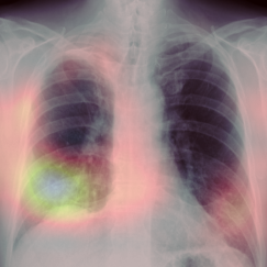
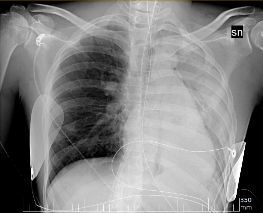
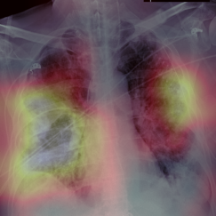
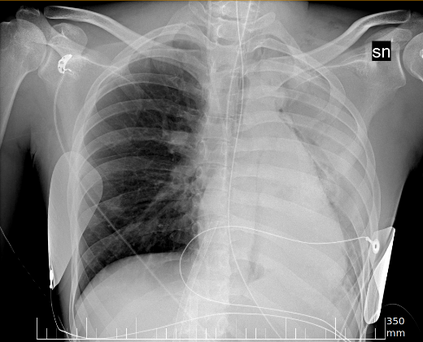
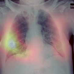
Early screening of patients is a critical issue in order to assess immediate and fast responses against the spread of COVID-19. The use of nasopharyngeal swabs has been considered the most viable approach; however, the result is not immediate or, in the case of fast exams, sufficiently accurate. Using Chest X-Ray (CXR) imaging for early screening potentially provides faster and more accurate response; however, diagnosing COVID from CXRs is hard and we should rely on deep learning support, whose decision process is, on the other hand, "black-boxed" and, for such reason, untrustworthy. We propose an explainable two-step diagnostic approach, where we first detect known pathologies (anomalies) in the lungs, on top of which we diagnose the illness. Our approach achieves promising performance in COVID detection, compatible with expert human radiologists. All of our experiments have been carried out bearing in mind that, especially for clinical applications, explainability plays a major role for building trust in machine learning algorithms.


翻译:早期筛查病人是一个关键问题,以便评估对COVID-19扩散的即时和快速反应。使用鼻涕喉片被认为是最可行的方法;然而,结果不是即时的,或者在快速检查的情况下,是足够准确的。使用Chest X-Ray(CXR)成像进行早期筛查可能提供更快和更准确的反应;然而,从CXRs对COVID进行诊断是很困难的,我们应该依靠深层次的学习支持,而另一方面,这种支持的决策过程是“黑箱”的,因此,不可信。我们提出了一个可以解释的两步诊断方法,我们首先在肺部检测已知的病症(异常症),然后诊断疾病。我们的方法在COVID检测方面取得了良好的表现,与专家人类放射学家相兼容。我们进行的所有实验都铭记着,特别是临床应用,解释在建立机器学习算法的信任方面起着主要作用。

0
下载
关闭预览

相关内容

专知会员服务
124+阅读 · 2020年9月8日
【机器推理可解释性】Machine Reasoning Explainability
专知会员服务
35+阅读 · 2020年9月3日
可解释强化学习,Explainable Reinforcement Learning: A Survey
专知会员服务
132+阅读 · 2020年5月14日
Keras François Chollet 《Deep Learning with Python 》, 386页pdf
专知会员服务
161+阅读 · 2019年10月12日
【哈佛大学商学院课程Fall 2019】机器学习可解释性
专知会员服务
105+阅读 · 2019年10月9日
计算机 | 入门级EI会议ICVRIS 2019诚邀稿件
Call4Papers
10+阅读 · 2019年6月24日
Hierarchically Structured Meta-learning
CreateAMind
27+阅读 · 2019年5月22日
人工智能 | ISAIR 2019诚邀稿件(推荐SCI期刊)
Call4Papers
6+阅读 · 2019年4月1日
A Technical Overview of AI & ML in 2018 & Trends for 2019
待字闺中
18+阅读 · 2018年12月24日
计算机视觉近一年进展综述
机器学习研究会
9+阅读 · 2017年11月25日
【推荐】用Python/OpenCV实现增强现实
机器学习研究会
15+阅读 · 2017年11月16日
【推荐】YOLO实时目标检测(6fps)
机器学习研究会
20+阅读 · 2017年11月5日
【推荐】深度学习目标检测概览
机器学习研究会
10+阅读 · 2017年9月1日
【今日新增】IEEE Trans.专刊截稿信息8条
Call4Papers
7+阅读 · 2017年6月29日
Directions for Explainable Knowledge-Enabled Systems
Arxiv
26+阅读 · 2020年3月17日
VIP会员
相关资讯
计算机 | 入门级EI会议ICVRIS 2019诚邀稿件
Call4Papers
10+阅读 · 2019年6月24日
Hierarchically Structured Meta-learning
CreateAMind
27+阅读 · 2019年5月22日
人工智能 | ISAIR 2019诚邀稿件(推荐SCI期刊)
Call4Papers
6+阅读 · 2019年4月1日
A Technical Overview of AI & ML in 2018 & Trends for 2019
待字闺中
18+阅读 · 2018年12月24日
计算机视觉近一年进展综述
机器学习研究会
9+阅读 · 2017年11月25日
【推荐】用Python/OpenCV实现增强现实
机器学习研究会
15+阅读 · 2017年11月16日
【推荐】YOLO实时目标检测(6fps)
机器学习研究会
20+阅读 · 2017年11月5日
【推荐】深度学习目标检测概览
机器学习研究会
10+阅读 · 2017年9月1日
【今日新增】IEEE Trans.专刊截稿信息8条
Call4Papers
7+阅读 · 2017年6月29日
Top
微信扫码咨询专知VIP会员