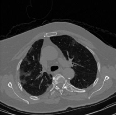
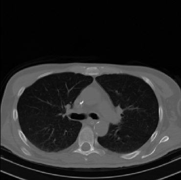
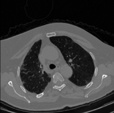
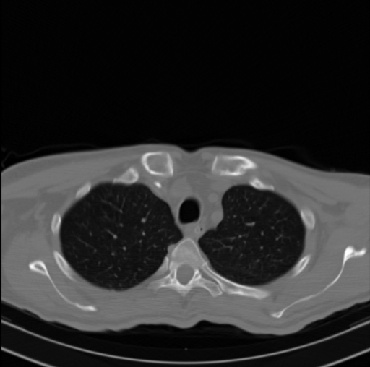
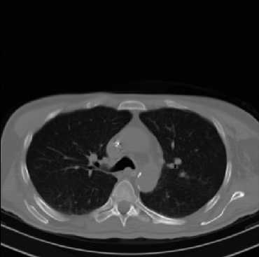
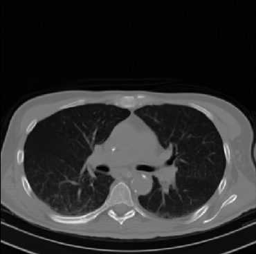
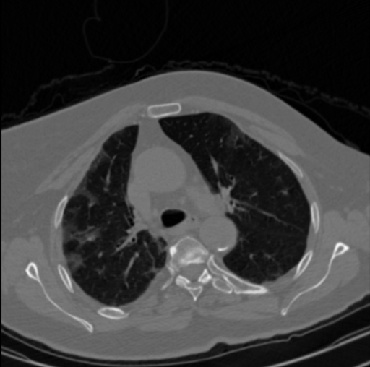
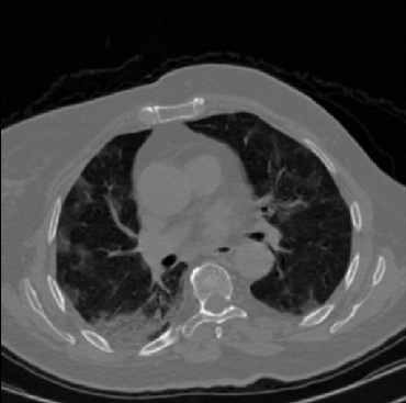
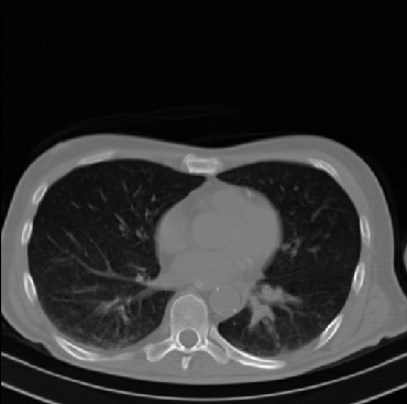
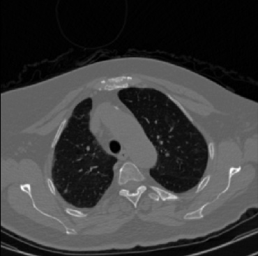
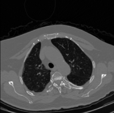
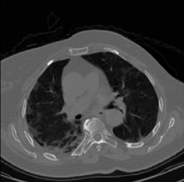
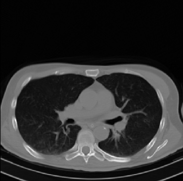
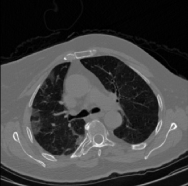
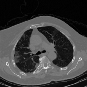
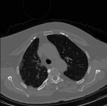
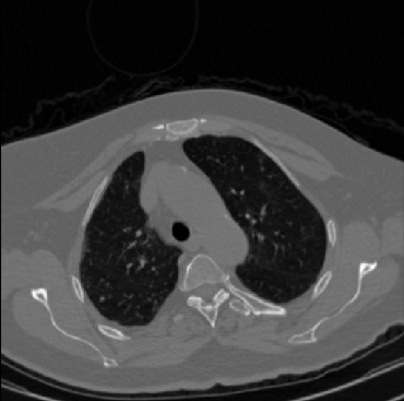
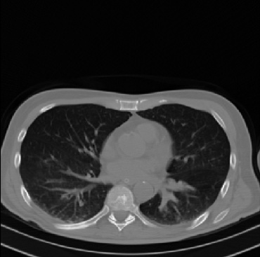
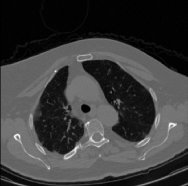
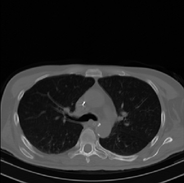
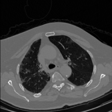
