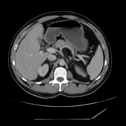
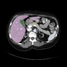
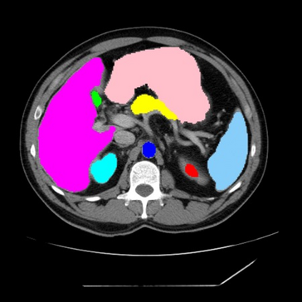
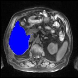
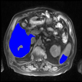
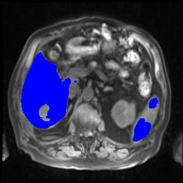
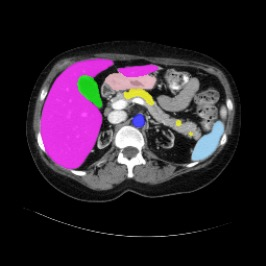
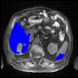
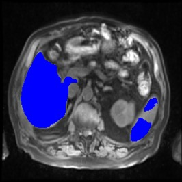
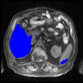
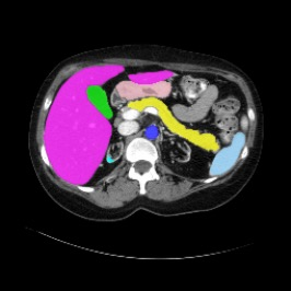
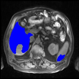
Integrating high-level semantically correlated contents and low-level anatomical features is of central importance in medical image segmentation. Towards this end, recent deep learning-based medical segmentation methods have shown great promise in better modeling such information. However, convolution operators for medical segmentation typically operate on regular grids, which inherently blur the high-frequency regions, i.e., boundary regions. In this work, we propose MORSE, a generic implicit neural rendering framework designed at an anatomical level to assist learning in medical image segmentation. Our method is motivated by the fact that implicit neural representation has been shown to be more effective in fitting complex signals and solving computer graphics problems than discrete grid-based representation. The core of our approach is to formulate medical image segmentation as a rendering problem in an end-to-end manner. Specifically, we continuously align the coarse segmentation prediction with the ambiguous coordinate-based point representations and aggregate these features to adaptively refine the boundary region. To parallelly optimize multi-scale pixel-level features, we leverage the idea from Mixture-of-Expert (MoE) to design and train our MORSE with a stochastic gating mechanism. Our experiments demonstrate that MORSE can work well with different medical segmentation backbones, consistently achieving competitive performance improvements in both 2D and 3D supervised medical segmentation methods. We also theoretically analyze the superiority of MORSE.


翻译:在医学图像分割中,整合高级语义相关的内容和低级解剖特征对于模拟这些信息非常重要。近期基于深度学习的医学分割方法已经显示出很有前景,可以更好地建模这些信息。然而,医学分割的卷积运算符通常在正则化网格上运作,这在本质上模糊了高频区域,即边界区域。我们在这项工作中提出了 MORSE,这是一个设计在解剖学水平上的通用隐式神经渲染框架,用于协助医学图像分割的学习。我们的方法的动机在于隐式神经表示已经被证明比离散化网格表示更有效地拟合复杂信号和解决计算机图形问题。我们方法的核心是将医学图像分割连续地对准粗糙的分割预测和模棱两可的基于坐标的点表示,并聚合这些特征来自适应地精细化边界区域。为了并行地优化多尺度像素级特征,我们借鉴了 Mixture-of-Expert (MoE) 的思想设计和训练我们的MORSE,使用随机门控机制。我们的实验表明MORSE可以很好地与不同的医学分割后骨干结合在一起,始终在2D和3D监督医学分割方法中实现了有竞争力的性能改进。我们还从理论上分析了MORSE的优越性。

0
下载
关闭预览

相关内容

JCIM丨DRlinker:深度强化学习优化片段连接设计
专知会员服务
7+阅读 · 2022年12月9日
专知会员服务
28+阅读 · 2021年10月6日
【SIGGRAPH2019】TensorFlow 2.0深度学习计算机图形学应用
专知会员服务
41+阅读 · 2019年10月9日
一文带你浏览Graph Transformers
图与推荐
2+阅读 · 2022年7月14日
Hierarchically Structured Meta-learning
CreateAMind
27+阅读 · 2019年5月22日
disentangled-representation-papers
CreateAMind
26+阅读 · 2018年9月12日
Hierarchical Imitation - Reinforcement Learning
CreateAMind
19+阅读 · 2018年5月25日
【论文】图上的表示学习综述
机器学习研究会
15+阅读 · 2017年9月24日
【推荐】全卷积语义分割综述
机器学习研究会
19+阅读 · 2017年8月31日
国家自然科学基金
3+阅读 · 2015年12月31日
国家自然科学基金
2+阅读 · 2014年12月31日
国家自然科学基金
1+阅读 · 2014年12月31日
国家自然科学基金
1+阅读 · 2013年12月31日
国家自然科学基金
0+阅读 · 2013年12月31日
国家自然科学基金
2+阅读 · 2012年12月31日
国家自然科学基金
0+阅读 · 2012年12月31日
国家自然科学基金
0+阅读 · 2009年12月31日
W-net: Bridged U-net for 2D Medical Image Segmentation
Arxiv
20+阅读 · 2018年7月12日
VIP会员
相关VIP内容
JCIM丨DRlinker:深度强化学习优化片段连接设计
专知会员服务
7+阅读 · 2022年12月9日
专知会员服务
28+阅读 · 2021年10月6日
【SIGGRAPH2019】TensorFlow 2.0深度学习计算机图形学应用
专知会员服务
41+阅读 · 2019年10月9日
相关基金
国家自然科学基金
3+阅读 · 2015年12月31日
国家自然科学基金
2+阅读 · 2014年12月31日
国家自然科学基金
1+阅读 · 2014年12月31日
国家自然科学基金
1+阅读 · 2013年12月31日
国家自然科学基金
0+阅读 · 2013年12月31日
国家自然科学基金
2+阅读 · 2012年12月31日
国家自然科学基金
0+阅读 · 2012年12月31日
国家自然科学基金
0+阅读 · 2009年12月31日
Top
微信扫码咨询专知VIP会员