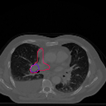
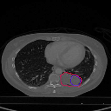
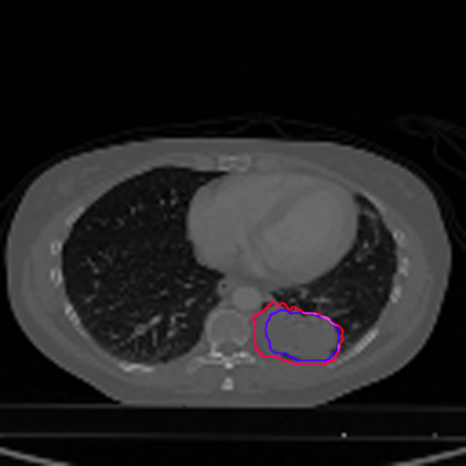
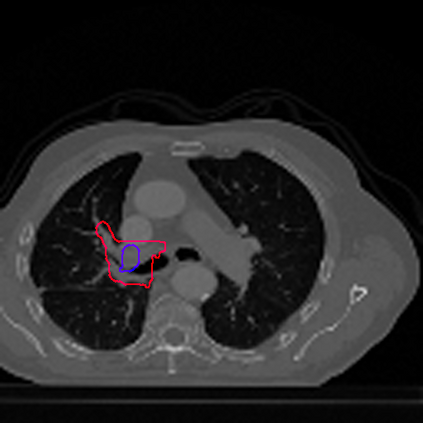
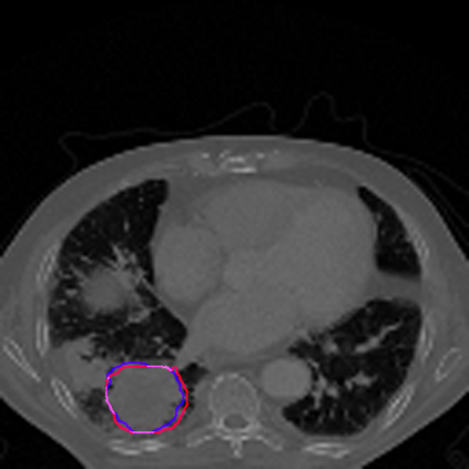
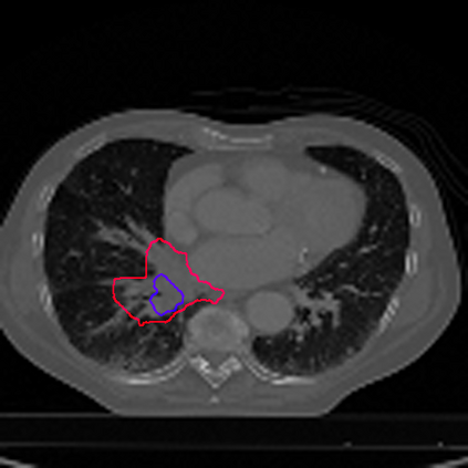
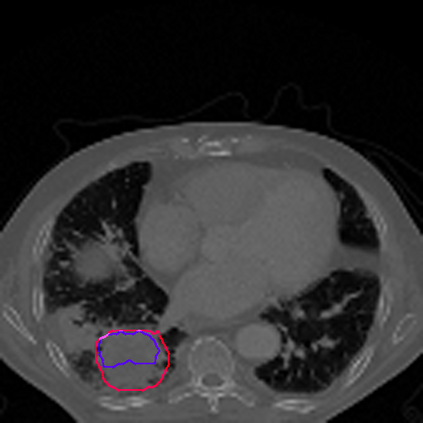
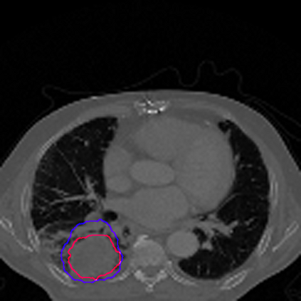
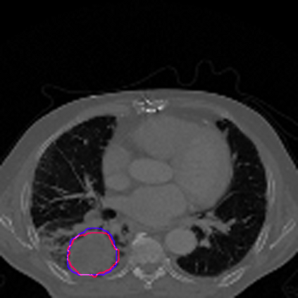
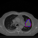
Lung cancer is a leading cause of death in most countries of the world. Since prompt diagnosis of tumors can allow oncologists to discern their nature, type and the mode of treatment, tumor detection and segmentation from CT Scan images is a crucial field of study worldwide. This paper approaches lung tumor segmentation by applying two-dimensional discrete wavelet transform (DWT) on the LOTUS dataset for more meticulous texture analysis whilst integrating information from neighboring CT slices before feeding them to a Deeply Supervised MultiResUNet model. Variations in learning rates, decay and optimization algorithms while training the network have led to different dice co-efficients, the detailed statistics of which have been included in this paper. We also discuss the challenges in this dataset and how we opted to overcome them. In essence, this study aims to maximize the success rate of predicting tumor regions from two dimensional CT Scan slices by experimenting with a number of adequate networks, resulting in a dice co-efficient of 0.8472.


