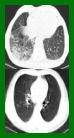
$\textbf{Background:}$ At the onset of a pandemic, such as COVID-19, data with proper labeling/attributes corresponding to the new disease might be unavailable or sparse. Machine Learning (ML) models trained with the available data, which is limited in quantity and poor in diversity, will often be biased and inaccurate. At the same time, ML algorithms designed to fight pandemics must have good performance and be developed in a time-sensitive manner. To tackle the challenges of limited data, and label scarcity in the available data, we propose generating conditional synthetic data, to be used alongside real data for developing robust ML models. $\textbf{Methods:}$ We present a hybrid model consisting of a conditional generative flow and a classifier for conditional synthetic data generation. The classifier decouples the feature representation for the condition, which is fed to the flow to extract the local noise. We generate synthetic data by manipulating the local noise with fixed conditional feature representation. We also propose a semi-supervised approach to generate synthetic samples in the absence of labels for a majority of the available data. $\textbf{Results:}$ We performed conditional synthetic generation for chest computed tomography (CT) scans corresponding to normal, COVID-19, and pneumonia afflicted patients. We show that our method significantly outperforms existing models both on qualitative and quantitative performance, and our semi-supervised approach can efficiently synthesize conditional samples under label scarcity. As an example of downstream use of synthetic data, we show improvement in COVID-19 detection from CT scans with conditional synthetic data augmentation.


翻译:$\ textbf{ background:}$$美元 在传染病爆发时,例如COVID-19, 配有与新疾病相对应的正确标签/属性的数据可能不存在或稀少。 用现有数据培训的机器学习(ML)模型,其数量有限,多样性差,往往是偏差和不准确的。与此同时,旨在防治流行病的ML算法必须具有良好的性能,并且以对时间敏感的方式发展。为了应对有限数据的挑战,并对现有数据进行分类,我们提议在开发稳健的ML模型时使用有条件的合成数据。 $\ textbf{Methods:$look:$ld:我们展示一种有条件的基因化流和分类模型的混合模型,我们目前用于模拟的DNA数据,我们用来模拟的Mexcial-loral-loral exalalal 。

0
下载
关闭预览

相关内容

最新《联邦学习Federated Learning》报告,Federated Learning
专知会员服务
89+阅读 · 2020年12月2日
最新【深度生成模型】Deep Generative Models,104页ppt
专知会员服务
71+阅读 · 2020年10月24日
【干货书】真实机器学习,264页pdf,Real-World Machine Learning
Transferring Knowledge across Learning Processes
CreateAMind
29+阅读 · 2019年5月18日
深度自进化聚类:Deep Self-Evolution Clustering
我爱读PAMI
15+阅读 · 2019年4月13日
逆强化学习-学习人先验的动机
CreateAMind
16+阅读 · 2019年1月18日
人工智能 | SCI期刊专刊信息3条
Call4Papers
5+阅读 · 2019年1月10日
无监督元学习表示学习
CreateAMind
27+阅读 · 2019年1月4日
Unsupervised Learning via Meta-Learning
CreateAMind
43+阅读 · 2019年1月3日
meta learning 17年:MAML SNAIL
CreateAMind
11+阅读 · 2019年1月2日
Hierarchical Disentangled Representations
CreateAMind
4+阅读 · 2018年4月15日
gan生成图像at 1024² 的 代码 论文
CreateAMind
4+阅读 · 2017年10月31日
Auto-Encoding GAN
CreateAMind
7+阅读 · 2017年8月4日
Arxiv
9+阅读 · 2021年10月5日
VIP会员
相关VIP内容
相关资讯
Transferring Knowledge across Learning Processes
CreateAMind
29+阅读 · 2019年5月18日
深度自进化聚类:Deep Self-Evolution Clustering
我爱读PAMI
15+阅读 · 2019年4月13日
逆强化学习-学习人先验的动机
CreateAMind
16+阅读 · 2019年1月18日
人工智能 | SCI期刊专刊信息3条
Call4Papers
5+阅读 · 2019年1月10日
无监督元学习表示学习
CreateAMind
27+阅读 · 2019年1月4日
Unsupervised Learning via Meta-Learning
CreateAMind
43+阅读 · 2019年1月3日
meta learning 17年:MAML SNAIL
CreateAMind
11+阅读 · 2019年1月2日
Hierarchical Disentangled Representations
CreateAMind
4+阅读 · 2018年4月15日
gan生成图像at 1024² 的 代码 论文
CreateAMind
4+阅读 · 2017年10月31日
Auto-Encoding GAN
CreateAMind
7+阅读 · 2017年8月4日
Top
微信扫码咨询专知VIP会员