英特尔AI医疗实战手册曝光:医生诊断提速10倍,推理时间减少85%

2019 年 9 月 27 日 量子位
乾明 李根 发自 凹非寺
量子位 报道 | 公众号 QbitAI

AI正在变革(中国)医疗。

最近,一份实战手册刚刚披露,清晰勾勒出了AI如何重塑着医疗行业的各个方面。

而且这份手册展示的不光有趋势分析、技术规划,还展示了诸多案例,是实践实战后的全面总结。

报告撰写者,正是提供了最基础但覆盖全流程的AI能力计算巨头英特尔,可以说是AI医疗的首份权威“剑谱”。

那么,“剑谱”中究竟有什么?又该如何修炼?我们详细拆解。

欲练此功,先看趋势

在AI落地趋势中,医疗已经成为了最大的应用场景。

根据2018年9月中国信息通信研究院Gartner联合发布的《2018 世界人工智能产业蓝皮书》,在中国,医疗健康领域的AI企业在所有AI企业中占比达到了22%,在所有垂直行业中占比最高。

远超排名第二的是金融,占比为14%,而之前AI落地竞争最激烈的安防,当前仅排名第五。

尽管只有如此渗透率,整个AI医疗行业就已经形成了数百亿美元的市场规模,相应投资也在快速增长。

前瞻产业研究院发布的《中国医疗人工智能行业市场前景预测与投资战略规划分析报告》显示,2017年中国医疗人工智能行业市场规模达到136.5亿元,增长率为41%,到2018年,这一数字将会突破200亿元,达到210亿左右。

而且如此趋势并不只是中国独有,在全球范围内,医疗领域的AI落地发展也极为迅猛。

根据 Global Market Insight 发布的报告显示,2019年至2025年期间,医疗保健人工智能市场规模的复合年增长率预计将达到41.7%。

这些数字的背后,不仅有AI技术的进一步发展落地推动,也有医疗市场本身的迫切需求,以及现相关政策的支持。

具体到实际的落地场景中,AI的应用可以说非常广泛,从医学影像、辅助诊断、疾病预测,到健康管理、药物研发等诸多环节,都可发挥关键作用。

但在不同层级的医疗机构中,AI的应用也有所不同,将会呈现出更加多元化的趋势。

在基层医院或第三方体检中心,主要以辅助筛查辅助诊断为主;

在三甲医院等医疗机构,则以提高医生工作效率为主;

