【智能医疗】如何利用深度学习诊断心脏病?

2017 年 10 月 3 日 产业智能官 量子位

原作:Jeremy Howard
安妮 编译自 Hacker Noon
量子位 出品 | 公众号 QbitAI

本文作者Jeremy Howard,澳大利亚数据科学家、企业家。

他是技术分享平台fast.ai创始人、机器学习医疗解决方案公司Enlitic创始人及CEO、创业公司FastMail及Optimal Decisions Group的CEO。

此外,出生于1973年的Howard是奇点大学最年轻的教员,也是世界经济论坛的全球青年领袖。他曾连续两年在Kaggle中夺冠,之后担任Kaggle的主席及首席科学家。

这篇文章中,Howard认真谈了谈AI对整个医疗行业的各方从业者的影响。精彩,且不容错过。

 Howard在TED上的演讲

贯穿整个人类史,医学一直是门自带艺术气质的学科。相较于建立一套标准的诊断治疗流程,医学的重点一直在每个医生的技巧和经验上。

虽然近年来,实证医学(EBM)和精准医学的先驱已经向医疗领域注入数据驱动的严谨实践,上面的情景已经改变。但是,大多数医疗观念还是公元前希波克拉底学说的延伸。

 古希腊公元前医师希波克拉底雕像,他建立了健康和疾病的平衡学说

那目前的医疗现状如何呢?事实上,世界人口稠密地区的实际医生数量不足需求十分之一,需要百年时间才能填补。不仅医务人员缺口大,并且医疗水平有限。误诊、延诊和过度诊断造成数百万病患死亡和数百亿资金的流失。

好在我们有科技。技术给医护人员和病患提供所需的准确信息,偏远地区的医务工作者看到世界各地的医疗研究,让发达地区的医生诊断更高效准确,在医疗诊断中更方便地了解病人及亲属。

这股医疗科技的中坚力量就是人工智能。尤其是深度学习,已经成为一种强有力的检测工具,在医学影像领域表现惊人。比如谷歌的视网膜病变诊断系统、斯坦福的AI诊断皮肤病算法、Enlitic将深度学习运用到癌症等结节检测里。

放眼整个AI医疗布局,患者、医务工作者和数据科学家都面临着怎样的机遇和挑战?未来的医疗形势怎样?那就接着往下看——

挑战

标记过的历史数据

有种广为流传的普遍说法是,深度学习算法需要大量数据才有效,这种说法不一定是对的。举例来说,Enlitic的肺癌算法只扫描了1000多名癌症患者的数据,尽管数据集很小,但它具有有效建模的关键特征

首先,数据集中包含了每个病人至少三年的年度扫描数据,在构建诊断算法时,病情随时间的变化情况至关重要。

其次,数据中包含了放射科医生提供的诊断意见,里面包含肺部结节的位置,算法可以从中快速找到重要信息。

最后,数据集中包含确诊肺癌三年后每个病人的康复情况,能够说明患者存活率等信息,帮助构建诊断系统。

这个项目无法显示的信息也可能很实用,比如医生的治疗建议。因为数据集中不包含对病人的治疗干预及病患反应等纵向数据,因此构建的算法只对诊断有效,不牵扯治疗计划。

目前,传统检测方法仍无法发现肺部40毫米大小的结节,因此肺癌患者死亡率高达90%。惊喜的是,Enlitic开发的系统能发现小于5毫米的结节,使患者的生存率能增加10倍。

 图中箭头所指为肺结节(Lung Nodule)

目前,这些医疗数据信息还零散地分布在多个机构中的不同部门中。不知我们还要多久才能实现跨地区医疗记录整合,可以将多年内所有的检测、诊断及治疗措施全部包含在里面。

法律保守主义

不管数据是集中获取还是多来源拼凑起来的,一般来说,数据持有机构对将数据共享给数据科学家还非常谨慎。据司法人员透露,泄露病患隐私可能会终结数据科学家的职业生涯,还会连带机构损失数百万美元。

那么,病人是如何看待分享私人数据的呢?在被问及如果将来可能帮到他人,是否愿意分享自己的数据时,大多数病人欣然同意——特别是听说可能会为自己将来的治疗带来更好选择时。

患者的新机遇

病人可控的数据

患者有个很清晰的机遇可以选择:即从不同渠道收集自己的医疗数据,包括可穿戴设备、自我报告等。数据科学家和机构可以让病人自己选择将数据分享给哪些数据科学家或项目,给他们一个安全的数据环境。作为回报,他们可以为患者提供:

  • 提前享受到医学最新突破的治疗

  • 财物补贴

  • 数据怎样被利用帮助其他患者的信息

这是患有罕见或无法治疗疾病的患者家属的新机会:联合其他情况相似的病人提供各种数据。越多病人加入数据共享,越可能尽快发现疾病的关键信息。

区块链

不同数据的重要性不能一概而论。

罕见疾病患者的数据对治疗至关重要,多年长期观测的数据比短时间内的数据更具价值。这就会带来一些潜在问题,比如有人想通过伪造数据获得报酬。

区块链技术能让医疗数据记录变得清晰可查找。根据这一记录,数据提供者可根据数据实用程度获得奖励。因此,病人提供的数据越完整、准确、相关,报酬就越高。

这也为机构提供了一些有趣的机会。获得病人许可的机构可为研究人员提供完整的数据集,从中获得财物或技术回报。从长期看,病人可以授权机构通过区块链将数据传递给数据科学家。

数据科学家的机会

数据科学家都希望拿数据做些有意义的事,但只有少数人有这样的机会,大部分对口工作集中在广告技术、对冲基金交易和产品推荐领域。

数据科学家的挑战通常包括寻找数据获取途径、了解待解决问题、提供可实现的解决方法。

为了让数据更实用,他们需要进行一系列处理,在实践中这些步骤通常重复多次:

  1. 数据清理

  2. 探索性数据分析(EDA)

  3. 创建验证集

  4. 构建模型

  5. 分析并检验模型

为了完成上述步骤,数据科学家需要一个丰富的分析环境,在里面可以选择他们的工具、库、可视化解决方案。目前,大多数人用的是R语言或Python。

通过提供预装数据和环境,数据科学家能快速找到有意义的数据。也可能是多人独立处理一个问题,根据工作效果分得奖励。

AI医疗来袭,我们应该怎么做

数据收集

我们需要赋予每个病人收集和维护个人医疗数据的能力,包括:

  • 实验室的检测和影像学研究

  • 诊断

  • 用药处方

  • 非处方药和补充剂

  • 其他医疗干预措施

  • 饮食和锻炼记录

  • 家族病史(理想情况下,自动通过链接家庭成员自动维护这些数据)

  • 自我报告进展,比如精力水平、幸福感等。

  • 基因组学和其他测试

这意味着患者数据也可以从医疗服务提供者那下载。不论是来自用户还是服务提供者的数据,都需要在计划开始时下载一次,之后可以用API定期追踪患者情况,或者用各种可穿戴设备的APP获取他们的数据了。

数据分享

每个病患都需要处理他们收到的数据请求,请求一旦增多,病人处理每个单独请求也会很麻烦。在这种情况下,我们可以为病人设置接收规则,自动判断接受、拒绝还是需要人工干预。

每份数据都需用能溯源的方式打上来源标签。当然,一些医疗数据存储量很大,它不一定被存储在病人的设备上。

一旦患者允许项目访问他们的数据,这些数据就需要对研究者公开。研究人员需要的分析环境要足够丰富。这将向他们展示问题的全面信息,并展示如何访问项目数据。

巨大的机会

让病人控制数据,让数据科学家有地方施展拳脚是个不错的想法。

还有一个更大的机会,即当模型可被持续更新时时,将所有的模型组合在一起。每个数据科学家的特征工程步骤可被保存,并提供给后续研究使用(当被复用时,他们将得到奖励)。此外,他们预先训练的模型激活函数可被自动引入新模型预测能力是否提升。

让新数据持续提升现有模型需要所有数据源的含义和格式相同。虽然这很复杂,但有经验的数据产品经理需要有先前经验预先确定数据源格式或语义的更改,并且持续测试模型。

通过复用预先训练的模型,我们从组合数据集中受益,且没有任何逻辑或隐私问题。

这也意味着我们也可以高效攻破数据量稀少的罕见疾病和儿科疾病。在这些情况中,可用预训练模型分析数据,只需要很少的参数就能组合它们。

随着医疗行业的进步,这种收集和分析数据的方法将带来新的见解,并为医务工作者和患者提供所需信息的清晰集合。

—  —



延展阅读:如何利用深度学习诊断心脏病?

