她缺失一部分大脑却能正常生活,完成研究生学业还精通两种语言

2022 年 4 月 24 日 量子位
梦晨 发自 凹非寺
量子位 | 公众号 QbitAI

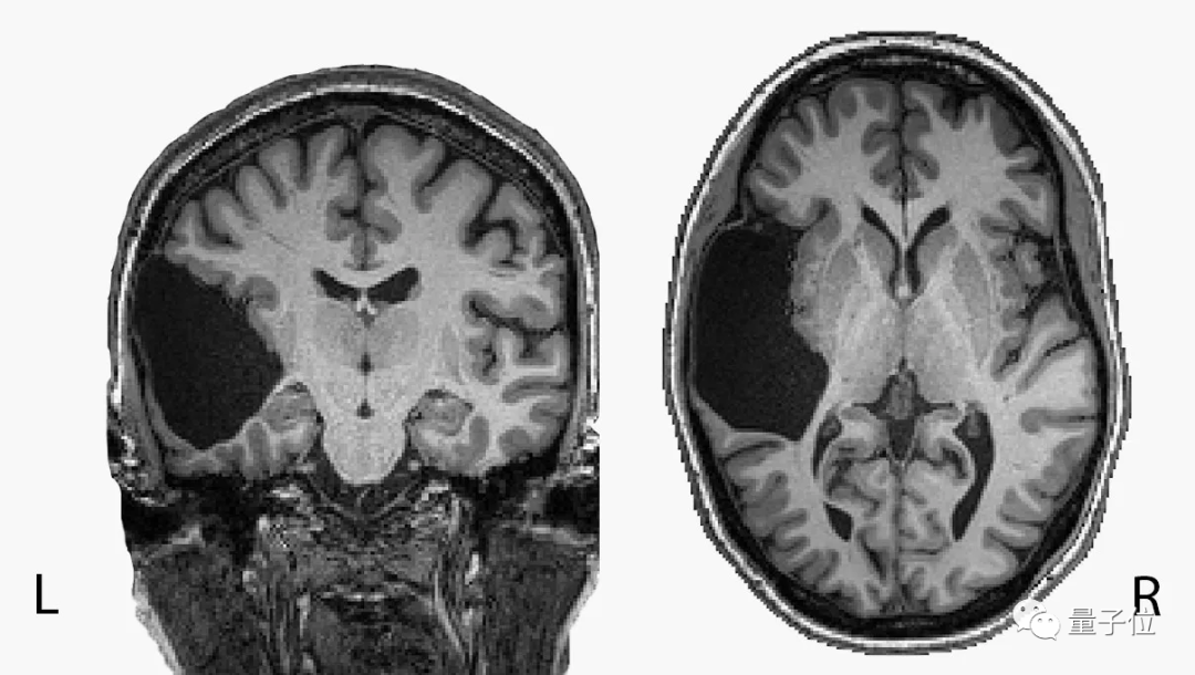
她活到25岁,才发现自己的左脑缺了一大块

本来应该是左颞叶(temporal lobe)的地方现在只有液体,另外脑干也不完整。

但她的生活似乎没有受到任何影响,不仅正常地完成了研究生学业,甚至还精通两门语言,母语英语和俄语。

对于惯用右手的普通人来说,左颞叶正是承担语言理解功能的主要脑区。

同样惯用右手的她,语言能力非但没有受损,还在语言IQ测试中排进前2%。

就这样,她带着缺损的大脑生活到了50多岁。

人生中遇到的很多医生,都在一遍一遍地告诉她,这种情况根本不合理。

其中一位医生甚至对她的特殊感到恼火,对她说你本应时不时发作癫痫,或者词汇量超不过小学5年级水平。

就有一种“学了那么多年的医学理论,怎么到你这就失效了”的感觉。

医生们的这种态度也经常让她不爽。

终于,她在2016年主动联系了MIT的脑科学团队,自愿成为研究对象

一是想弄清楚自己到底怎么回事,同时也很乐于为科学做贡献。

现在, 关于她的第一篇论文终于在线发表,并即将刊登在SCI期刊Neuropsychologia(神经心理学)上。

为了保护隐私,她在论文中化名为EG

揭开大脑语言功能更多秘密

正常情况下,完整的语言能力需要两个脑区合作完成。

位于颞叶的韦尼克区的韦尼克区 (Wernicke’s Area)和位于额叶的布洛卡区 (Broca’s Area)

科学上分别对两个脑区的研究有了不少进展,但对两个脑区如何产生联系、如何合作的还知之甚少。

由于颞叶的韦尼克区的发育要早,有一个假设是:韦尼克区是否是布洛卡区发育的前提?