翻译:肺癌是世界大多数国家死亡的主要原因。由于迅速诊断肿瘤可以让肿瘤的肿瘤学家辨别其性质、类型和治疗方式,CT扫描图像中的肿瘤检测和分解是全世界的一个关键研究领域。本文通过在LOTUS数据集上应用二维离散波子变形(DWT)进行更加细致的纹理分析,将相邻CT切片的信息整合到一个深入监督的多ResUNet模型中,从而接近肺癌分解。由于对肿瘤的迅速诊断可以让肿瘤学家辨别其性质、类型和治疗方式,CT扫描图像中的肿瘤检测和分解是全世界至关重要的研究领域。本文还探讨了这一数据集中的挑战和我们如何选择克服这些挑战。本研究报告的目的是通过试验一些适当的网络,最大限度地提高从两个维的CT扫描切片中预测肿瘤区域的成功率,从而产生0.8472的骰子共增效率。

1
下载
关闭预览

相关内容

Keras François Chollet 《Deep Learning with Python 》, 386页pdf
专知会员服务
161+阅读 · 2019年10月12日
[综述]深度学习下的场景文本检测与识别
专知会员服务
78+阅读 · 2019年10月10日
【SIGGRAPH2019】TensorFlow 2.0深度学习计算机图形学应用
专知会员服务
41+阅读 · 2019年10月9日
Image-Level 弱监督图像语义分割汇总简析
极市平台
3+阅读 · 2020年1月20日
已删除
将门创投
6+阅读 · 2019年7月11日
强化学习的Unsupervised Meta-Learning
CreateAMind
18+阅读 · 2019年1月7日
Unsupervised Learning via Meta-Learning
CreateAMind
43+阅读 · 2019年1月3日
深度学习医学图像分析文献集
机器学习研究会
19+阅读 · 2017年10月13日
【推荐】GAN架构入门综述(资源汇总)
机器学习研究会
10+阅读 · 2017年9月3日
Auto-Encoding GAN
CreateAMind
7+阅读 · 2017年8月4日
Image Segmentation Using Deep Learning: A Survey
Arxiv
47+阅读 · 2020年1月15日
W-net: Bridged U-net for 2D Medical Image Segmentation
Arxiv
20+阅读 · 2018年7月12日
VIP会员
相关VIP内容
Keras François Chollet 《Deep Learning with Python 》, 386页pdf
专知会员服务
161+阅读 · 2019年10月12日
[综述]深度学习下的场景文本检测与识别
专知会员服务
78+阅读 · 2019年10月10日
【SIGGRAPH2019】TensorFlow 2.0深度学习计算机图形学应用
专知会员服务
41+阅读 · 2019年10月9日
相关资讯
Image-Level 弱监督图像语义分割汇总简析
极市平台
3+阅读 · 2020年1月20日
已删除
将门创投
6+阅读 · 2019年7月11日
强化学习的Unsupervised Meta-Learning
CreateAMind
18+阅读 · 2019年1月7日
Unsupervised Learning via Meta-Learning
CreateAMind
43+阅读 · 2019年1月3日
深度学习医学图像分析文献集
机器学习研究会
19+阅读 · 2017年10月13日
【推荐】GAN架构入门综述(资源汇总)
机器学习研究会
10+阅读 · 2017年9月3日
Auto-Encoding GAN
CreateAMind
7+阅读 · 2017年8月4日
Top
微信扫码咨询专知VIP会员