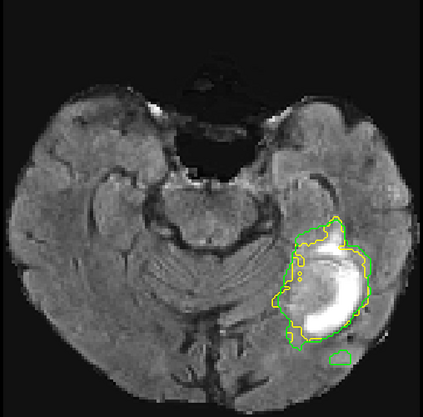
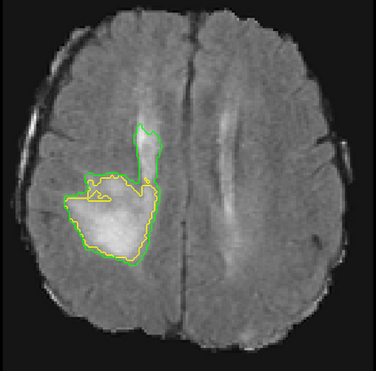
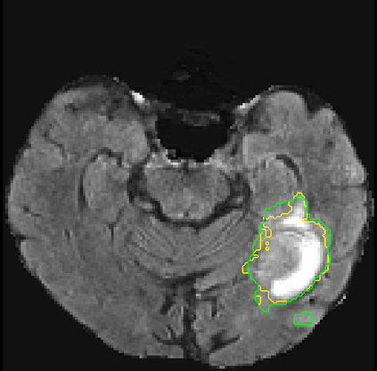
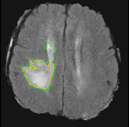
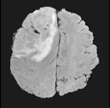
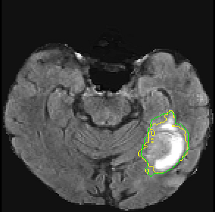
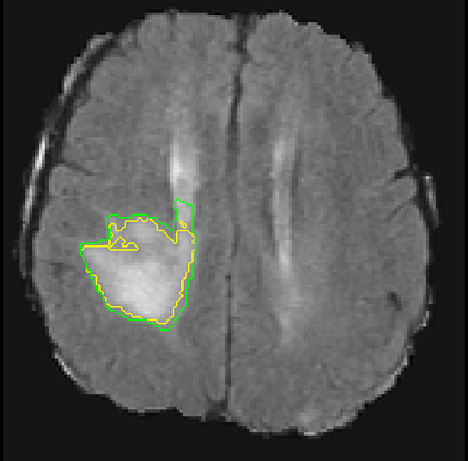
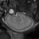
Despite the state-of-the-art performance for medical image segmentation, deep convolutional neural networks (CNNs) have rarely provided uncertainty estimations regarding their segmentation outputs, e.g., model (epistemic) and image-based (aleatoric) uncertainties. In this work, we analyze these different types of uncertainties for CNN-based 2D and 3D medical image segmentation tasks. We additionally propose a test-time augmentation-based aleatoric uncertainty to analyze the effect of different transformations of the input image on the segmentation output. Test-time augmentation has been previously used to improve segmentation accuracy, yet not been formulated in a consistent mathematical framework. Hence, we also propose a theoretical formulation of test-time augmentation, where a distribution of the prediction is estimated by Monte Carlo simulation with prior distributions of parameters in an image acquisition model that involves image transformations and noise. We compare and combine our proposed aleatoric uncertainty with model uncertainty. Experiments with segmentation of fetal brains and brain tumors from 2D and 3D Magnetic Resonance Images (MRI) showed that 1) the test-time augmentation-based aleatoric uncertainty provides a better uncertainty estimation than calculating the test-time dropout-based model uncertainty alone and helps to reduce overconfident incorrect predictions, and 2) our test-time augmentation outperforms a single-prediction baseline and dropout-based multiple predictions.


翻译:尽管医疗图象部分的医学表现最为先进,但深层神经神经网络(CNNs)很少提供分解结果的不确定性估计,例如模型(epistemic)和基于图像(代言)的不确定性。在这项工作中,我们分析了基于CNN 2D 和 3D 的医学图象分解任务中不同类型的不确定性。我们还提议了测试-时间基于增强的解析分析输入图像不同变异对分解输出分解结果的影响的不确定性。测试-时间增加以前曾被用来提高分解准确性,但并不是在一个一致的数学框架内拟订的。因此,我们还提议了测试-时间扩大的理论设计,其中预测的分布情况由蒙特卡洛模拟和图像采集模型中先前的参数分布进行估算,其中涉及图像转换和噪音。我们还比较和结合了我们提议的基于测试-增强性的不确定性与模型不确定性。基于2D和3D的胎儿大脑和脑肿瘤分解实验,以及基于3D的递解性递解变图像(MRI)的实验显示,仅通过测试-时间性不确定性和递增性预测模型估算,而减少了一个测试-错误-测试-时间的不确定性-测试-测试-测试-测试-测试-测试-测试-测试-测试-测试-测试-测试-测试-测试-测试-测试-测试-测试-测试-测试-测试-测试-测试-测试-测试-测试-测试-测试-测试-结果-

7
下载
关闭预览

相关内容

最新BERT相关论文清单,BERT-related Papers
专知会员服务
53+阅读 · 2019年9月29日
深度卷积神经网络中的降采样
极市平台
12+阅读 · 2019年5月24日
一份数据科学家必备的技能清单(附资源)
THU数据派
7+阅读 · 2018年5月29日
Hierarchical Imitation - Reinforcement Learning
CreateAMind
19+阅读 · 2018年5月25日
条件GAN重大改进!cGANs with Projection Discriminator
CreateAMind
8+阅读 · 2018年2月7日
VIP会员
相关VIP内容
最新BERT相关论文清单,BERT-related Papers
专知会员服务
53+阅读 · 2019年9月29日
Top
微信扫码咨询专知VIP会员