人类在1-3岁时语言区就会发育成熟,但对婴儿脑部做fMRI扫描很困难。

而EG的出现,正是研究这一假设的绝佳机会。

实验过程也不复杂,准备一些正常的英语句子,和一些能拼读出来但不是真实单词组成的句子。

比如这种:

让EG和其他脑部完整的参与者默读这些句子,测量他们的脑部活动。

结果发现EG的额叶相比两个对照组,对语言刺激没有反应,对算数等其他任务有正常反应。

对照组CG1:母语是英语,CG2:母语非英语

根据EG的实验结果,可初步验得出颞叶语言区是额叶语言区出现的必要条件。

也再次证实,人类的一个半脑足以支撑完整的语言能力

姐姐缺右颞叶,也能正常生活

这篇论文背后,EG身上还有更多谜团待解开。

比如她的语言能力为何高于平均水平?

她左额叶没有产生语言能力的部分,现在被什么能力利用?

另外EG还有一个姐姐与她情况相似,失去的是右颞叶但也能正常生活,这种先天脑区缺损是否与基因相关?

现在,EG和她的姐姐,包括大脑完整的父母和其他兄弟姐妹都参与了后续研究计划。

MIT团队下一步将研究缺失的脑区如何影响她的听力。

历史上,脑科学很多重要发现都是因为一些特殊案例才能取得突破。

比如颇具传奇色彩的菲尼亚斯·盖奇 (Phineas Gage),因在铁路工作时意外被铁棍穿透头颅,依然存活但性情大变。

由此科学家们发现了腹内侧前额叶皮层在情绪产生和控制上的作用。

这位化名EG的志愿者,或许也会成为科学史上一位重要人物。

最后,有网友看完这个故事后表示:

论文地址:
https://www.sciencedirect.com/science/article/abs/pii/S0028393222000434

参考链接:
[1]
https://www.wired.co.uk/article/she-was-missing-a-chunk-of-her-brain-it-didnt-matter

「人工智能」、「智能汽车」微信社群邀你加入!

欢迎关注人工智能、智能汽车的小伙伴们加入我们,与AI从业者交流、切磋,不错过最新行业发展&技术进展。

ps.加好友请务必备注您的姓名-公司-职位哦~


点这里👇关注我,记得标星哦~

一键三连「分享」、「点赞」和「在看」

科技前沿进展日日相见~


登录查看更多
0

相关内容

Eurographics是唯一在欧洲范围内真正的专业计算机图形协会。它汇集了来自世界各地的图形专家,该协会支持其成员推进计算机图形学以及多媒体,科学可视化和人机界面等相关领域的最新技术水平。通过其全球成员资格,EG与美国,日本和其他国家/地区的发展保持着密切联系,从而促进了全球范围内科学技术信息和技能的交流。 官网地址:http://dblp.uni-trier.de/db/conf/eurographics/
专知会员服务
84+阅读 · 2021年7月29日
最新《因果推断导论: 从机器学习视角》新书稿,132页pdf
专知会员服务
279+阅读 · 2020年8月25日
每天少玩手机一小时,生活就能更幸福和健康
大数据文摘
0+阅读 · 2022年4月24日
别忽视新冠轻症,它会损害你的记忆力
量子位
0+阅读 · 2022年1月21日
国家自然科学基金
0+阅读 · 2012年12月31日
国家自然科学基金
0+阅读 · 2011年12月31日
国家自然科学基金
1+阅读 · 2011年12月31日
国家自然科学基金
0+阅读 · 2009年12月31日
VIP会员
相关基金
国家自然科学基金
0+阅读 · 2012年12月31日
国家自然科学基金
0+阅读 · 2011年12月31日
国家自然科学基金
1+阅读 · 2011年12月31日
国家自然科学基金
0+阅读 · 2009年12月31日
Top
微信扫码咨询专知VIP会员