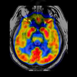
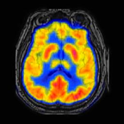
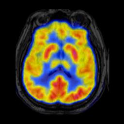
In image fusion, images obtained from different sensors are fused to generate a single image with enhanced information. In recent years, state-of-the-art methods have adopted Convolution Neural Networks (CNNs) to encode meaningful features for image fusion. Specifically, CNN-based methods perform image fusion by fusing local features. However, they do not consider long-range dependencies that are present in the image. Transformer-based models are designed to overcome this by modeling the long-range dependencies with the help of self-attention mechanism. This motivates us to propose a novel Image Fusion Transformer (IFT) where we develop a transformer-based multi-scale fusion strategy that attends to both local and long-range information (or global context). The proposed method follows a two-stage training approach. In the first stage, we train an auto-encoder to extract deep features at multiple scales. In the second stage, multi-scale features are fused using a Spatio-Transformer (ST) fusion strategy. The ST fusion blocks are comprised of a CNN and a transformer branch which capture local and long-range features, respectively. Extensive experiments on multiple benchmark datasets show that the proposed method performs better than many competitive fusion algorithms. Furthermore, we show the effectiveness of the proposed ST fusion strategy with an ablation analysis. The source code is available at: https://github.com/Vibashan/Image-Fusion-Transformer.


翻译:在图像融合中,从不同传感器获得的图像被结合,以生成一个带有强化信息的单一图像。近年来,最先进的方法采用了革命神经网络(CNNs)来为图像融合编码有意义的特征。具体地说,以CNN为基础的方法通过使用本地特征来进行图像融合。然而,它们并不考虑图像中存在的远程依赖性。基于变异器的模型的设计,通过在自我注意机制的帮助下模拟长距离依赖性模型来克服这一点。这促使我们提出一个新的图像融合变异变异变异器(IFT),我们在那里开发一种基于变异器的多尺度融合战略,既针对本地信息,也针对全球背景。拟议的方法采用两阶段培训方法。但在第一阶段,我们不考虑图像中存在的远程依赖性成像。在第二个阶段,利用Spatio-Transformicret(ST)组合战略,将多尺度的图像融合变异形变异器(IFT)(IFT)组成了一个基于变异器的多级的多级组合变异式多级战略,其中分别展示了当地和变异式的变式变式的变式的变式模型,我们展示了多种变式的变式变式的变式的变式的变式的变式的变式的变式的变式的变式模型方法。

2
下载
关闭预览

相关内容

专知会员服务
23+阅读 · 2021年9月20日
专知会员服务
57+阅读 · 2021年6月30日
专知会员服务
36+阅读 · 2021年5月12日
【ICLR2021】彩色化变换器,Colorization Transformer
专知会员服务
10+阅读 · 2021年2月9日
最新《Transformers模型》教程,64页ppt
专知会员服务
324+阅读 · 2020年11月26日
Transformer文本分类代码
专知会员服务
118+阅读 · 2020年2月3日
Stabilizing Transformers for Reinforcement Learning
专知会员服务
60+阅读 · 2019年10月17日
开源书:PyTorch深度学习起步
专知会员服务
51+阅读 · 2019年10月11日
【泡泡一分钟】LIMO:激光和单目相机融合的视觉里程计
泡泡机器人SLAM
13+阅读 · 2019年1月16日
Unsupervised Learning via Meta-Learning
CreateAMind
43+阅读 · 2019年1月3日
【ECCV2018】24篇论文代码实现
专知
17+阅读 · 2018年9月10日
LibRec 精选:基于LSTM的序列推荐实现(PyTorch)
LibRec智能推荐
50+阅读 · 2018年8月27日
Hierarchical Imitation - Reinforcement Learning
CreateAMind
19+阅读 · 2018年5月25日
(TensorFlow)实时语义分割比较研究
机器学习研究会
9+阅读 · 2018年3月12日
gan生成图像at 1024² 的 代码 论文
CreateAMind
4+阅读 · 2017年10月31日
Auto-Encoding GAN
CreateAMind
7+阅读 · 2017年8月4日
Arxiv
17+阅读 · 2021年3月29日
Recurrent Fusion Network for Image Captioning
Arxiv
3+阅读 · 2018年7月31日
VIP会员
相关VIP内容
专知会员服务
23+阅读 · 2021年9月20日
专知会员服务
57+阅读 · 2021年6月30日
专知会员服务
36+阅读 · 2021年5月12日
【ICLR2021】彩色化变换器,Colorization Transformer
专知会员服务
10+阅读 · 2021年2月9日
最新《Transformers模型》教程,64页ppt
专知会员服务
324+阅读 · 2020年11月26日
Transformer文本分类代码
专知会员服务
118+阅读 · 2020年2月3日
Stabilizing Transformers for Reinforcement Learning
专知会员服务
60+阅读 · 2019年10月17日
开源书:PyTorch深度学习起步
专知会员服务
51+阅读 · 2019年10月11日
相关资讯
【泡泡一分钟】LIMO:激光和单目相机融合的视觉里程计
泡泡机器人SLAM
13+阅读 · 2019年1月16日
Unsupervised Learning via Meta-Learning
CreateAMind
43+阅读 · 2019年1月3日
【ECCV2018】24篇论文代码实现
专知
17+阅读 · 2018年9月10日
LibRec 精选:基于LSTM的序列推荐实现(PyTorch)
LibRec智能推荐
50+阅读 · 2018年8月27日
Hierarchical Imitation - Reinforcement Learning
CreateAMind
19+阅读 · 2018年5月25日
(TensorFlow)实时语义分割比较研究
机器学习研究会
9+阅读 · 2018年3月12日
gan生成图像at 1024² 的 代码 论文
CreateAMind
4+阅读 · 2017年10月31日
Auto-Encoding GAN
CreateAMind
7+阅读 · 2017年8月4日
Top
微信扫码咨询专知VIP会员