在健康管理方面,会以支持单位和个人支付的健康体检为主要方向。

而药物研发这一领域,人工智能的应用则深入许多,通常需要人工智能技术公司与大型药企、医药研究机构通力合作来推进。

当然,将AI应用到医疗领域中,还有不少问题亟待解决,比如数据的数量与质量、模型的通用性和可解释性、以及相应的安全问题等等。

但AI医疗之大势,已经浩浩汤汤,锐不可挡。

其中还有一些“先富起来”的实践者,在各种招式摸索之后,已经趟出一条黄沙百战之路,有总结,可参考,甚至能够学习复刻。

而且更关键的是,还是在英特尔这份实战为主题的报告中,详细披露了AI医疗落地本领如何铸就,还有各方高手,如西门子、东软、解放军总医院等,纷纷给出了“注解”。

所以这究竟是一份怎样的实战报告,我们细细拆解。

AI医疗5种绝技

整个手册,一共介绍了AI在医疗领域的五大应用——覆盖发现病情、病情分析研究、药物研发等?全流程各个方面。

具体来说就是5大绝技。

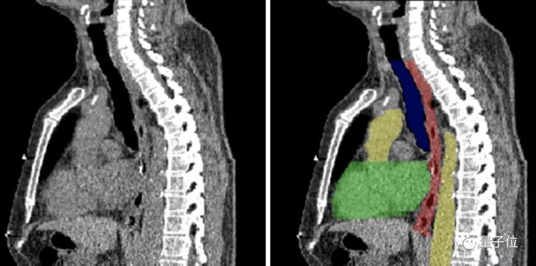
绝技一:图像分割审查病情,用AI推理助力诊断

图像分割,顾名思义,就是将图像切分为多个区域,来简化或改变图像的表现形式,从而让图像变得更加容易解读和分析。

目前,图像分割技术用在了肿瘤和其他病理位置定位、组织体积测量、解剖学研究、计算机辅助手术、治疗方案制定以及临床辅助诊断等多个细分领域。

图像分割的实现方式也不难理解——以图像中的自然边界,例如物体轮廓、线条等,将图像切分为多个区域。

在计算机中,是对图像中的每个像素加上标签,并认为具有相同标签的像素有着某种共同视觉特性,从而来实现分割。

传统中有基于聚类、阈值、边缘、区域等特征的方法。但随着AI技术的发展,基于深度学习的方法效果出众,超过人类,成为最广泛的应用。

这其中,全卷积网络(Fully Convolutional Network, FCN)、U-net 和 V-net 是常见的几种基于深度学习的图像分割方法。

但在医疗领域中,应用最为广泛的则是U-net 。需要分割的图像有其独特性,大多数情况下是针对一个指定器官的成像,而非全身。

器官本身结构比较固定,语义信息并非特别丰富。

所以高级语义信息和低层级特征就显得重要,而 U-net 的 U 型结构和跳跃连接在这种场景中,可以发挥出更大作用。

近年来,U-net 在医学影像 分割领域良好的应用效果,已在很多部署中得到充分了证明。

良好的图像分割模型,能有效帮助医疗机构提高医学影像判读效率,进而增强临床诊疗能力、提升疾病治愈率以及减少病患等待时间,弥补因医疗机构影像科资源缺乏带来的多种问题。

但医疗领域的图像分割对时效性要求更高。

通常情况下,留给病患的黄金诊疗窗口往往只有数十分钟。因此,如果图像分割 AI 应用的推理效率不够高,就有可能延误宝贵的抢救时间。

这就决定想要将图像分割应用到真正的医疗场景中,一方面需要基于不同的图像分割类型对模型进行优化,另外一方面则需要强大稳定的计算能力来完成推理。

怎么进一步落地?英特尔提供了工具,比如OpenVINOTM工具套件以及至强处理器系列产品等等, 能够在在保证 U-net 模型高准确率的同时,推理时间大幅降低85%。

在报告中不仅给出了具体的使用方法,也放出了不少已经落地的案例,比如东软的eStroke溶栓取栓影像平台,西门子的心腔检测和量化模型等等。

(更多详情请见报告,获取方式在文末)

绝技二:AI+云,部署更强医疗影像分析应用

伴随着医疗体系现代化建设,医疗设备也已逐渐普及,即便在基层医疗机构,患者也能进行各类医学影像检查。

虽然医学影像设备和系统可以迅速到位,但“软实力”却无法一蹴而就,这就导致一些边远地区或基层医疗机构, 却常常面临空有设备却无人有能力“看片”的尴尬境地。

也有不少人给出了解决方案,比如将影像文件通过拍照、扫描等方式传给上一级医疗机构。但信息传递准确性以及时效性上,都难有保障,从而造成病情的延误或误判。

云计算技术的快速发展,让这些问题逐渐得以解决。

通过接入云服务,各级医疗机构能够获得跨终端、跨平台的全医技功能应用。

基于云计算的影像协同平台,能够让来自大、中型医疗机构的医学影像专家随时随地处理从不同地区传来的影像数据,并对疑难杂症进行协同会诊,来实现医疗资源的高效共享。

而且, 云计算和大数据技术的互联互通,不仅让各医疗机构可以规避过度检查、重复治疗等问题,还有力地打破了数据孤岛现象,建立无边界医疗全连接,提高医疗服务质量。

与此同时,这也强化了影像数据的积累和分析,也让基于 AI 的医疗影像分析 应用日趋走向成熟,一个过去需要10分钟进行筛查的肺癌前期诊断,在AI的加持下能够达到秒级,而且准确率也在95%以上。

