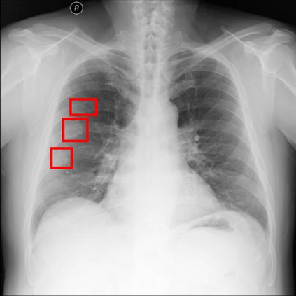
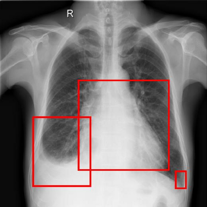
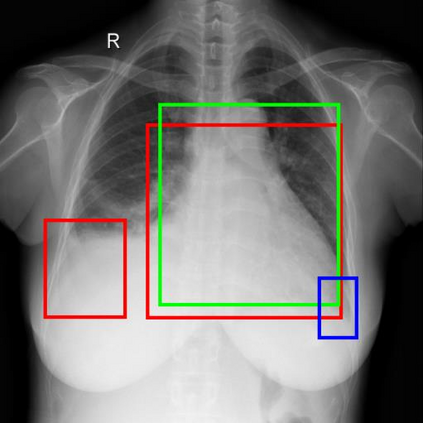
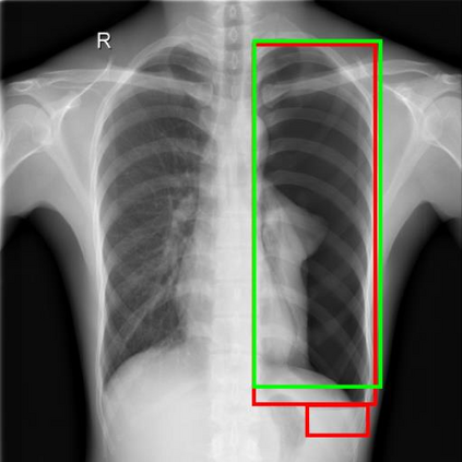
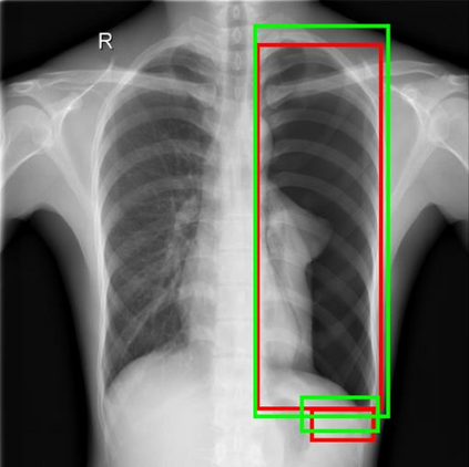
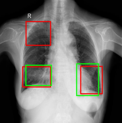
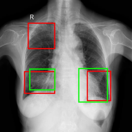
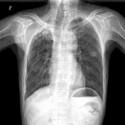
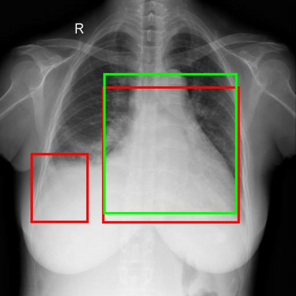
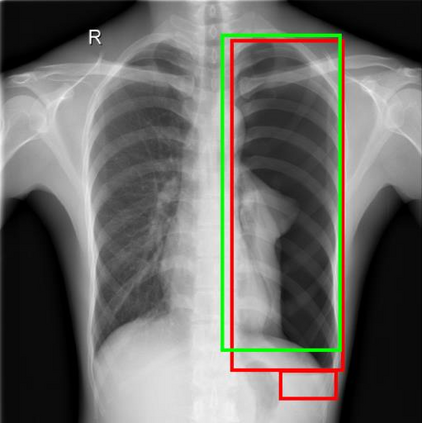
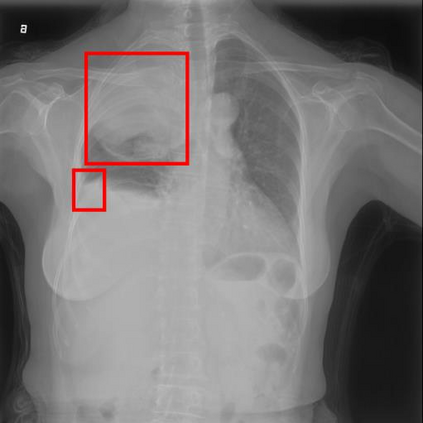
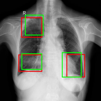
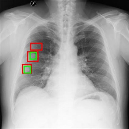
Chest X-ray (CXR) is the most typical diagnostic X-ray examination for screening various thoracic diseases. Automatically localizing lesions from CXR is promising for alleviating radiologists' reading burden. However, CXR datasets are often with massive image-level annotations and scarce lesion-level annotations, and more often, without annotations. Thus far, unifying different supervision granularities to develop thoracic disease detection algorithms has not been comprehensively addressed. In this paper, we present OXnet, the first deep omni-supervised thoracic disease detection network to our best knowledge that uses as much available supervision as possible for CXR diagnosis. We first introduce supervised learning via a one-stage detection model. Then, we inject a global classification head to the detection model and propose dual attention alignment to guide the global gradient to the local detection branch, which enables learning lesion detection from image-level annotations. We also impose intra-class compactness and inter-class separability with global prototype alignment to further enhance the global information learning. Moreover, we leverage a soft focal loss to distill the soft pseudo-labels of unlabeled data generated by a teacher model. Extensive experiments on a large-scale chest X-ray dataset show the proposed OXnet outperforms competitive methods with significant margins. Further, we investigate omni-supervision under various annotation granularities and corroborate OXnet is a promising choice to mitigate the plight of annotation shortage for medical image diagnosis.


