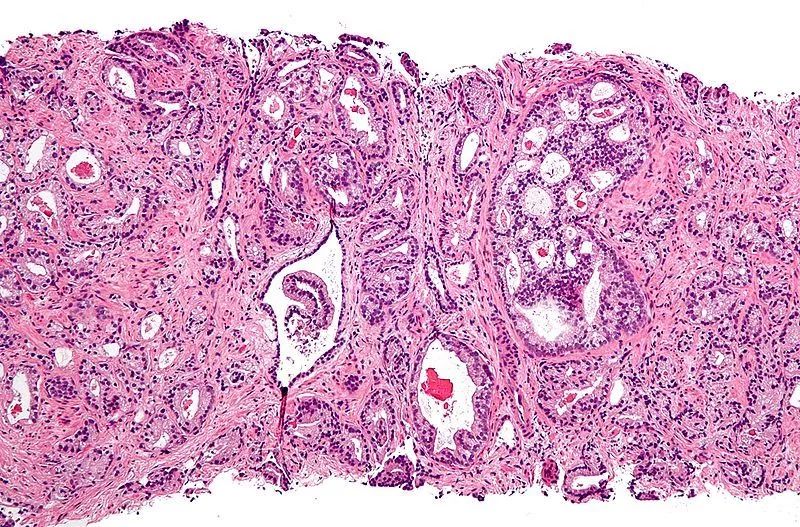
IL-23 secreted by myeloid cells drives castration-resistant prostate cancer

由髓样细胞分泌的IL-23驱动去势抵抗的前列腺癌 

Arianna Calcinotto, Andrea Alimonti, et al.

https://www.nature.com/articles/s41586-018-0266-0


图片来源:Wikipedia


(导读 掌灯小鱼)前列腺癌患者常表现出对雄激素剥夺疗法的耐受,被称为去势抵抗性前列腺癌(CRPC),但机制仍需深入理解。癌细胞对肿瘤微环境的依赖性表明微环境可能控制CRPC的出现。本研究确定了髓源性抑制细胞(MDSCs)分泌的IL-23可激活前列腺肿瘤细胞中的雄激素受体,促进细胞在雄激素缺乏条件下的存活和增殖,以非细胞自主方式来诱发CRPC。IL-23阻断疗法可以对抗MDSC介导的对前列腺癌的耐受性,并可与标准疗法协同发挥作用。


Abstract

 


Scaling up molecular pattern recognition with DNA-based winner-take-all neural networks

利用基于DNA的胜者通吃神经网络可以将分子模式识别扩大化

Kevin M. Cherry and Lulu Qian 

https://www.nature.com/articles/s41586-018-0289-6


(导读 卓思琪)基于DNA的神经网络可以再现生命体中的分子模式识别功能,但至多只能识别四种模式,每种模式包含4个不同DNA分子。胜者通吃是一种加强DNA神经网络的计算方式,可以不受模式数和模式复杂度的限制。本文对既有的跷跷板式DNA门模块进行改进,提出了一种基于DNA链位移反应的胜者通吃方法,该方法可在10×10矩阵中识别出9种复杂的手写模式,每个模式可包含20个DNA分子。这表明分子电路可稳定完成对高度复杂和有噪声信息的分类。


Abstract

 


Prediction of acute myeloid leukaemia risk in healthy individuals

对健康个体进行急性髓系白血病风险的预测

Sagi Abelson, Moritz Gerstung, et al.

https://www.nature.com/articles/s41586-018-0317-6


(导读 郭怿暄)急性髓系白血病(AML)的发病率随年龄增加且具有高致死率。如何区分AML高风险个体和年龄相关克隆造血(ARCH)个体尚不清楚。本研究对AML诊断前平均6.3年的95名个体(Pre-AML组)和对照组的外周血DNA进行分析,发现前者具有更多突变,变异等位基因的频率升高,突变在特定基因上富集。据此建立的Pre-AML预测模型可对Pre-AML个体进行准确预测并用于发现高风险个体。


Abstract

 


