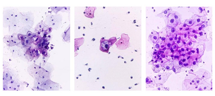
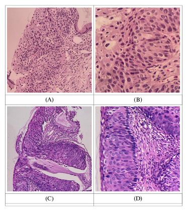
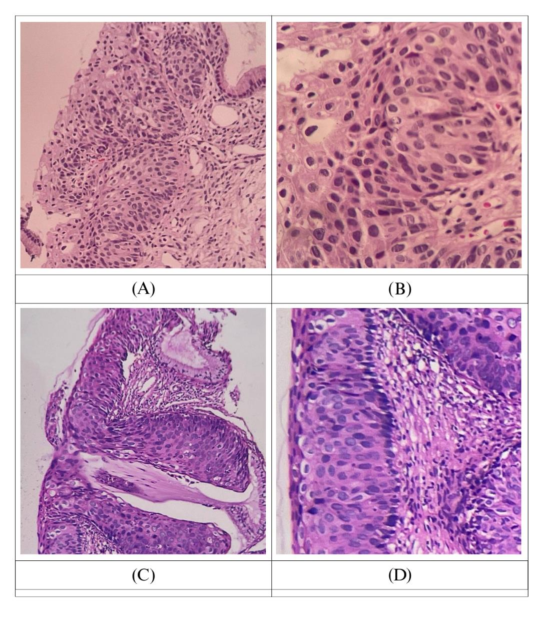
Cervical cancer is a prevalent disease affecting millions of women worldwide every year. It requires significant attention, as early detection during the precancerous stage provides an opportunity for a cure. The screening and diagnosis of cervical cancer rely on cytology and colposcopy methods. Deep learning, a promising technology in computer vision, has emerged as a potential solution to improve the accuracy and efficiency of cervical cancer screening compared to traditional clinical inspection methods that are prone to human error. This review article discusses cervical cancer and its screening processes, followed by the Deep Learning training process and the classification, segmentation, and detection tasks for cervical cancer diagnosis. Additionally, we explored the most common public datasets used in both cytology and colposcopy and highlighted the popular and most utilized architectures that researchers have applied to both cytology and colposcopy. We reviewed 24 selected practical papers in this study and summarized them. This article highlights the remarkable efficiency in enhancing the precision and speed of cervical cancer analysis by Deep Learning, bringing us closer to early diagnosis and saving lives.


翻译:暂无翻译

0
下载
关闭预览

相关内容

FlowQA: Grasping Flow in History for Conversational Machine Comprehension
专知会员服务
34+阅读 · 2019年10月18日
Stabilizing Transformers for Reinforcement Learning
专知会员服务
60+阅读 · 2019年10月17日
Transferring Knowledge across Learning Processes
CreateAMind
29+阅读 · 2019年5月18日
A Technical Overview of AI & ML in 2018 & Trends for 2019
待字闺中
18+阅读 · 2018年12月24日
STRCF for Visual Object Tracking
统计学习与视觉计算组
15+阅读 · 2018年5月29日
Focal Loss for Dense Object Detection
统计学习与视觉计算组
12+阅读 · 2018年3月15日
IJCAI | Cascade Dynamics Modeling with Attention-based RNN
KingsGarden
13+阅读 · 2017年7月16日
国家自然科学基金
13+阅读 · 2017年12月31日
国家自然科学基金
3+阅读 · 2015年12月31日
国家自然科学基金
0+阅读 · 2014年12月31日
VIP会员
相关资讯
Transferring Knowledge across Learning Processes
CreateAMind
29+阅读 · 2019年5月18日
A Technical Overview of AI & ML in 2018 & Trends for 2019
待字闺中
18+阅读 · 2018年12月24日
STRCF for Visual Object Tracking
统计学习与视觉计算组
15+阅读 · 2018年5月29日
Focal Loss for Dense Object Detection
统计学习与视觉计算组
12+阅读 · 2018年3月15日
IJCAI | Cascade Dynamics Modeling with Attention-based RNN
KingsGarden
13+阅读 · 2017年7月16日
相关基金
国家自然科学基金
13+阅读 · 2017年12月31日
国家自然科学基金
3+阅读 · 2015年12月31日
国家自然科学基金
0+阅读 · 2014年12月31日
Top
微信扫码咨询专知VIP会员