翻译:切斯特X射线( CXR) 是用于筛查各种色素疾病的最典型的诊断性X射线检查。 自动定位CXR的病变对减轻放射学家的阅读负担很有希望。 但是, CXR数据集往往具有大量的图像水平说明和稀缺的病变水平说明, 更经常地, 没有附加说明。 到目前为止, 还没有全面处理统一不同的监督颗粒, 以开发色素疾病检测算法 。 在本文中, 我们提出OXnet, 这是首个深入的全美监督的色素疾病检测网络, 给我们最好的知识, 利用尽可能多的现有监督来进行CXR诊断。 我们首先通过一个一阶段检测模型引入受监督的学习。 然后, 我们向检测模型注入一个全球分类头, 以引导全球梯度到本地检测分支, 从而能够从图像水平说明中学习色素检测。 我们还将内部的缩压和跨级的血压直位直线性血病变异检测网络网络网络网络网络, 进一步提升全球信息学习。 此外, 我们利用软式的轨迹缩缩缩缩缩缩X实验模型, 将X 模拟模拟模拟模拟模拟模拟模拟模拟模拟 模拟模拟模拟模拟模拟模拟模拟模拟模拟模拟模拟模拟模拟模拟模拟模拟模拟模拟模拟模拟模拟模拟模拟 模拟 模拟 模拟 模拟 模拟 模拟 模拟 模拟 模拟 模拟 模拟 模拟 模拟 模拟 模拟 模拟 模拟 模拟 模拟 模拟 模拟 模拟 模拟 模拟 模拟 模拟 模拟 模拟 模拟 模拟 模拟 模拟 模拟 模拟 模拟 模拟 模拟 模拟 模拟 模拟 模拟 模拟 模拟 模拟 模拟 模拟 模拟 模拟 模拟 模拟 模拟 模拟 模拟 模拟 模拟 模拟 模拟 模拟 模拟 模拟 模拟 模拟 模拟 模拟 模拟 模拟 模拟 模拟 模拟 模拟 模拟 模拟 模拟 模拟 模拟 模拟 模拟 模拟 模拟 模拟 模拟 模拟 模拟 模拟 模拟 模拟 模拟 模拟 模拟 模拟 模拟 模拟 模拟 模拟 模拟 模拟 模拟 模拟 模拟 模拟 模拟 模拟 模拟 模拟 模拟 模拟 模拟 模拟 模拟 模拟 模拟 模拟 模拟 模拟

0
下载
关闭预览

相关内容

【ICLR-2020】网络反卷积,NETWORK DECONVOLUTION
专知会员服务
39+阅读 · 2020年2月21日
【SIGGRAPH2019】TensorFlow 2.0深度学习计算机图形学应用
专知会员服务
41+阅读 · 2019年10月9日
最新BERT相关论文清单,BERT-related Papers
专知会员服务
53+阅读 · 2019年9月29日
Hierarchically Structured Meta-learning
CreateAMind
27+阅读 · 2019年5月22日
Transferring Knowledge across Learning Processes
CreateAMind
29+阅读 · 2019年5月18日
Keras实现基于MSCNN的人群计数
AI科技评论
8+阅读 · 2019年2月11日
强化学习的Unsupervised Meta-Learning
CreateAMind
18+阅读 · 2019年1月7日
Unsupervised Learning via Meta-Learning
CreateAMind
43+阅读 · 2019年1月3日
Disentangled的假设的探讨
CreateAMind
9+阅读 · 2018年12月10日
disentangled-representation-papers
CreateAMind
26+阅读 · 2018年9月12日
Hierarchical Disentangled Representations
CreateAMind
4+阅读 · 2018年4月15日
整合全部顶尖目标检测算法:FAIR开源Detectron
炼数成金订阅号
6+阅读 · 2018年1月25日
Auto-Encoding GAN
CreateAMind
7+阅读 · 2017年8月4日
Arxiv
9+阅读 · 2021年3月3日
Arxiv
5+阅读 · 2016年12月29日
VIP会员
相关VIP内容
【ICLR-2020】网络反卷积,NETWORK DECONVOLUTION
专知会员服务
39+阅读 · 2020年2月21日
【SIGGRAPH2019】TensorFlow 2.0深度学习计算机图形学应用
专知会员服务
41+阅读 · 2019年10月9日
最新BERT相关论文清单,BERT-related Papers
专知会员服务
53+阅读 · 2019年9月29日
相关资讯
Hierarchically Structured Meta-learning
CreateAMind
27+阅读 · 2019年5月22日
Transferring Knowledge across Learning Processes
CreateAMind
29+阅读 · 2019年5月18日
Keras实现基于MSCNN的人群计数
AI科技评论
8+阅读 · 2019年2月11日
强化学习的Unsupervised Meta-Learning
CreateAMind
18+阅读 · 2019年1月7日
Unsupervised Learning via Meta-Learning
CreateAMind
43+阅读 · 2019年1月3日
Disentangled的假设的探讨
CreateAMind
9+阅读 · 2018年12月10日
disentangled-representation-papers
CreateAMind
26+阅读 · 2018年9月12日
Hierarchical Disentangled Representations
CreateAMind
4+阅读 · 2018年4月15日
整合全部顶尖目标检测算法:FAIR开源Detectron
炼数成金订阅号
6+阅读 · 2018年1月25日
Auto-Encoding GAN
CreateAMind
7+阅读 · 2017年8月4日
Top
微信扫码咨询专知VIP会员