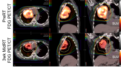
Boosting Trees are one of the most successful statistical learning approaches that involve sequentially growing an ensemble of simple regression trees (i.e., "weak learners"). However, gradient boosted trees are not yet available for spatially correlated data. This paper proposes a new gradient Boosted Trees algorithm for Spatial Data (Boost-S) with covariate information. Boost-S integrates the spatial correlation structure into the classical framework of gradient boosted trees. Each tree is grown by solving a regularized optimization problem, where the objective function involves two penalty terms on tree complexity and takes into account the underlying spatial correlation. A computationally-efficient algorithm is proposed to obtain the ensemble trees. The proposed Boost-S is applied to the spatially-correlated FDG-PET (fluorodeoxyglucose-positron emission tomography) imaging data collected during cancer chemoradiotherapy. Our numerical investigations successfully demonstrate the advantages of the proposed Boost-S over existing approaches for this particular application.


翻译:扶植树是最成功的统计学习方法之一,它涉及相继种植一系列简单的回归树(即“弱学习者”)。然而,对于空间相关数据来说,梯度增殖树还没有可用。本文件提出一个新的具有共变信息的空间数据梯度增殖树算法(Boost-S) 。促进-S 将空间相关结构纳入梯度增生树的经典框架。每棵树都是通过解决常规化优化问题而生长的,其中目标功能涉及对树复杂性的两个惩罚条件,并考虑到潜在的空间相关关系。提议采用计算效率算法来获取共振树。拟议的引力-S 应用于在癌症化学疗法期间收集的空间相关FDG-PET(含脱氧甘糖-粒子排放图解析)成像数据。我们的数字调查成功地展示了拟议波纹-S相对于这一特定应用的现有方法的优势。

0
下载
关闭预览

相关内容

专知会员服务
51+阅读 · 2020年12月14日
【干货书】机器学习速查手册,135页pdf
专知会员服务
127+阅读 · 2020年11月20日
【新书】Python编程基础,669页pdf
专知会员服务
197+阅读 · 2019年10月10日
【哈佛大学商学院课程Fall 2019】机器学习可解释性
专知会员服务
105+阅读 · 2019年10月9日
最新BERT相关论文清单,BERT-related Papers
专知会员服务
53+阅读 · 2019年9月29日
计算机 | 国际会议信息5条
Call4Papers
3+阅读 · 2019年7月3日
Hierarchically Structured Meta-learning
CreateAMind
27+阅读 · 2019年5月22日
Transferring Knowledge across Learning Processes
CreateAMind
29+阅读 · 2019年5月18日
IEEE | DSC 2019诚邀稿件 (EI检索)
Call4Papers
10+阅读 · 2019年2月25日
人工智能 | SCI期刊专刊信息3条
Call4Papers
5+阅读 · 2019年1月10日
Unsupervised Learning via Meta-Learning
CreateAMind
43+阅读 · 2019年1月3日
A Technical Overview of AI & ML in 2018 & Trends for 2019
待字闺中
18+阅读 · 2018年12月24日
人工智能 | COLT 2019等国际会议信息9条
Call4Papers
6+阅读 · 2018年9月21日
Hierarchical Disentangled Representations
CreateAMind
4+阅读 · 2018年4月15日
人工智能 | 国际会议/SCI期刊约稿信息9条
Call4Papers
3+阅读 · 2018年1月12日
Arxiv
0+阅读 · 2021年3月26日
Adaptive Neural Trees
Arxiv
4+阅读 · 2018年12月10日
VIP会员
相关VIP内容
专知会员服务
51+阅读 · 2020年12月14日
【干货书】机器学习速查手册,135页pdf
专知会员服务
127+阅读 · 2020年11月20日
【新书】Python编程基础,669页pdf
专知会员服务
197+阅读 · 2019年10月10日
【哈佛大学商学院课程Fall 2019】机器学习可解释性
专知会员服务
105+阅读 · 2019年10月9日
最新BERT相关论文清单,BERT-related Papers
专知会员服务
53+阅读 · 2019年9月29日
相关资讯
计算机 | 国际会议信息5条
Call4Papers
3+阅读 · 2019年7月3日
Hierarchically Structured Meta-learning
CreateAMind
27+阅读 · 2019年5月22日
Transferring Knowledge across Learning Processes
CreateAMind
29+阅读 · 2019年5月18日
IEEE | DSC 2019诚邀稿件 (EI检索)
Call4Papers
10+阅读 · 2019年2月25日
人工智能 | SCI期刊专刊信息3条
Call4Papers
5+阅读 · 2019年1月10日
Unsupervised Learning via Meta-Learning
CreateAMind
43+阅读 · 2019年1月3日
A Technical Overview of AI & ML in 2018 & Trends for 2019
待字闺中
18+阅读 · 2018年12月24日
人工智能 | COLT 2019等国际会议信息9条
Call4Papers
6+阅读 · 2018年9月21日
Hierarchical Disentangled Representations
CreateAMind
4+阅读 · 2018年4月15日
人工智能 | 国际会议/SCI期刊约稿信息9条
Call4Papers
3+阅读 · 2018年1月12日
Top
微信扫码咨询专知VIP会员