Reprogramming human T cell function and specificity with non-viral genome targeting

用非病毒基因组靶向重编程人T细胞功能和特异性

Theodore L. Roth, Alexander Marson, et al.

https://www.nature.com/articles/s41586-018-0326-5


(导读 齐睿娟)使用重组病毒载体对T细胞进行基因重编程以达到治疗目的的过程漫长且昂贵,拖慢了研究和临床使用速度。本研究开发了一种CRISPR-Cas9基因组靶向系统,该系统不需要病毒载体,可在人原代T细胞基因组中的特定位点快速有效地插入大DNA序列(大于1千碱基),同时保持细胞活力和功能,并允许内源基因的单独或多重修饰。此项研究为实现非病毒基因组靶向实验操作的灵活方便性和人原代免疫细胞的治疗工程打下了基础。


Abstract

 


Mechanism of parkin activation by PINK1

PINK1激活parkin的分子机制

Christina Gladkova, David Komander, et al.

https://www.nature.com/articles/s41586-018-0224-x


(导读:阿金)PRKN和PINK1蛋白酶突变与常染色体隐性青少年型帕金森氏病(AR-JP)相关,造成线粒体自噬缺陷。本研究通过氢氘交换质谱法发现人类全长PARKIN激活过程中发生大规模结构域重排,其中磷酸泛素样结构域重新结合到PARKIN核心并释放催化性RING2结构域。该研究发现为设计临床用PARKIN激活剂提供新思路。


Abstract

 


Resistance-gene-directed discovery of a natural-product herbicide with a new mode of action

以抗性基因为导向发现具有新作用机理的天然除草剂

Yan Yan, Jiahai Zhou, Steven E. Jacobsen, Yi Tang, et al.

https://www.nature.com/articles/s41586-018-0319-4


(导读:阿金)基因组挖掘寻找带有特定生物活性的天然产物用于健康和农业领域仍具挑战性。本研究基于自身抗性基因与天然产物生物合成基因簇的共聚类,靶向植物支链氨基酸生物合成途径中的二羟酸脱水酶(DHAD),发现真菌产物aspterric acid可抑制DHAD,作为有效的喷雾型除草剂。这一发现证明以抗性基因为导向的方法具有发现生物活性天然产物的潜力。


Abstract

 


Prespliceosome structure provides insights into spliceosome assembly and regulation

前剪接体结构提供了对剪接体组装和调节的见解  

Clemens Plaschka, Pei-Chun Lin, Kiyoshi Nagai, et al.

https://www.nature.com/articles/s41586-018-0323-8


(导读:阿金)剪接体由五个小核糖核蛋白颗粒(snRNP:U1,U2-U5)和许多非snRNP因子组成。前剪接体是剪接体组装前期的关键结构,可以和U4/U6.U5复合体组装成完整剪接体。本研究报道酿酒酵母前剪接体近原子分辨率的冷冻电镜结构,提供了剪接体早期组装模型,并为疾病相关的人类LUC7样剪接因子和TIA-1因子提供结构上的新见解。


Abstract

 


PtdIns(4,5)P2 stabilizes active states of GPCRs and enhances selectivity of G-protein coupling

PtdIns(4,5)P2稳定GPCR的活性状态并增强G蛋白偶联的选择性  

Hsin-Yung Yen, S. P. Sansom, Carol V. Robinson, et al.

https://www.nature.com/articles/s41586-018-0325-6


(导读:阿金)G蛋白偶联受体(GPCRs)是关键的药物靶点,其与脂质和G蛋白相互偶联的机制尚不完全清楚。本研究用天然质谱法鉴定了三种A类GPCR与内源脂质的结合,观察到磷脂酰肌醇-4,5-二磷酸酯(PtdIns(4,5)P2)在细胞内表面优先结合GPCR。PtdIns(4,5)P2可以特异性稳定mini-Gαs和β1AR受体的结合。该结果为G蛋白功能、选择性和靶向药物的研究提供帮助。


Abstract

 