目前,在医疗影像 AI 分析应用中,目标侦测神经网络正被广泛地运用,其通过深度学习的方法,能够对 X 光片、CT 成像等医疗影像进行高效、准确的病灶检测。

典型的目标侦测神经网络有 R-CNN、Fast R-CNN、SPP-NET、R-FCN 等。R-FCN 是 近年来在医疗影像分析领域常见的目标侦测神经网络模型,其典型的结构入下图所示:

关键所在,是如何让云+AI更好的结合起来,实现无缝的协同,更强大的AI病情分析,也需要对主流的AI框架进行优化升级。

实战手册中,在与西安盈谷 Cloud IDT 智能应用、医学影像处理及分析云计算@iMAGES 核心引擎等相结合后,在肺结节诊断等一大批关键场景中建立起“AI+Cloud”的智能辅助诊断系统能力。

(更多详情请见报告,获取方式在文末)

绝技三:病理切片分析,让治疗更准确更快速

病理切片,是为更好病理诊断和预后评估,是一项非常复杂和具有挑战性的工作。

具体的实现方式是将部分病变组织或脏器,经过一系列处理后形成微米级薄片,粘附在玻片上并进行染色处理,然后再交至病理科,病理科医生通过显微镜对病理切片进行镜检,观察病理变化。

想要给出准确的诊断,需要具备多年的读片经验与数万张切片的阅片积累以及具有丰富专业知识。

而且,人工检查不免带有较大主观性,由不同病理科医生对同一患者的病理切片作出的诊断,也经常会存在差异,这可能导致误诊、漏诊等现象产生。

同时,在实际病理切片检查中,患者的病理切片以 40 倍的放大倍数进行数字化后,单个病理切片的像素点可能超过百万像素。

病理科医生需要连续观察多张百万像素级的图片,并且需要注意到图片里微观区域的异常,不仅费时费力,还容易出现错漏。

且较长的阅片时间也会导致病患等待时间长,有可能会造成病情的延误。

这当然可以用AI。

例如,通过ResNet50网络进行的深度学习模型训练,可用于执行肿瘤病理组织的辨识工作。

尽管得到的肿瘤预测热学图依然存在噪声等问题,但已经可以像病理科医生一样,以不同的放 大倍数来检查病理切片图像。

训练出来一个深度网络模型,使其不仅能够具备专业的检测技术,而且还能有超快的检测速度和无限的工作时间,也不是不可能。

利用深度学习的方法来对病理切片图像等做出快速检测,不仅可以极大提升医疗机构 病理检测的生产力,消弭因专业病理科医生不足带来的一系列问题,也能为病患带去更精确、更及时的治疗方案。

目前,基于图像分类和目标检测的病理切片检测 AI 应用,已在众多医疗机构进行了落地部署,并获得良好的反馈。

(更多详情请见报告,获取方式在文末)

