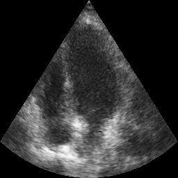
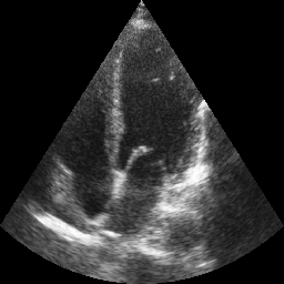
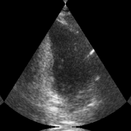
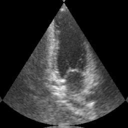
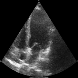
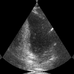
Transthoracic echo is one of the most common means of cardiac studies in the clinical routines. During the echo exam, the sonographer captures a set of standard cross sections (echo views) of the heart. Each 2D echo view cuts through the 3D cardiac geometry via a unique plane. Consequently, different views share some limited information. In this work, we investigate the feasibility of generating a 2D echo view using another view based on adversarial generative models. The objective optimized to train the view-conversion model is based on the ideas introduced by LSGAN, PatchGAN and Conditional GAN (cGAN). The size and length of the left ventricle in the generated target echo view is compared against that of the target ground-truth to assess the validity of the echo view conversion. Results show that there is a correlation of 0.50 between the LV areas and 0.49 between the LV lengths of the generated target frames and the real target frames.


翻译:切换式回声是临床常规中最常见的心脏研究手段之一。在回声测试期间,声学学家捕捉了心脏的一组标准交叉部分(生态视图)。每个二维回声视图通过一个独特的平面通过三维心脏几何法截断。因此,不同观点共享一些有限的信息。在这项工作中,我们利用基于对抗性基因化模型的另一种观点调查产生二维回声视图的可行性。培训视图转换模型的优化目标是基于LSGAN、PatchGAN和Conditional GAN(cGAN)提出的想法。生成的目标回声视图中左心室的大小和长度与目标地面图的反响视图对比,以评估回声转换的有效性。结果显示,产生的目标框架的LV区域与LV长度之间有0.50的关联,实际目标框架之间的LV长度为0.49。

0
下载
关闭预览

相关内容

2019年机器学习框架回顾
专知会员服务
36+阅读 · 2019年10月11日
[综述]深度学习下的场景文本检测与识别
专知会员服务
78+阅读 · 2019年10月10日
Transferring Knowledge across Learning Processes
CreateAMind
29+阅读 · 2019年5月18日
Unsupervised Learning via Meta-Learning
CreateAMind
43+阅读 · 2019年1月3日
A Technical Overview of AI & ML in 2018 & Trends for 2019
待字闺中
18+阅读 · 2018年12月24日
disentangled-representation-papers
CreateAMind
26+阅读 · 2018年9月12日
分布式TensorFlow入门指南
机器学习研究会
4+阅读 · 2017年11月28日
【推荐】用Python/OpenCV实现增强现实
机器学习研究会
15+阅读 · 2017年11月16日
Capsule Networks解析
机器学习研究会
11+阅读 · 2017年11月12日
Image Captioning: Transforming Objects into Words
Arxiv
7+阅读 · 2019年6月14日
Video-to-Video Synthesis
Arxiv
9+阅读 · 2018年8月20日
VIP会员
相关资讯
Top
微信扫码咨询专知VIP会员