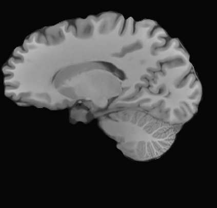
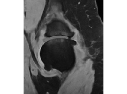
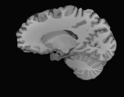
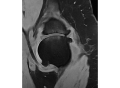
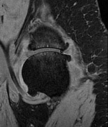
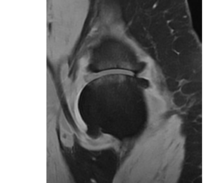
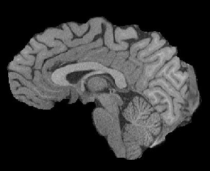
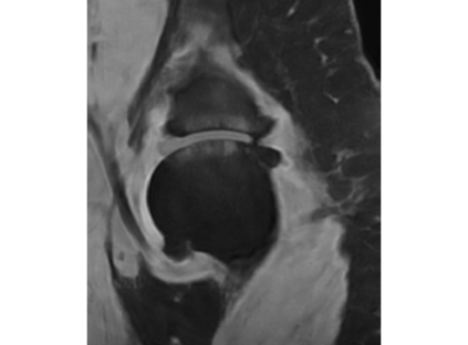
Magnetic resonance (MR) images are often acquired in 2D settings for real clinical applications. The 3D volumes reconstructed by stacking multiple 2D slices have large inter-slice spacing, resulting in lower inter-slice resolution than intra-slice resolution. Super-resolution is a powerful tool to reduce the inter-slice spacing of 3D images to facilitate subsequent visualization and computation tasks. However, most existing works train the super-resolution network at a fixed ratio, which is inconvenient in clinical scenes due to the heterogeneous parameters in MR scanning. In this paper, we propose a single super-resolution network to reduce the inter-slice spacing of MR images at an arbitrarily adjustable ratio. Specifically, we view the input image as a continuous implicit function of coordinates. The intermediate slices of different spacing ratios could be constructed according to the implicit representation up-sampled in the continuous domain. We particularly propose a novel local-aware spatial attention mechanism and long-range residual learning to boost the quality of the output image. The experimental results demonstrate the superiority of our proposed method, even compared to the models trained at a fixed ratio.


翻译:磁共振图像通常在 2D 环境中获得,用于真正的临床应用。通过堆叠多个 2D 切片重建的 3D 体积具有很大的切片间距,导致切片间分辨率低于切片分辨率。超级分辨率是减少3D 图像间隔的有力工具,以便利随后的可视化和计算任务。然而,大多数现有工程都以固定比例对超级分辨率网络进行培训,这在临床场景中不方便,因为MR 扫描的参数各异。在本文中,我们提议建立一个单一的超级分辨率网络,以任意调整比例降低MR 图像的切片间间间距。具体地说,我们将输入图像视为坐标的一个连续的隐含功能。不同间距比率的中间切片可以按照连续域内隐含的显示比例来构造。我们特别提议了一个新的地方觉空间关注机制和远程留置学习,以提高输出图像的质量。实验结果显示我们拟议方法的优越性,即使与所培训的模型相比,也是一种固定比例。

0
下载
关闭预览

相关内容

专知会员服务
61+阅读 · 2020年3月19日
100+篇《自监督学习(Self-Supervised Learning)》论文最新合集
专知会员服务
167+阅读 · 2020年3月18日
Keras François Chollet 《Deep Learning with Python 》, 386页pdf
专知会员服务
161+阅读 · 2019年10月12日
[综述]深度学习下的场景文本检测与识别
专知会员服务
78+阅读 · 2019年10月10日
【哈佛大学商学院课程Fall 2019】机器学习可解释性
专知会员服务
105+阅读 · 2019年10月9日
VCIP 2022 Call for Demos
CCF多媒体专委会
1+阅读 · 2022年6月6日
VCIP 2022 Call for Special Session Proposals
CCF多媒体专委会
1+阅读 · 2022年4月1日
IEEE ICKG 2022: Call for Papers
机器学习与推荐算法
3+阅读 · 2022年3月30日
ACM MM 2022 Call for Papers
CCF多媒体专委会
5+阅读 · 2022年3月29日
IEEE TII Call For Papers
CCF多媒体专委会
3+阅读 · 2022年3月24日
AIART 2022 Call for Papers
CCF多媒体专委会
1+阅读 · 2022年2月13日
【ICIG2021】Latest News & Announcements of the Tutorial
中国图象图形学学会CSIG
3+阅读 · 2021年12月20日
【ICIG2021】Latest News & Announcements of the Plenary Talk2
中国图象图形学学会CSIG
0+阅读 · 2021年11月2日
Hierarchically Structured Meta-learning
CreateAMind
27+阅读 · 2019年5月22日
Transferring Knowledge across Learning Processes
CreateAMind
29+阅读 · 2019年5月18日
国家自然科学基金
0+阅读 · 2015年12月31日
国家自然科学基金
0+阅读 · 2013年12月31日
国家自然科学基金
0+阅读 · 2013年12月31日
国家自然科学基金
0+阅读 · 2012年12月31日
国家自然科学基金
0+阅读 · 2012年12月31日
国家自然科学基金
0+阅读 · 2012年12月31日
国家自然科学基金
0+阅读 · 2011年12月31日
国家自然科学基金
0+阅读 · 2009年12月31日
国家自然科学基金
0+阅读 · 2009年12月31日
Arxiv
13+阅读 · 2019年11月14日
Arxiv
17+阅读 · 2019年3月28日
VIP会员
相关资讯
VCIP 2022 Call for Demos
CCF多媒体专委会
1+阅读 · 2022年6月6日
VCIP 2022 Call for Special Session Proposals
CCF多媒体专委会
1+阅读 · 2022年4月1日
IEEE ICKG 2022: Call for Papers
机器学习与推荐算法
3+阅读 · 2022年3月30日
ACM MM 2022 Call for Papers
CCF多媒体专委会
5+阅读 · 2022年3月29日
IEEE TII Call For Papers
CCF多媒体专委会
3+阅读 · 2022年3月24日
AIART 2022 Call for Papers
CCF多媒体专委会
1+阅读 · 2022年2月13日
【ICIG2021】Latest News & Announcements of the Tutorial
中国图象图形学学会CSIG
3+阅读 · 2021年12月20日
【ICIG2021】Latest News & Announcements of the Plenary Talk2
中国图象图形学学会CSIG
0+阅读 · 2021年11月2日
Hierarchically Structured Meta-learning
CreateAMind
27+阅读 · 2019年5月22日
Transferring Knowledge across Learning Processes
CreateAMind
29+阅读 · 2019年5月18日
相关基金
国家自然科学基金
0+阅读 · 2015年12月31日
国家自然科学基金
0+阅读 · 2013年12月31日
国家自然科学基金
0+阅读 · 2013年12月31日
国家自然科学基金
0+阅读 · 2012年12月31日
国家自然科学基金
0+阅读 · 2012年12月31日
国家自然科学基金
0+阅读 · 2012年12月31日
国家自然科学基金
0+阅读 · 2011年12月31日
国家自然科学基金
0+阅读 · 2009年12月31日
国家自然科学基金
0+阅读 · 2009年12月31日
Top
微信扫码咨询专知VIP会员