1024深度学习

摘要: 本文探讨的是开发一个能够对心脏磁共振成像(MRI)数据集图像中的右心室自动分割的系统。到目前为止,这主要是通过经典的图像处理方法来处理的。而现代深度学习技术有可能提供更可靠、更自动化的解决方案。



人类心脏是一台令人惊叹的机器,它能持续运转长达一个世纪而不失灵。测量心脏功能的关键方法之一是计算其射血分数,即每搏输出量占心室舒张末期容积量的百分比。而测量这个指标的第一步依赖于对心脏图像心室的分割。

当我在纽约从事Insight AI计划时,我决定着手处理右心室分割问题。下面我将简单介绍一下整个过程。

一、问题描述

开发一个能够对心脏磁共振成像(MRI)数据集图像中的右心室自动分割的系统。到目前为止,这主要是通过经典的图像处理方法来处理的。而现代深度学习技术有可能提供更可靠、更自动化的解决方案。

2016年由Kaggle赞助的左心室分割挑战赛中的三名获奖者都采用了深度学习解决方案。然而,分割右心室(RV)则更具挑战性,因为:

在腔内存在信号强度类似于心肌的小梁; RV复杂的新月形;分割根尖图像切片的难度;个体之间的室内形状和强度存在相当大的差异,特别是在不同的疾病病例之间。

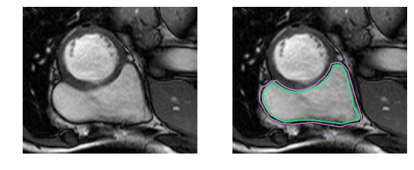
撇开医学术语不谈,要识别RV就更困难了。左心室是一个厚壁圆环,而右心室是一个形状不规则的物体,有薄的壁,有时会与周围的组织混合在一起。这是MRI快照右心室内壁和外壁(心内膜和心外膜)的手工绘制轮廓:

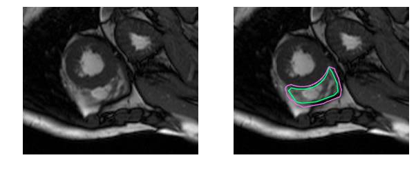
这是一个分割起来很容易的例子。这一个比较困难:

而这对于没有经过训练的眼睛来说完全是一个挑战:

事实上,与左心室相比,医生需要耗费两倍的时间来确定右心室的体积并生成结果。这项工作的目的是建立一个高度准确的右心室自动分割深度学习模型。模型的输出是*分割掩码*,即一个逐像素的掩码,用来表示某个像素是否是右心室的一部分或只是背景。

二、数据集

对于当前这个问题,深度学习需要面对的最大挑战是数据集太小。 数据集(可以访问这里)仅包含了来自于16例患者的243张医师分割的MRI图像。 另外还有3697张未标记的图像,这对于无监督或半监督技术可能会有用,但是我将这些放在了一边,因为这是一个监督学习问题。 图像尺寸为216×256像素。

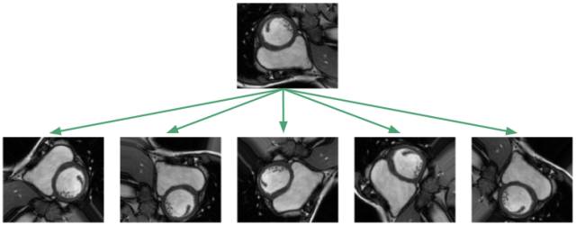
由于数据集过小,人们可能会怀疑无法将其一般化到尚未看到的图像!但是很不幸,医疗上标记过的数据非常昂贵,并且很难获取到。对数据集进行处理的标准程序是对图像应用仿射变换:随机旋转、平移、缩放和剪切。此外,我实现了弹性变形,也就是对图像的局部区域进行拉伸和压缩。

应用这种图像增强算法的目的是为了防止神经网络只记住训练的样例,并强迫其学习RV是一个实心的、月牙形的、方向任意的物体。在我实现的训练框架中,我会随时对数据集应用图像变换算法,这样,神经网络就会在每次训练时看到新的随机变换。

由于大多数像素都属于背景,所以各个种类之间分布不平衡。如果将像素强度归一化在0和1之间,那么在整个数据集中,只有5%的像素属于RV腔的一部分。

在创建损失函数时,我尝试了重加权方案来平衡种类的分布情况,但最终发现未加权平均算法的表现最好。

在训练中,有20%的图像被取出来作为验证集使用。 RV分割挑战赛的组织者有一个单独的测试集,它由另外32个患者的514张MRI图像组成。我提交的预测轮廓就是使用这个测试集进行最终评估的。

