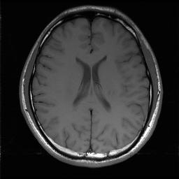
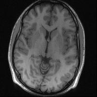
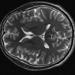
Magnetic resonance imaging serves as an essential tool for clinical diagnosis. However, it suffers from a long acquisition time. The utilization of deep learning, especially the deep generative models, offers aggressive acceleration and better reconstruction in magnetic resonance imaging. Nevertheless, learning the data distribution as prior knowledge and reconstructing the image from limited data remains challenging. In this work, we propose a novel Hankel-k-space generative model (HKGM), which can generate samples from a training set of as little as one k-space data. At the prior learning stage, we first construct a large Hankel matrix from k-space data, then extract multiple structured k-space patches from the large Hankel matrix to capture the internal distribution among different patches. Extracting patches from a Hankel matrix enables the generative model to be learned from redundant and low-rank data space. At the iterative reconstruction stage, it is observed that the desired solution obeys the learned prior knowledge. The intermediate reconstruction solution is updated by taking it as the input of the generative model. The updated result is then alternatively operated by imposing low-rank penalty on its Hankel matrix and data consistency con-strain on the measurement data. Experimental results confirmed that the internal statistics of patches within a single k-space data carry enough information for learning a powerful generative model and provide state-of-the-art reconstruction.


翻译:磁共振成像(HKGM)是临床诊断的基本工具。然而,它却在很长的学习时间里成为临床诊断的基本工具。利用深层次的学习,特别是深层次的基因模型,在磁共振成像中进行积极的加速和更好的重建。然而,将数据传播作为先前的知识学习,从有限的数据中重建图像,仍然具有挑战性。在这项工作中,我们提出一个新的Hankel-k-space基因化模型(HKGM),它能够从一个小于一个k-空间数据的培训中产生样本。在以前的学习阶段,我们首先从 k-空间数据中建立一个大型的Hankel矩阵,然后从大型的Hankel矩阵中提取多个结构化的 k-space补丁,以捕捉到不同部分的内部分布。从Hankel 矩阵中提取补丁,使基因化模型能够从多余和低层数据中学习。在迭接阶段,发现理想的解决方案符合所学知识。中间重建解决方案通过将它作为基因化模型的输入来更新。随后,更新的结果是通过对它的Hankel 矩阵矩阵矩阵矩阵矩阵和数据一致性化模型进行操作操作,同时对它内部的模型进行低的测试,对数据库进行测试,对数据库化数据进行充分进行数据进行测试,对数据库进行测试,对数据库进行测试,对数据库进行测试,对数据进行测试,对数据进行测试,对数据进行测试,对数据进行测试,对数据进行测试,对数据进行测试,对数据进行测试,对数据进行测试,对数据进行测试后进行测试后进行数据进行数据进行测试,对数据进行测试,对数据进行测试,对数据进行数据进行测试,对数据进行测试,对数据进行测试后进行测试后进行数据采集数据进行数据进行测试后进行数据采集数据采集数据采集数据进行数据进行测试,对数据进行测试,对数据采集数据采集数据进行数据进行数据采集数据采集。

0
下载
关闭预览

相关内容

专知会员服务
41+阅读 · 2020年9月6日
抢鲜看!13篇CVPR2020论文链接/开源代码/解读
专知会员服务
50+阅读 · 2020年2月26日
Keras François Chollet 《Deep Learning with Python 》, 386页pdf
专知会员服务
161+阅读 · 2019年10月12日
[综述]深度学习下的场景文本检测与识别
专知会员服务
78+阅读 · 2019年10月10日
【SIGGRAPH2019】TensorFlow 2.0深度学习计算机图形学应用
专知会员服务
41+阅读 · 2019年10月9日
AIART 2022 Call for Papers
CCF多媒体专委会
1+阅读 · 2022年2月13日
【ICIG2021】Check out the hot new trailer of ICIG2021 Symposium8
中国图象图形学学会CSIG
0+阅读 · 2021年11月16日
【ICIG2021】Check out the hot new trailer of ICIG2021 Symposium6
中国图象图形学学会CSIG
2+阅读 · 2021年11月12日
【ICIG2021】Check out the hot new trailer of ICIG2021 Symposium3
中国图象图形学学会CSIG
0+阅读 · 2021年11月9日
【ICIG2021】Check out the hot new trailer of ICIG2021 Symposium2
中国图象图形学学会CSIG
0+阅读 · 2021年11月8日
【ICIG2021】Check out the hot new trailer of ICIG2021 Symposium1
中国图象图形学学会CSIG
0+阅读 · 2021年11月3日
Hierarchically Structured Meta-learning
CreateAMind
27+阅读 · 2019年5月22日
Transferring Knowledge across Learning Processes
CreateAMind
29+阅读 · 2019年5月18日
深度自进化聚类:Deep Self-Evolution Clustering
我爱读PAMI
15+阅读 · 2019年4月13日
Unsupervised Learning via Meta-Learning
CreateAMind
43+阅读 · 2019年1月3日
国家自然科学基金
0+阅读 · 2013年12月31日
国家自然科学基金
0+阅读 · 2013年12月31日
国家自然科学基金
0+阅读 · 2011年12月31日
国家自然科学基金
0+阅读 · 2011年12月31日
国家自然科学基金
0+阅读 · 2011年12月31日
国家自然科学基金
0+阅读 · 2011年12月31日
国家自然科学基金
0+阅读 · 2009年12月31日
Arxiv
1+阅读 · 2022年10月6日
Arxiv
0+阅读 · 2022年10月6日
Arxiv
0+阅读 · 2022年9月30日
Arxiv
11+阅读 · 2018年3月23日
VIP会员
相关资讯
AIART 2022 Call for Papers
CCF多媒体专委会
1+阅读 · 2022年2月13日
【ICIG2021】Check out the hot new trailer of ICIG2021 Symposium8
中国图象图形学学会CSIG
0+阅读 · 2021年11月16日
【ICIG2021】Check out the hot new trailer of ICIG2021 Symposium6
中国图象图形学学会CSIG
2+阅读 · 2021年11月12日
【ICIG2021】Check out the hot new trailer of ICIG2021 Symposium3
中国图象图形学学会CSIG
0+阅读 · 2021年11月9日
【ICIG2021】Check out the hot new trailer of ICIG2021 Symposium2
中国图象图形学学会CSIG
0+阅读 · 2021年11月8日
【ICIG2021】Check out the hot new trailer of ICIG2021 Symposium1
中国图象图形学学会CSIG
0+阅读 · 2021年11月3日
Hierarchically Structured Meta-learning
CreateAMind
27+阅读 · 2019年5月22日
Transferring Knowledge across Learning Processes
CreateAMind
29+阅读 · 2019年5月18日
深度自进化聚类:Deep Self-Evolution Clustering
我爱读PAMI
15+阅读 · 2019年4月13日
Unsupervised Learning via Meta-Learning
CreateAMind
43+阅读 · 2019年1月3日
相关基金
国家自然科学基金
0+阅读 · 2013年12月31日
国家自然科学基金
0+阅读 · 2013年12月31日
国家自然科学基金
0+阅读 · 2011年12月31日
国家自然科学基金
0+阅读 · 2011年12月31日
国家自然科学基金
0+阅读 · 2011年12月31日
国家自然科学基金
0+阅读 · 2011年12月31日
国家自然科学基金
0+阅读 · 2009年12月31日
Top
微信扫码咨询专知VIP会员