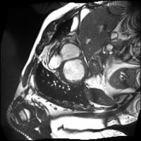
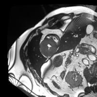
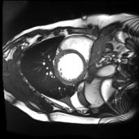
In this work, we study the problem of training deep networks for semantic image segmentation using only a fraction of annotated images, which may significantly reduce human annotation efforts. Particularly, we propose a strategy that exploits the unpaired image style transfer capabilities of CycleGAN in semi-supervised segmentation. Unlike recent works using adversarial learning for semi-supervised segmentation, we enforce cycle consistency to learn a bidirectional mapping between unpaired images and segmentation masks. This adds an unsupervised regularization effect that boosts the segmentation performance when annotated data is limited. Experiments on three different public segmentation benchmarks (PASCAL VOC 2012, Cityscapes and ACDC) demonstrate the effectiveness of the proposed method. The proposed model achieves 2-4% of improvement with respect to the baseline and outperforms recent approaches for this task, particularly in low labeled data regime.


翻译:在这项工作中,我们只使用部分附加说明的图像来培训精密的语义图像分解网络,这可能会大大降低人类的笔记努力。特别是,我们提出一个战略,利用半监督的分解中循环GAN未受保护的图像风格传输能力。与最近使用半监督分解对抗性学习的工程不同,我们强制执行周期一致性,以学习未受监督的图像和分解面遮罩之间的双向绘图。这增加了一种不受监督的正规化效应,在附加说明的数据有限时会提高分解的性能。关于三种不同的公共分解基准(PASCAL VOC 2012, Cityscaccs and ACDC)的实验展示了拟议方法的有效性。拟议模型在基线方面实现了2%至4%的改进,在低标签数据系统中,特别是在低标签数据系统中,比最近这项工作的方法要高出2%至4%。

3
下载
关闭预览

相关内容

专知会员服务
110+阅读 · 2020年3月12日
最新BERT相关论文清单,BERT-related Papers
专知会员服务
53+阅读 · 2019年9月29日
Hierarchically Structured Meta-learning
CreateAMind
27+阅读 · 2019年5月22日
Transferring Knowledge across Learning Processes
CreateAMind
29+阅读 · 2019年5月18日
弱监督语义分割最新方法资源列表
专知
9+阅读 · 2019年2月26日
TorchSeg:基于pytorch的语义分割算法开源了
极市平台
20+阅读 · 2019年1月28日
强化学习的Unsupervised Meta-Learning
CreateAMind
18+阅读 · 2019年1月7日
无监督元学习表示学习
CreateAMind
27+阅读 · 2019年1月4日
Unsupervised Learning via Meta-Learning
CreateAMind
43+阅读 · 2019年1月3日
CycleGAN:图片风格,想换就换 | ICCV 2017论文解读
PaperWeekly
12+阅读 · 2018年3月14日
【推荐】视频目标分割基础
机器学习研究会
9+阅读 · 2017年9月19日
Deep Co-Training for Semi-Supervised Image Segmentation
VIP会员
相关VIP内容
专知会员服务
110+阅读 · 2020年3月12日
最新BERT相关论文清单,BERT-related Papers
专知会员服务
53+阅读 · 2019年9月29日
相关资讯
Hierarchically Structured Meta-learning
CreateAMind
27+阅读 · 2019年5月22日
Transferring Knowledge across Learning Processes
CreateAMind
29+阅读 · 2019年5月18日
弱监督语义分割最新方法资源列表
专知
9+阅读 · 2019年2月26日
TorchSeg:基于pytorch的语义分割算法开源了
极市平台
20+阅读 · 2019年1月28日
强化学习的Unsupervised Meta-Learning
CreateAMind
18+阅读 · 2019年1月7日
无监督元学习表示学习
CreateAMind
27+阅读 · 2019年1月4日
Unsupervised Learning via Meta-Learning
CreateAMind
43+阅读 · 2019年1月3日
CycleGAN:图片风格,想换就换 | ICCV 2017论文解读
PaperWeekly
12+阅读 · 2018年3月14日
【推荐】视频目标分割基础
机器学习研究会
9+阅读 · 2017年9月19日
Top
微信扫码咨询专知VIP会员