还需要有一种方法来对数据集上的模型性能进行量化。RV分割挑战赛的组织者选择使用了戴斯系数。模型会输出一个掩码*X*来描述RV,而戴斯系数将*X*与由医师创建的掩码*Y*通过以下方式进行比较:

计算值是交叉区域与两区域之和的比率的两倍。对于不相交的区域,值为0;如果两区域完全一致,则值为1。

下面我们来看下模型架构:

U-net:基线模型

由于我们只有四周的时间来完成这个项目,所以我想尽快实现一个基线模型并让它运行起来。我选择了由Ronneberger、Fischer和Brox提出的u-net模型,因为它曾在生物医学分割项目中取得过成功,而且它的作者能够通过使用积极的图像增强和逐像重新加权算法并仅基于*30张图片*来训练网络。

u-net架构由一个收缩路径组成,就是将图像折叠成一组高级特征,随后是使用特征信息构建像素分割掩码的扩展路径。 u-net独特的地方就是它的“复制和合并”连接,这些连接能够将信息从早期特征图传递到构建分割掩码网络的后续部分。作者指出,这些连接允许网络同时并入高级特征和像素方面的细节。

我们使用的架构如下所示:

由于我们图像尺寸是u-net作者原本考虑的一半大小,所以我们需要将原始模型中的降采样层数从4个减少到3个来适应网格。我们也要用零来填充卷积,以保持图像的大小不变。该模型是用Keras实现的。

如果没有图像增强,u-net在训练数据集上的戴斯系数能达到0.99(0.01),这意味着该模型具有足够的能力来捕获RV分割问题的复杂性。然而,验证戴斯系数为0.79(0.24),所以u-net过强。图像增强改进了泛化,并将验证精度提高到了0.82(0.23),代价是将训练精度降至0.91(0.06)。

我们如何进一步地降低训练与验证之间的差距呢?正如Andrew Ng在这个很棒的谈话中描述的那样,我们可以用更多的数据(这不太可能)、正则化(dropout和批处理规范化没有效果)、或尝试新的模型架构。

扩张U-net:全局感受野

要对器官图像进行分割,需要了解器官之间排列的相关知识。事实证明,即使在u-net最深层的神经元也只有68×68像素的感受野。网络的任何部分都无法“看到”整个图像。网络不知道人类只有一个右心室。例如,下面的图片中,箭头标记的地方被错误分类了:

我们使用扩张卷积来增加网络的感受野。

在上图中,底层的卷积是规则的3×3卷积。下一层,我们将卷积扩大了2倍,所以在原始图像中它们的有效感受野是7×7。如果顶层卷积扩大4倍,则能产生15×15的感受野。以此类推。

从原理上来说,黄色标记的卷积层被u-net中的扩张卷积所替代。最内层的神经元现在具有了覆盖整个输入图像的感受野。我称之为“扩张u-net”。

在数量上,扩张u-net确实提高了效果,达到了0.85(0.19)的验证戴斯分数,同时保持了0.92(0.08)的训练效果!

扩张DenseNet:一次性多个尺度

这个灵感来自于物理中的张量网络,我决定尝试使用一个新型的图像分割架构,我称之为“扩张DenseNet”。它结合了扩张卷积和DenseNet这两种想法,这样能够大大减少网络的深度和参数。

对于分割而言,我们需要来自多个尺度的全局上下文和信息来产生像素级掩码。如果我们完全依赖于扩张卷积来产生全局上下文,而不是通过降采样来将图像变得更小呢?现在,所有卷积层的大小都相同,我们可以应用DenseNet架构的关键思想,并在所有层之间使用“复制和合并”连接。扩张DenseNet的结果如下图所示:

在DenseNet中,第一个卷积层的输出作为输入馈送到所有的后续层中,第二、第三层也这样。

扩张DenseNet表现不错,在验证集上得到了0.87(0.15)的戴斯得分,训练精度为0.91(0.10),同时保持了极高的参数效率!

