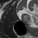
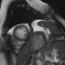
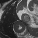
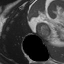
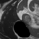
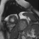
Image registration aims to establish spatial correspondence across pairs, or groups of images, and is a cornerstone of medical image computing and computer-assisted-interventions. Currently, most deep learning-based registration methods assume that the desired deformation fields are globally smooth and continuous, which is not always valid for real-world scenarios, especially in medical image registration (e.g. cardiac imaging and abdominal imaging). Such a global constraint can lead to artefacts and increased errors at discontinuous tissue interfaces. To tackle this issue, we propose a weakly-supervised Deep Discontinuity-preserving Image Registration network (DDIR), to obtain better registration performance and realistic deformation fields. We demonstrate that our method achieves significant improvements in registration accuracy and predicts more realistic deformations, in registration experiments on cardiac magnetic resonance (MR) images from UK Biobank Imaging Study (UKBB), than state-of-the-art approaches.


翻译:图像登记旨在建立双对或一组图像之间的空间通信,并且是医学图像计算和计算机辅助干预的基石。 目前,大多数深层次的基于学习的登记方法假定,理想的变形场是全球平滑和连续的,对于现实世界的情景并不总是有效,特别是在医学图像登记(如心脏成像和腹部成像)方面。这种全球限制可能导致人工制品和不连续组织界面的错误增加。为了解决这一问题,我们提议建立一个监督不力的深相异性保护图像登记网(DDIR),以获得更好的登记性能和现实的变形场。我们证明,我们的方法在登记准确性方面取得了显著改进,并预测了更现实的变形,在英国生物银行成像研究(UKBB)的心脏磁共振图像登记实验中,比在最先进的方法中(UKBBB)更现实的变形。

1
下载
关闭预览

相关内容

图像配准是图像处理研究领域中的一个典型问题和技术难点,其目的在于比较或融合针对同一对象在不同条件下获取的图像,例如图像会来自不同的采集设备,取自不同的时间,不同的拍摄视角等等,有时也需要用到针对不同对象的图像配准问题。具体地说,对于一组图像数据集中的两幅图像,通过寻找一种空间变换把一幅图像映射到另一幅图像,使得两图中对应于空间同一位置的点一一对应起来,从而达到信息融合的目的。 该技术在计算机视觉、医学图像处理以及材料力学等领域都具有广泛的应用。根据具体应用的不同,有的侧重于通过变换结果融合两幅图像,有的侧重于研究变换本身以获得对象的一些力学属性。
综述 | 图像配准 Image registration
计算机视觉life
18+阅读 · 2019年9月12日
计算机 | 入门级EI会议ICVRIS 2019诚邀稿件
Call4Papers
10+阅读 · 2019年6月24日
Hierarchically Structured Meta-learning
CreateAMind
27+阅读 · 2019年5月22日
Transferring Knowledge across Learning Processes
CreateAMind
29+阅读 · 2019年5月18日
Unsupervised Learning via Meta-Learning
CreateAMind
43+阅读 · 2019年1月3日
A Technical Overview of AI & ML in 2018 & Trends for 2019
待字闺中
18+阅读 · 2018年12月24日
Disentangled的假设的探讨
CreateAMind
9+阅读 · 2018年12月10日
disentangled-representation-papers
CreateAMind
26+阅读 · 2018年9月12日
Hierarchical Disentangled Representations
CreateAMind
4+阅读 · 2018年4月15日
Auto-Encoding GAN
CreateAMind
7+阅读 · 2017年8月4日
Arxiv
0+阅读 · 2021年9月9日
Foreground-aware Image Inpainting
Arxiv
4+阅读 · 2019年1月17日
Arxiv
3+阅读 · 2017年11月20日
VIP会员
相关VIP内容
相关资讯
综述 | 图像配准 Image registration
计算机视觉life
18+阅读 · 2019年9月12日
计算机 | 入门级EI会议ICVRIS 2019诚邀稿件
Call4Papers
10+阅读 · 2019年6月24日
Hierarchically Structured Meta-learning
CreateAMind
27+阅读 · 2019年5月22日
Transferring Knowledge across Learning Processes
CreateAMind
29+阅读 · 2019年5月18日
Unsupervised Learning via Meta-Learning
CreateAMind
43+阅读 · 2019年1月3日
A Technical Overview of AI & ML in 2018 & Trends for 2019
待字闺中
18+阅读 · 2018年12月24日
Disentangled的假设的探讨
CreateAMind
9+阅读 · 2018年12月10日
disentangled-representation-papers
CreateAMind
26+阅读 · 2018年9月12日
Hierarchical Disentangled Representations
CreateAMind
4+阅读 · 2018年4月15日
Auto-Encoding GAN
CreateAMind
7+阅读 · 2017年8月4日
Top
微信扫码咨询专知VIP会员