绝技四:加速药物研发,从数年缩短到数月

在全球医疗AI市场中,药物研发占据了非常大的份额。根据Global Market Insight的数据统计,这一数字达到35%。

而且,这一领域对新技术的接纳速度最快。

当前, 基于细胞图像的高内涵筛选(HCS)方法是在系统生物学和药物研发领域常用的自动化分析方法之一,也是 AI 技术在药物发现早期环节的重要应用。

主要的工作流程是,通过显微成像法获得的图像信息,分析、获得由遗传或化学处理诱导的细胞表型特征。

在这一流程中,对细胞图像的表型检测、分析和分类是最重要的几个环节。

虽然这些在大量药物研发过程中获得成功应用,但其仍存在许多局限性。

比如,对于对象分割、降维和表型分类,通常需要大量的先验知识对每个测定流程进行定制。执行每一个步骤,都涉及方法的定制以及参数的调整。

而在对整个分析流程的性能调优过程中,如何对 所有参数进行联合优化,以达到性能最优化。

因此,更多基于深度学习的 AI 方法正逐渐被引入基于细胞图像的 HCS 的表型分类工作。

在深度神经网络中,通过一个框架来对图像数据中的分层抽象进行计算和分析,CNN能够自动地从图像中学习和提取特征,因此在对细胞图像的表型预测中具有更好的效率。

一款新药从发现、试验到生产,动辄数年,而基于AI,这一周期的能够缩短到数个月。

这不仅是众多制药企业加速创新,保持核心竞争力的普遍选择,也是让科技造福人类,助力创造健康生活的重要体现。

英特尔在报告中也给出了相应解决方案,比如通过合理的优化方案,大幅加速了诺华等药企的药物发现进程。

(更多详情请见报告,获取方式在文末)

绝技五:图像识别落地医疗,正在成为行业智能化转型关键

医疗行业的智能化转型,并不仅仅在于AI应用到诊断环节或者新药研发环节,也在于对整个行业的重塑。

目前,越来越多的医疗机构正通过规范的信息系统的建设,来打造更智能的医疗信 息化能力,实现患者与医务人员、医疗机构、医疗设备之间的高效互动。

在这样的趋势下,高效率的识别技术颇为重要。

通常情况下,医疗机构使用条码识别、光学字符识别(OCR)识别以及软件识别等技术来执行对患者身份、药品发放等工作。

随着 AI 技术的逐步发展,越来越多的医疗机构开始尝试使用机器学习、深度学习等 AI 方法。

与传统图像识别技术相比,基于深度学习的图像识别技术准确率和工作效率更高,也更利于形成良好的更新机制。

其基于图像特征进行识别,能够一次获取多种类、多数量的图像进行特征识别。

同时也能实现患者身份的实时识别,让药品发放更准确,让医疗检查流程实现了无缝衔接。

进而提升了整个系统识别的效率和准确率,增强医疗机构的工作效率。

解放军总医院,现在正尝试利用信息化手段来辅助减少发药环节的错误。

一共分为三步:

首先,利用计算机视觉技术,在门诊发药窗口对药品的分类和数量进行识别。

其次,将该识别系统与 HIS 系统的处方数据进行自动关联和匹配,通过信息比对来判断待发药品实物是否和处方信息一致。

最后,将结果实时反馈给发药的药师,从而达到降低发药出错率的目的。

虽然实现方式不难,但颇为有效,且具有很好的应用前景。

未来,类似的 AI 技术不仅可应用于药房发药等场景,也可在其他医疗场景中发挥巨大作用,例如手 术耗材发放管理、病患医疗信息管理等。

(更多详情请见报告,获取方式在文末)

