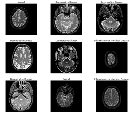
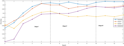
Magnetic Resonance Imaging (MRI) is a principal diagnostic approach used in the field of radiology to create images of the anatomical and physiological structure of patients. MRI is the prevalent medical imaging practice to find abnormalities in soft tissues. Traditionally they are analyzed by a radiologist to detect abnormalities in soft tissues, especially the brain. The process of interpreting a massive volume of patient's MRI is laborious. Hence, the use of Machine Learning methodologies can aid in detecting abnormalities in soft tissues with considerable accuracy. In this research, we have curated a novel dataset and developed a framework that uses Deep Transfer Learning to perform a multi-classification of tumors in the brain MRI images. In this paper, we adopted the Deep Residual Convolutional Neural Network (ResNet50) architecture for the experiments along with discriminative learning techniques to train the model. Using the novel dataset and two publicly available MRI brain datasets, this proposed approach attained a classification accuracy of 86.40% on the curated dataset, 93.80% on the Harvard Whole Brain Atlas dataset, and 97.05% accuracy on the School of Biomedical Engineering dataset. Results of our experiments significantly demonstrate our proposed framework for transfer learning is a potential and effective method for brain tumor multi-classification tasks.


翻译:磁共振成像(MRI)是放射学领域用来制作病人解剖和生理结构图像的一种主要诊断方法。 MRI是常见的医学成像方法,以发现软组织中的异常现象。传统上,它们由放射学家分析,以检测软组织特别是大脑中的异常现象。解释大量病人的磁共振成像(MRI)的过程是艰巨的。因此,机器学习方法的使用有助于相当准确地发现软组织中的异常现象。在这个研究中,我们整理了一个新数据集,并开发了一个框架,利用深度转移学习对大脑MRI图像中的肿瘤进行多级分类。在这个文件中,我们采用了深残余神经网络(ResNet50)的架构,用于实验以及用于培训模型的歧视性学习技术。使用新数据集和两个公开提供的MRI大脑数据集,这个拟议方法在固化数据集中达到了86.40%的分类准确度,在哈佛完整脑组数据集中实现了93.80%的分类,在哈佛完整脑图集数据集中实现了93.80%的分类准确度,在科学研究院的多级实验中,我们为生物医学数据配置而脑系统中的拟议结果学方法的精确度框架展示了。

0
下载
关闭预览

相关内容

动物脑的好奇心和强化学习的好奇心
CreateAMind
10+阅读 · 2019年1月26日
强化学习的Unsupervised Meta-Learning
CreateAMind
18+阅读 · 2019年1月7日
Unsupervised Learning via Meta-Learning
CreateAMind
43+阅读 · 2019年1月3日
meta learning 17年:MAML SNAIL
CreateAMind
11+阅读 · 2019年1月2日
Hierarchical Imitation - Reinforcement Learning
CreateAMind
19+阅读 · 2018年5月25日
深度学习医学图像分析文献集
机器学习研究会
19+阅读 · 2017年10月13日
【推荐】图像分类必读开创性论文汇总
机器学习研究会
14+阅读 · 2017年8月15日
VIP会员
相关VIP内容
相关资讯
动物脑的好奇心和强化学习的好奇心
CreateAMind
10+阅读 · 2019年1月26日
强化学习的Unsupervised Meta-Learning
CreateAMind
18+阅读 · 2019年1月7日
Unsupervised Learning via Meta-Learning
CreateAMind
43+阅读 · 2019年1月3日
meta learning 17年:MAML SNAIL
CreateAMind
11+阅读 · 2019年1月2日
Hierarchical Imitation - Reinforcement Learning
CreateAMind
19+阅读 · 2018年5月25日
深度学习医学图像分析文献集
机器学习研究会
19+阅读 · 2017年10月13日
【推荐】图像分类必读开创性论文汇总
机器学习研究会
14+阅读 · 2017年8月15日
Top
微信扫码咨询专知VIP会员