三、结果

对人类在RV分割方面的评估给如何对模型的表现进行评估指明了方向。研究人员估计,人类完成RV分割任务的戴斯得分为0.90(0.10)。上面所述的已经发布的模型是完全卷积网络(FCN),测试集上的精度为0.84(0.21)。

我开发的模型在验证集上已经超过了最新的技术水平,并且正在接近人类的表现!然而,真正的评测是在测试集上评估模型的表现。此外,上面引用的数字是针对心内膜的, 那么心外膜的表现如何呢?我在心外膜上训练了一个单独的模型,并将细分轮廓提交给了组织者,希望能获得最好的成绩。

以下是结果,首先是心内膜:

这个是心外膜:

扩张u-net与心内膜上的最新技术水平相当,并超过它在心外膜上的表现。扩张DenseNet紧跟其后,仅有190K个参数。

四、总结

深度学习模型的表现有时候看起来似乎很神奇,但这是精心设计的结果。即使数据集很小,精心挑选的数据增强方案也可以让深度学习模型更好地一般化。

根据这些想法,我创建出了最先进的模型来分割心脏MRI中的右心室。我非常高兴地看到了扩张DenseNet能够在其他图像分割评测上成功运行。

文章的最后,我来谈谈本项目未来可能需要做的工作:

  • 对数据集进行加权,以突出难以分割的根尖切片。

  • 探索多级(本地化、注册、细分)流水线。

  • 在生产系统中优化射血分数。

  • 内存高效的扩张DenseNet:密集连接的网络有一个很大的缺点,它需要占用大量的内存。 而TensorFlow的实现却与众不同,它将我们限制在16GB GPU并且一个批次具有3个图像的8个层上。如果切换到之前提出的记忆高效的实现上的话,就可以创建出更深层次的体系架构来。

原文:https://blog.insightdatascience.com/heart-disease-diagnosis-with-deep-learning-c2d92c27e730?spm=5176.100239.blogcont211489.33.I5X1lu&gi=bf9c62a8e76f

 



新一代技术+商业操作系统:

AI-CPS OS

新一代技术+商业操作系统(AI-CPS OS:云计算+大数据+物联网+区块链+人工智能)分支用来的今天,企业领导者必须了解如何将“技术”全面渗入整个公司、产品等“商业”场景中,利用AI-CPS OS形成数字化+智能化力量,实现行业的重新布局、企业的重新构建和自我的焕然新生。


AI-CPS OS的真正价值并不来自构成技术或功能,而是要以一种传递独特竞争优势的方式将自动化+信息化、智造+产品+服务数据+分析一体化,这种整合方式能够释放新的业务和运营模式。如果不能实现跨功能的更大规模融合,没有颠覆现状的意愿,这些将不可能实现。


领导者无法依靠某种单一战略方法来应对多维度的数字化变革。面对新一代技术+商业操作系统AI-CPS OS颠覆性的数字化+智能化力量,领导者必须在行业、企业与个人这三个层面都保持领先地位:

  1. 重新行业布局:你的世界观要怎样改变才算足够?你必须对行业典范进行怎样的反思?

  2. 重新构建企业:你的企业需要做出什么样的变化?你准备如何重新定义你的公司?

  3. 重新打造自己:你需要成为怎样的人?要重塑自己并在数字化+智能化时代保有领先地位,你必须如何去做?

AI-CPS OS是数字化智能化创新平台,设计思路是将大数据、物联网、区块链和人工智能等无缝整合在云端,可以帮助企业将创新成果融入自身业务体系,实现各个前沿技术在云端的优势协同。AI-CPS OS形成的数字化+智能化力量与行业、企业及个人三个层面的交叉,形成了领导力模式,使数字化融入到领导者所在企业与领导方式的核心位置:

  1. 精细种力量能够使人在更加真实、细致的层面观察与感知现实世界和数字化世界正在发生的一切,进而理解和更加精细地进行产品个性化控制、微观业务场景事件和结果控制。

  2. 智能:模型随着时间(数据)的变化而变化,整个系统就具备了智能(自学习)的能力。

  3. 高效:企业需要建立实时或者准实时的数据采集传输、模型预测和响应决策能力,这样智能就从批量性、阶段性的行为变成一个可以实时触达的行为。

  4. 不确定性:数字化变更颠覆和改变了领导者曾经仰仗的思维方式、结构和实践经验,其结果就是形成了复合不确定性这种颠覆性力量。主要的不确定性蕴含于三个领域:技术、文化、制度。

  5. 边界模糊:数字世界与现实世界的不断融合成CPS不仅让人们所知行业的核心产品、经济学定理和可能性都产生了变化,还模糊了不同行业间的界限。这种效应正在向生态系统、企业、客户、产品快速蔓延。