地球科学

Geoscience


Synchronous tropical and polar temperature evolution in the Eocene

始新世热带和极地温度的同步演变

Margot J. Cramwinckel, Matthew Huber, et al.

https://www.nature.com/articles/s41586-018-0272-2


图片来源:phys.org


(导读:阿金)由于缺乏连续的高质量热带温度重建模型,量化关键的始新世温暖期气候演化参数仍属挑战。本研究基于大西洋沉积物的生物标记古温度测定,得到该时期赤道海平面连续的温度记录,与现有的少量数据结合,建立起一个2600万年始新世热带气候演化模型,发现热带和深海温度发生着平行变化,两者之间存在强烈的线性关系,表明整个时期内有恒定的极地放大因素。


Abstract

 


Global surface warming enhanced by weak Atlantic overturning circulation

北大西洋经向翻转环流减弱导致全球表面增暖加强

陈显尧(中国海洋大学)and Ka-Kit Tung

https://www.nature.com/articles/s41586-018-0320-y


(导读:阿金)古气候学证据显示北半球骤然变冷事件与北大西洋经向翻转环流(AMOC)减弱相关。本研究表明在温室气体热辐射作用下,AMOC的主要功能从向北输送表面热量变为在大西洋更深处储存热量,放缓全球表面温度升高。2004年开始的锚碇观测确认AMOC和海洋热量吸收能力已减弱,预计持续20年,因此海洋热量低水平的吸收将反映全球表面快速变暖时期。


Abstract

 


其他

【Physics-物理】Electron ptychography of 2D materials to deep sub-ångström resolution

达到次埃米级深度分辨率的二维材料电子叠层成像

Yi Jiang, David A. Muller, et al.

https://www.nature.com/articles/s41586-018-0298-5


(导读:阿金)像差校正光学系统让原子分辨率的电子显微镜成为表征纳米结构的重要工具。但在较低光束能量下二维材料成像的空间分辨率限制在1Å。本研究将电子显微镜像素阵列检测器与必要动态范围结合,记录透射电子的完整分布和从全相位空间恢复相位信息,改善了MoS2中单原子缺陷的图像对比度,得到0.39Å的阿贝衍射限制分辨率。


Abstract

 


【Chemistry-化学】Controlling an organic synthesis robot with machine learning to search for new reactivity

通过机器学习控制有机合成机器人探索新的化学反应

Jarosław M. Granda, Leroy Cronin, et al.

https://www.nature.com/articles/s41586-018-0307-8


(导读 卓思琪)机器学习是一项强有力的数据分析手段,但它在化学领域的应用还未被开发。本研究提出了一种有机合成机器人,通过对化学输入进行二进制编码可实现利用机器学习预测化学反应。该机器学习系统能预测约1000个反应组合的反应性,准确率超过80%。通过利用机器人的实时数据,这些预测被一位化学家人工跟踪,从而,发现了四种新的反应。


Abstract

 


【Ecology-生态】An inverse latitudinal gradient in speciation rate for marine fishes

海洋鱼类物种形成速率逆纬度梯度分布

Daniel L. Rabosky, Jonathan Chang, et al.

https://www.nature.com/articles/s41586-018-0273-1


(导读:阿金)热带有机物种的数量远多于温带和极地地区(多样性纬度梯度),但其演化和生态起源尚存争议。本研究检测了纬度、物种丰度和形成速率之间的关系,组合了基于时间校准的所有辐鳍鱼类系统发育,来描述海洋物种形成的空间动力学,发现高纬度物种贫乏的寒冷水域中鱼类物种谱系的形成速率远超热带环境。该研究提出了地球上最冷海洋是物种形成热点的新问题。


Abstract

 


【Information Science-信息科学】Hot streaks in artistic, cultural, and scientific careers

艺术、文化和科学领域的职业巅峰时期

Lu Liu, 王大顺(美国西北大学), et al.

https://www.nature.com/articles/s41586-018-0315-8


(导读 胡琦琳)本研究考察了个人艺术家、电影导演和科学家的职业生涯,构建了职业巅峰时期的简单模型,在各个领域中都具有显著的普遍性。巅峰时期在个体的工作序列中随机出现,与生产力无关。研究结果不仅加深了对个人创造力和成功的定量理解,而且对认识和如何培养个人工作的长期影响力具有一定的帮助。


