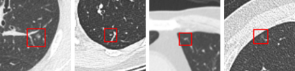
Convolutional neural networks (CNNs) have been demonstrated to be highly effective in the field of pulmonary nodule detection. However, existing CNN based pulmonary nodule detection methods lack the ability to capture long-range dependencies, which is vital for global information extraction. In computer vision tasks, non-local operations have been widely utilized, but the computational cost could be very high for 3D computed tomography (CT) images. To address this issue, we propose a long short slice-aware network (LSSANet) for the detection of pulmonary nodules. In particular, we develop a new non-local mechanism termed long short slice grouping (LSSG), which splits the compact non-local embeddings into a short-distance slice grouped one and a long-distance slice grouped counterpart. This not only reduces the computational burden, but also keeps long-range dependencies among any elements across slices and in the whole feature map. The proposed LSSG is easy-to-use and can be plugged into many pulmonary nodule detection networks. To verify the performance of LSSANet, we compare with several recently proposed and competitive detection approaches based on 2D/3D CNN. Promising evaluation results on the large-scale PN9 dataset demonstrate the effectiveness of our method. Code is at https://github.com/Ruixxxx/LSSANet.


翻译:事实证明,在肺结核探测领域,革命神经网络(CNN)非常有效,但是,现有的CNN肺部结核探测方法缺乏捕捉长距离依赖性的能力,而长期依赖性对于全球信息提取至关重要。在计算机视觉任务中,非本地操作被广泛使用,但计算3D断层成像(CT)图像的计算成本可能非常高。为解决这一问题,我们提议建立一个长短切觉网络(LSSANet),用于检测肺结核。特别是,我们开发了一个称为长短切网的新的非本地机制(LSSSG),将非本地缩嵌入的小型断层分为一个短距离切片组和一个长距离切片组。这不仅可以减少计算负担,而且还可以保持跨切片和整个地貌图中任何元素之间的长距离依赖性依赖性。拟议的LSUSSG(L)网络检测网/网络探测网的功能很容易,可以插入许多圆点结核探测网络。在LSSAD网络上验证常规非本地嵌嵌入的功能,我们最近将SISAD大规模检测方法与一些竞争性方法进行比较。

0
下载
关闭预览

相关内容

Networking:IFIP International Conferences on Networking。 Explanation:国际网络会议。 Publisher:IFIP。 SIT: http://dblp.uni-trier.de/db/conf/networking/index.html
100+篇《自监督学习(Self-Supervised Learning)》论文最新合集
专知会员服务
167+阅读 · 2020年3月18日
[综述]深度学习下的场景文本检测与识别
专知会员服务
78+阅读 · 2019年10月10日
ACM MM 2022 Call for Papers
CCF多媒体专委会
5+阅读 · 2022年3月29日
AIART 2022 Call for Papers
CCF多媒体专委会
1+阅读 · 2022年2月13日
【ICIG2021】Latest News & Announcements of the Plenary Talk2
中国图象图形学学会CSIG
0+阅读 · 2021年11月2日
【ICIG2021】Latest News & Announcements of the Plenary Talk1
中国图象图形学学会CSIG
0+阅读 · 2021年11月1日
Hierarchically Structured Meta-learning
CreateAMind
27+阅读 · 2019年5月22日
国家自然科学基金
0+阅读 · 2015年12月31日
国家自然科学基金
1+阅读 · 2013年12月31日
国家自然科学基金
0+阅读 · 2012年12月31日
国家自然科学基金
0+阅读 · 2011年12月31日
Arxiv
0+阅读 · 2022年9月30日
Arxiv
11+阅读 · 2022年3月16日
Arxiv
26+阅读 · 2022年1月3日
VIP会员
相关资讯
ACM MM 2022 Call for Papers
CCF多媒体专委会
5+阅读 · 2022年3月29日
AIART 2022 Call for Papers
CCF多媒体专委会
1+阅读 · 2022年2月13日
【ICIG2021】Latest News & Announcements of the Plenary Talk2
中国图象图形学学会CSIG
0+阅读 · 2021年11月2日
【ICIG2021】Latest News & Announcements of the Plenary Talk1
中国图象图形学学会CSIG
0+阅读 · 2021年11月1日
Hierarchically Structured Meta-learning
CreateAMind
27+阅读 · 2019年5月22日
相关论文
Arxiv
0+阅读 · 2022年9月30日
Arxiv
11+阅读 · 2022年3月16日
Arxiv
26+阅读 · 2022年1月3日
相关基金
国家自然科学基金
0+阅读 · 2015年12月31日
国家自然科学基金
1+阅读 · 2013年12月31日
国家自然科学基金
0+阅读 · 2012年12月31日
国家自然科学基金
0+阅读 · 2011年12月31日
Top
微信扫码咨询专知VIP会员