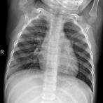
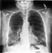
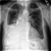
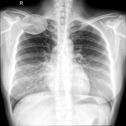
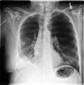
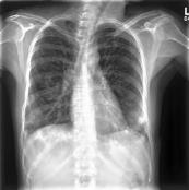
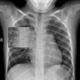
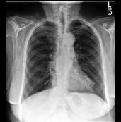
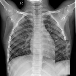
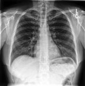
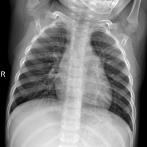
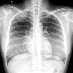
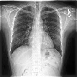
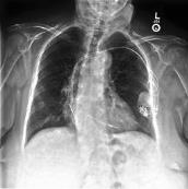
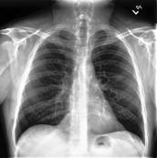
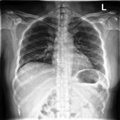
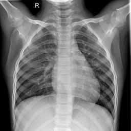
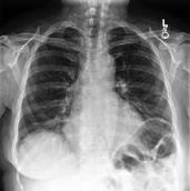
Large numbers of labeled medical images are essential for the accurate detection of anomalies, but manual annotation is labor-intensive and time-consuming. Self-supervised learning (SSL) is a training method to learn data-specific features without manual annotation. Several SSL-based models have been employed in medical image anomaly detection. These SSL methods effectively learn representations in several field-specific images, such as natural and industrial product images. However, owing to the requirement of medical expertise, typical SSL-based models are inefficient in medical image anomaly detection. We present an SSL-based model that enables anatomical structure-based unsupervised anomaly detection (UAD). The model employs the anatomy-aware pasting (AnatPaste) augmentation tool. AnatPaste employs a threshold-based lung segmentation pretext task to create anomalies in normal chest radiographs, which are used for model pretraining. These anomalies are similar to real anomalies and help the model recognize them. We evaluate our model on three opensource chest radiograph datasets. Our model exhibit area under curves (AUC) of 92.1%, 78.7%, and 81.9%, which are the highest among existing UAD models. This is the first SSL model to employ anatomical information as a pretext task. AnatPaste can be applied in various deep learning models and downstream tasks. It can be employed for other modalities by fixing appropriate segmentation. Our code is publicly available at: https://github.com/jun-sato/AnatPaste.


翻译:大量贴有标签的医学图像对于准确检测异常现象至关重要,但人工注解是劳动密集型和耗费时间的。自监学习(SSL)是一种培训方法,用于在不人工注解的情况下学习特定数据特征。一些基于SSL的模型被用于医学图像异常现象的检测。这些SSL方法有效地学习了多个特定领域图像的表解,如自然和工业产品图像。然而,由于医学专业知识的要求,基于SSL的典型模型在医学图像异常现象检测方面效率低下。我们展示了一个基于SSL的模型,可以进行基于解剖结构的、不受监督的异常现象检测(UAAD)。该模型使用解剖-觉粘贴(AnatPaste)增强工具。基于SSL的几种模型用于医学图像异常现象。这些异常现象与真正的异常相似,有助于模型识别这些异常现象。我们在三种开源的胸腔辐射数据集中可以使用模型,在基于解剖面结构结构的曲线下(AUSC),在92.1号中使用解析(Anal-SL)粘度图解为最高格式。

