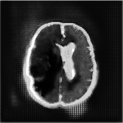
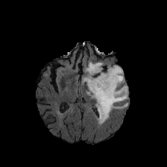
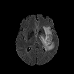
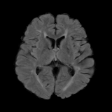
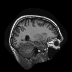
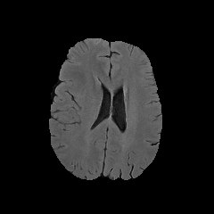
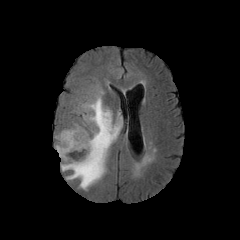
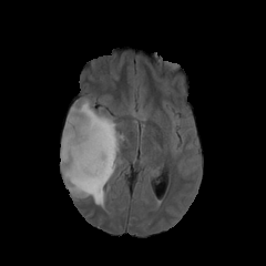
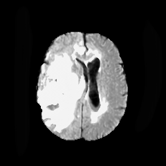
We introduce a neural network framework, utilizing adversarial learning to partition an image into two cuts, with one cut falling into a reference distribution provided by the user. This concept tackles the task of unsupervised anomaly segmentation, which has attracted increasing attention in recent years due to their broad applications in tasks with unlabelled data. This Adversarial-based Selective Cutting network (ASC-Net) bridges the two domains of cluster-based deep learning methods and adversarial-based anomaly/novelty detection algorithms. We evaluate this unsupervised learning model on BraTS brain tumor segmentation, LiTS liver lesion segmentation, and MS-SEG2015 segmentation tasks. Compared to existing methods like the AnoGAN family, our model demonstrates tremendous performance gains in unsupervised anomaly segmentation tasks. Although there is still room to further improve performance compared to supervised learning algorithms, the promising experimental results shed light on building an unsupervised learning algorithm using user-defined knowledge.


翻译:我们引入了神经网络框架, 利用对抗性学习将图像分割成两块, 其中一条切入到用户提供的参考分布中。 这个概念涉及不受监督的异常分化任务, 近几年来,由于在使用无标签数据的任务中应用广泛, 这个问题引起了越来越多的关注。 这个以反向为基础的选择性切除网络( ASC-Net) 连接了基于集群的深层次学习方法和基于对抗的异常/新颖检测算法的两大领域。 我们评估了这个关于BRATS脑分离、 LITS 肝脏分化和MS-SEG2015 分化任务的不受监督的学习模型。 与像 AnoGAN 家族这样的现有方法相比, 我们的模式展示了在未经监督的异常分化任务中的巨大绩效收益。 尽管与受监督的学习算法相比仍有进一步改进空间, 但有希望的实验结果为利用用户定义的知识建立一种不受监督的学习算法提供了线索。

0
下载
关闭预览

相关内容

专知会员服务
84+阅读 · 2020年9月27日
【Google】平滑对抗训练,Smooth Adversarial Training
专知会员服务
49+阅读 · 2020年7月4日
【ICLR-2020】网络反卷积,NETWORK DECONVOLUTION
专知会员服务
39+阅读 · 2020年2月21日
[综述]深度学习下的场景文本检测与识别
专知会员服务
78+阅读 · 2019年10月10日
强化学习的Unsupervised Meta-Learning
CreateAMind
18+阅读 · 2019年1月7日
无监督元学习表示学习
CreateAMind
27+阅读 · 2019年1月4日
Unsupervised Learning via Meta-Learning
CreateAMind
43+阅读 · 2019年1月3日
《pyramid Attention Network for Semantic Segmentation》
统计学习与视觉计算组
44+阅读 · 2018年8月30日
Hierarchical Disentangled Representations
CreateAMind
4+阅读 · 2018年4月15日
【推荐】ResNet, AlexNet, VGG, Inception:各种卷积网络架构的理解
机器学习研究会
20+阅读 · 2017年12月17日
Adversarial Variational Bayes: Unifying VAE and GAN 代码
CreateAMind
7+阅读 · 2017年10月4日
【推荐】全卷积语义分割综述
机器学习研究会
19+阅读 · 2017年8月31日
Auto-Encoding GAN
CreateAMind
7+阅读 · 2017年8月4日
Arxiv
4+阅读 · 2018年9月25日
Arxiv
9+阅读 · 2018年1月4日
VIP会员
相关资讯
强化学习的Unsupervised Meta-Learning
CreateAMind
18+阅读 · 2019年1月7日
无监督元学习表示学习
CreateAMind
27+阅读 · 2019年1月4日
Unsupervised Learning via Meta-Learning
CreateAMind
43+阅读 · 2019年1月3日
《pyramid Attention Network for Semantic Segmentation》
统计学习与视觉计算组
44+阅读 · 2018年8月30日
Hierarchical Disentangled Representations
CreateAMind
4+阅读 · 2018年4月15日
【推荐】ResNet, AlexNet, VGG, Inception:各种卷积网络架构的理解
机器学习研究会
20+阅读 · 2017年12月17日
Adversarial Variational Bayes: Unifying VAE and GAN 代码
CreateAMind
7+阅读 · 2017年10月4日
【推荐】全卷积语义分割综述
机器学习研究会
19+阅读 · 2017年8月31日
Auto-Encoding GAN
CreateAMind
7+阅读 · 2017年8月4日
Top
微信扫码咨询专知VIP会员