Abstract

 



登录查看更多
1

相关内容

【Nature论文】深度网络中的梯度下降复杂度控制
专知会员服务
41+阅读 · 2020年3月9日
【学科交叉】抗生素发现的深度学习方法
专知会员服务
25+阅读 · 2020年2月23日
【论文】结构GANs,Structured GANs,
专知会员服务
15+阅读 · 2020年1月16日
2019->2020必看的十篇「深度学习领域综述」论文
专知会员服务
275+阅读 · 2020年1月1日
斯坦福&谷歌Jeff Dean最新Nature论文:医疗深度学习技术指南
Nature 一周论文导读 | 2019 年 8 月 1 日
科研圈
8+阅读 · 2019年8月11日
Nature 一周论文导读 | 2019 年 6 月 27 日
科研圈
8+阅读 · 2019年7月7日
Nature 一周论文导读 | 2019 年 6 月 6 日
科研圈
7+阅读 · 2019年6月16日
Nature 一周论文导读 | 2019 年 5 月 30 日
科研圈
15+阅读 · 2019年6月9日
Nature 一周论文导读 | 2019 年 4 月 4 日
科研圈
7+阅读 · 2019年4月14日
Nature 一周论文导读 | 2019 年 2 月 28 日
科研圈
13+阅读 · 2019年3月10日
Nature 一周论文导读 | 2019 年 2 月 21 日
科研圈
14+阅读 · 2019年3月3日
Nature 一周论文导读 | 2019 年 2 月 14 日
科研圈
7+阅读 · 2019年2月24日
Nature 一周论文导读 | 2018 年 5 月 24 日
科研圈
11+阅读 · 2018年5月27日
Nature 一周论文导读 | 2018 年 3 月 29 日
科研圈
12+阅读 · 2018年4月7日
Arxiv
3+阅读 · 2018年10月25日
Efficient and Effective $L_0$ Feature Selection
Arxiv
5+阅读 · 2018年8月7日
Arxiv
4+阅读 · 2018年5月4日
VIP会员
相关VIP内容
【Nature论文】深度网络中的梯度下降复杂度控制
专知会员服务
41+阅读 · 2020年3月9日
【学科交叉】抗生素发现的深度学习方法
专知会员服务
25+阅读 · 2020年2月23日
【论文】结构GANs,Structured GANs,
专知会员服务
15+阅读 · 2020年1月16日
2019->2020必看的十篇「深度学习领域综述」论文
专知会员服务
275+阅读 · 2020年1月1日
斯坦福&谷歌Jeff Dean最新Nature论文:医疗深度学习技术指南
相关资讯
Nature 一周论文导读 | 2019 年 8 月 1 日
科研圈
8+阅读 · 2019年8月11日
Nature 一周论文导读 | 2019 年 6 月 27 日
科研圈
8+阅读 · 2019年7月7日
Nature 一周论文导读 | 2019 年 6 月 6 日
科研圈
7+阅读 · 2019年6月16日
Nature 一周论文导读 | 2019 年 5 月 30 日
科研圈
15+阅读 · 2019年6月9日
Nature 一周论文导读 | 2019 年 4 月 4 日
科研圈
7+阅读 · 2019年4月14日
Nature 一周论文导读 | 2019 年 2 月 28 日
科研圈
13+阅读 · 2019年3月10日
Nature 一周论文导读 | 2019 年 2 月 21 日
科研圈
14+阅读 · 2019年3月3日
Nature 一周论文导读 | 2019 年 2 月 14 日
科研圈
7+阅读 · 2019年2月24日
Nature 一周论文导读 | 2018 年 5 月 24 日
科研圈
11+阅读 · 2018年5月27日
Nature 一周论文导读 | 2018 年 3 月 29 日
科研圈
12+阅读 · 2018年4月7日
Top
微信扫码咨询专知VIP会员