0
下载
关闭预览

相关内容

ACM/IEEE第23届模型驱动工程语言和系统国际会议,是模型驱动软件和系统工程的首要会议系列,由ACM-SIGSOFT和IEEE-TCSE支持组织。自1998年以来,模型涵盖了建模的各个方面,从语言和方法到工具和应用程序。模特的参加者来自不同的背景,包括研究人员、学者、工程师和工业专业人士。MODELS 2019是一个论坛,参与者可以围绕建模和模型驱动的软件和系统交流前沿研究成果和创新实践经验。今年的版本将为建模社区提供进一步推进建模基础的机会,并在网络物理系统、嵌入式系统、社会技术系统、云计算、大数据、机器学习、安全、开源等新兴领域提出建模的创新应用以及可持续性。 官网链接:http://www.modelsconference.org/
100+篇《自监督学习(Self-Supervised Learning)》论文最新合集
专知会员服务
167+阅读 · 2020年3月18日
强化学习最新教程,17页pdf
专知会员服务
182+阅读 · 2019年10月11日
[综述]深度学习下的场景文本检测与识别
专知会员服务
78+阅读 · 2019年10月10日
【哈佛大学商学院课程Fall 2019】机器学习可解释性
专知会员服务
105+阅读 · 2019年10月9日
【SIGGRAPH2019】TensorFlow 2.0深度学习计算机图形学应用
专知会员服务
41+阅读 · 2019年10月9日
【ICIG2021】Check out the hot new trailer of ICIG2021 Symposium9
中国图象图形学学会CSIG
0+阅读 · 2021年12月17日
【ICIG2021】Check out the hot new trailer of ICIG2021 Symposium8
中国图象图形学学会CSIG
0+阅读 · 2021年11月16日
【ICIG2021】Check out the hot new trailer of ICIG2021 Symposium4
中国图象图形学学会CSIG
0+阅读 · 2021年11月10日
【ICIG2021】Check out the hot new trailer of ICIG2021 Symposium1
中国图象图形学学会CSIG
0+阅读 · 2021年11月3日
Hierarchically Structured Meta-learning
CreateAMind
27+阅读 · 2019年5月22日
Transferring Knowledge across Learning Processes
CreateAMind
29+阅读 · 2019年5月18日
Unsupervised Learning via Meta-Learning
CreateAMind
43+阅读 · 2019年1月3日
A Technical Overview of AI & ML in 2018 & Trends for 2019
待字闺中
18+阅读 · 2018年12月24日
ResNet, AlexNet, VGG, Inception:各种卷积网络架构的理解
全球人工智能
20+阅读 · 2017年12月17日
【推荐】ResNet, AlexNet, VGG, Inception:各种卷积网络架构的理解
机器学习研究会
20+阅读 · 2017年12月17日
国家自然科学基金
0+阅读 · 2015年12月31日
国家自然科学基金
0+阅读 · 2013年12月31日
国家自然科学基金
0+阅读 · 2012年12月31日
国家自然科学基金
0+阅读 · 2011年12月31日
国家自然科学基金
0+阅读 · 2011年12月31日
国家自然科学基金
0+阅读 · 2011年12月31日
国家自然科学基金
0+阅读 · 2011年12月31日
Arxiv
20+阅读 · 2020年6月8日
VIP会员
相关资讯
【ICIG2021】Check out the hot new trailer of ICIG2021 Symposium9
中国图象图形学学会CSIG
0+阅读 · 2021年12月17日
【ICIG2021】Check out the hot new trailer of ICIG2021 Symposium8
中国图象图形学学会CSIG
0+阅读 · 2021年11月16日
【ICIG2021】Check out the hot new trailer of ICIG2021 Symposium4
中国图象图形学学会CSIG
0+阅读 · 2021年11月10日
【ICIG2021】Check out the hot new trailer of ICIG2021 Symposium1
中国图象图形学学会CSIG
0+阅读 · 2021年11月3日
Hierarchically Structured Meta-learning
CreateAMind
27+阅读 · 2019年5月22日
Transferring Knowledge across Learning Processes
CreateAMind
29+阅读 · 2019年5月18日
Unsupervised Learning via Meta-Learning
CreateAMind
43+阅读 · 2019年1月3日
A Technical Overview of AI & ML in 2018 & Trends for 2019
待字闺中
18+阅读 · 2018年12月24日
ResNet, AlexNet, VGG, Inception:各种卷积网络架构的理解
全球人工智能
20+阅读 · 2017年12月17日
【推荐】ResNet, AlexNet, VGG, Inception:各种卷积网络架构的理解
机器学习研究会
20+阅读 · 2017年12月17日
相关基金
国家自然科学基金
0+阅读 · 2015年12月31日
国家自然科学基金
0+阅读 · 2013年12月31日
国家自然科学基金
0+阅读 · 2012年12月31日
国家自然科学基金
0+阅读 · 2011年12月31日
国家自然科学基金
0+阅读 · 2011年12月31日
国家自然科学基金
0+阅读 · 2011年12月31日
国家自然科学基金
0+阅读 · 2011年12月31日
Top
微信扫码咨询专知VIP会员