算力是内功,工具是心法

以上种种应用,已经在行业中实现了落地,且迸发出了强大的能量。

但只看应用,不过是“外家功夫”,没有强大的“内力”支撑,虽然招式有模有样,但终究难具威力。

对于AI应用来说,算力就是内功。

以上种种应用能够得以在各个场景中落地,需要算力加持。

在这份报告中给出的案例中,都基于英特尔至强金牌6148处理器平台展开。

这一处理器与2017年问世,主打数据处理等AI流程和应用。

发布之时,在内核、缓存、内存、I/O等多项优化的辅助下,每个时钟周期浮点性能提升两倍,8K数据块时压缩速度可达100Gb/s,创造了58项世界纪录。

在上述案例中,至强金牌6148就是各种组织AI医疗落地的神兵利器。

而且,在第二代至强可扩展处理平台上,特别是在深度学习加速技术和傲腾数据中心级持久内存的加成下,也有更好的表现。

同时,英特尔提供的不仅仅只是算力,还有释放算力的“心法“,即软件架构。

比如英特尔Omni-Path 架构、面向英特尔架构优化的Caffe、深度学习加速技术、OpenVINOTM工具套件等产品和技术等等。

算是软硬件结合,有剑法有气功,齐头并进帮助各路AI和医疗英雄加速成为实战落地高手。

毫无疑问,AI落地完全是一场能力考验全面的战争,并非单一某方面突出就能成功。

其中硬件类似兵器宝剑,讲究的是称手实用,规模化落地复制还要兼顾成本。软件像气法,配合有度,入门门槛足够亲民,未来发展还有拓展性。

结语

总之,这份计算巨头英特尔的实战报告,就像岁末年终“开源”的一套剑谱。

有场景、有案例、还有实战方法论,可知别人探索经验,也能量体裁衣结合对照找出自己的复刻路径。

而且环境向好、大趋势加持,软硬件支撑能力也已经就绪,风口正在隐隐作响,落地就能实现更大范围内的价值创创造。

实际上,从完整报告总结来看,AI正在重塑医疗行业,并且已经进入白热化阶段,落地也正在加快。

如果你也是AI“习武之人”,或者是医疗领域的立志变革者,这份报告这份剑谱,不容错过。

最后,附上传送门,愿AI福祉加速普惠更多人:

扫码下方二维码添加量子位小助手(qbitbot11)微信,我们会拉你进群,报告正式版发布之后,我们会第一时间同步给大家:

大会启幕!预见智能科技新未来

量子位MEET 2020智能未来大会启幕,将携手优秀AI企业、杰出科研人员呈现一场高质量行业盛会!详情可点击图片:


榜单征集!三大奖项,锁定AI Top玩家

2019中国人工智能年度评选启幕,将评选领航企业、商业突破人物、最具创新力产品3大奖项,并于MEET 2020大会揭榜,欢迎优秀的AI公司扫码报名!

量子位 QbitAI · 头条号签约作者

վ'ᴗ' ի 追踪AI技术和产品新动态

喜欢就点「好看」吧 ! 



登录查看更多
0

相关内容

图像分割就是把图像分成若干个特定的、具有独特性质的区域并提出感兴趣目标的技术和过程。它是由图像处理到图像分析的关键步骤。 所谓图像分割指的是根据灰度、颜色、纹理和形状等特征把图像划分成若干互不交迭的区域,并使这些特征在同一区域内呈现出相似性,而在不同区域间呈现出明显的差异性。

知识荟萃

精品入门和进阶教程、论文和代码整理等

更多

查看相关VIP内容、论文、资讯等
华为发布《自动驾驶网络解决方案白皮书》
专知会员服务
130+阅读 · 2020年5月22日
2020年中国《知识图谱》行业研究报告,45页ppt
专知会员服务
240+阅读 · 2020年4月18日
《人工智能2020:落地挑战与应对 》56页pdf
专知会员服务
197+阅读 · 2020年3月8日
【德勤】中国人工智能产业白皮书,68页pdf
专知会员服务
309+阅读 · 2019年12月23日
【大数据白皮书 2019】中国信息通信研究院
专知会员服务
138+阅读 · 2019年12月12日
医药零售行业报告
医谷
9+阅读 · 2019年7月8日
2018年AI专业最全报考指南
网易智能菌
11+阅读 · 2018年6月10日
人工智能与机器学习技术在医疗保健行业中的应用
深度学习与NLP
12+阅读 · 2018年3月25日
人工智能与医疗,正成为人工智能时代重头戏
机器之能
6+阅读 · 2017年7月10日
Arxiv
102+阅读 · 2020年3月4日
Arxiv
15+阅读 · 2019年11月26日
Arxiv
6+阅读 · 2019年3月19日
Arxiv
30+阅读 · 2019年3月13日
Arxiv
29+阅读 · 2018年4月6日
VIP会员
相关论文
Top
微信扫码咨询专知VIP会员