AI-CPS OS形成的数字化+智能化力量通过三个方式激发经济增长:

  1. 创造虚拟劳动力,承担需要适应性和敏捷性的复杂任务,即“智能自动化”,以区别于传统的自动化解决方案;

  2. 对现有劳动力和实物资产进行有利的补充和提升,提高资本效率

  3. 人工智能的普及,将推动多行业的相关创新,开辟崭新的经济增长空间


给决策制定者和商业领袖的建议:

  1. 超越自动化,开启新创新模式:利用具有自主学习和自我控制能力的动态机器智能,为企业创造新商机;

  2. 迎接新一代信息技术,迎接人工智能:无缝整合人类智慧与机器智能,重新

    评估未来的知识和技能类型;

  3. 制定道德规范:切实为人工智能生态系统制定道德准则,并在智能机器的开

    发过程中确定更加明晰的标准和最佳实践;

  4. 重视再分配效应:对人工智能可能带来的冲击做好准备,制定战略帮助面临

    较高失业风险的人群;

  5. 开发数字化+智能化企业所需新能力:员工团队需要积极掌握判断、沟通及想象力和创造力等人类所特有的重要能力。对于中国企业来说,创造兼具包容性和多样性的文化也非常重要。


子曰:“君子和而不同,小人同而不和。”  《论语·子路》云计算、大数据、物联网、区块链和 人工智能,像君子一般融合,一起体现科技就是生产力。


如果说上一次哥伦布地理大发现,拓展的是人类的物理空间。那么这一次地理大发现,拓展的就是人们的数字空间。在数学空间,建立新的商业文明,从而发现新的创富模式,为人类社会带来新的财富空间。云计算,大数据、物联网和区块链,是进入这个数字空间的船,而人工智能就是那船上的帆,哥伦布之帆!


新一代技术+商业操作系统AI-CPS OS作为新一轮产业变革的核心驱动力,将进一步释放历次科技革命和产业变革积蓄的巨大能量,并创造新的强大引擎。重构生产、分配、交换、消费等经济活动各环节,形成从宏观到微观各领域的智能化新需求,催生新技术、新产品、新产业、新业态、新模式。引发经济结构重大变革,深刻改变人类生产生活方式和思维模式,实现社会生产力的整体跃升。





产业智能官  AI-CPS



用“新一代技术+商业操作系统(AI-CPS OS:云计算+大数据+物联网+区块链+人工智能),在场景中状态感知-实时分析-自主决策-精准执行-学习提升认知计算机器智能实现产业转型升级、DT驱动业务、价值创新创造的产业互联生态链




长按上方二维码关注微信公众号: AI-CPS,更多信息回复:


新技术“云计算”、“大数据”、“物联网”、“区块链”、“人工智能”;新产业:“智能制造”、“智能驾驶”、“智能金融”、“智能城市”、“智能零售”;新模式:“案例分析”、“研究报告”、“商业模式”、“供应链金融”、“财富空间”


点击“阅读原文”,访问AI-CPS OS官网




本文系“产业智能官”(公众号ID:AI-CPS)收集整理,转载请注明出处!



版权声明产业智能官(公众号ID:AI-CPS推荐的文章,除非确实无法确认,我们都会注明作者和来源。部分文章推送时未能与原作者取得联系。若涉及版权问题,烦请原作者联系我们,与您共同协商解决。联系、投稿邮箱:erp_vip@hotmail.com





登录查看更多
8

相关内容

最新《医学图像深度语义分割》综述论文
专知会员服务
97+阅读 · 2020年6月7日
2019->2020必看的十篇「深度学习领域综述」论文
专知会员服务
275+阅读 · 2020年1月1日
医疗知识图谱构建与应用
专知会员服务
390+阅读 · 2019年9月25日
【综述】智能医疗综述,48页论文详述医学AI最新进展
专知会员服务
71+阅读 · 2019年9月1日
为什么医学影像AI已进入「后深度学习时代」?
人工智能与机器学习技术在医疗保健行业中的应用
深度学习与NLP
12+阅读 · 2018年3月25日
Polarity Loss for Zero-shot Object Detection
Arxiv
3+阅读 · 2018年11月22日
Arxiv
6+阅读 · 2018年2月6日
Arxiv
5+阅读 · 2015年9月14日
VIP会员
相关VIP内容
Top
微信扫码咨询专知VIP会员