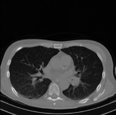
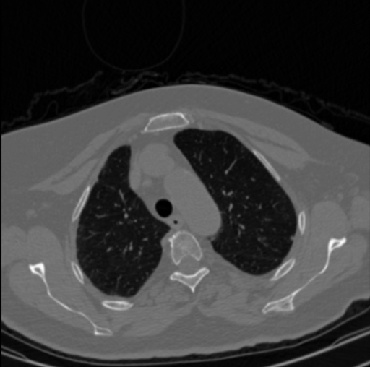
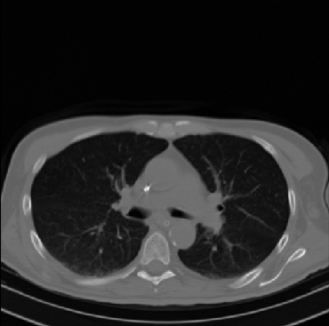
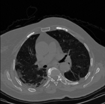
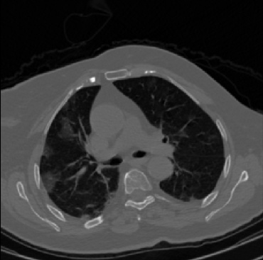
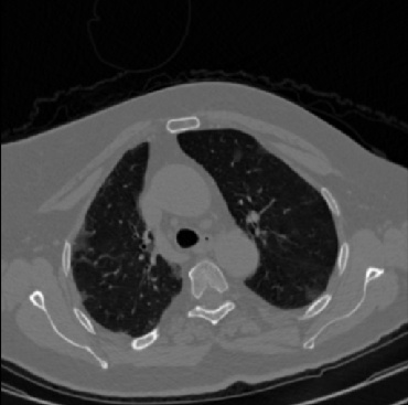
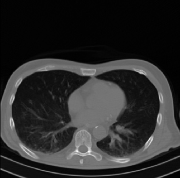
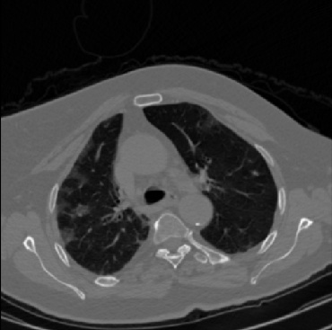
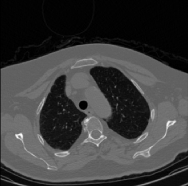
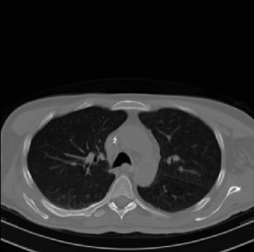
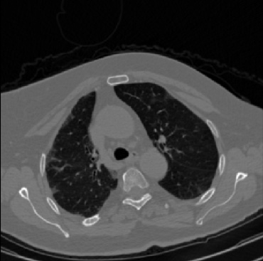
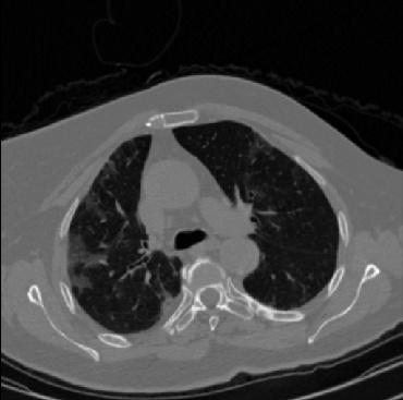
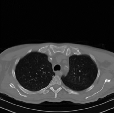
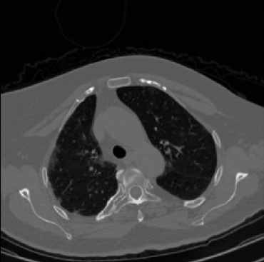
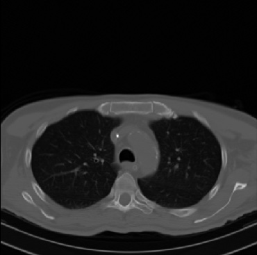
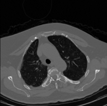
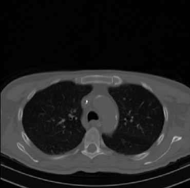
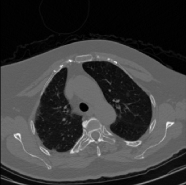
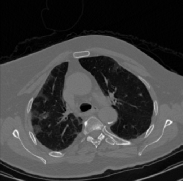
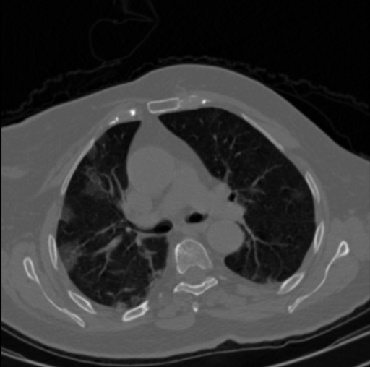
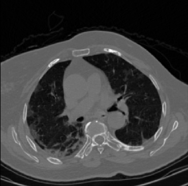
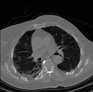
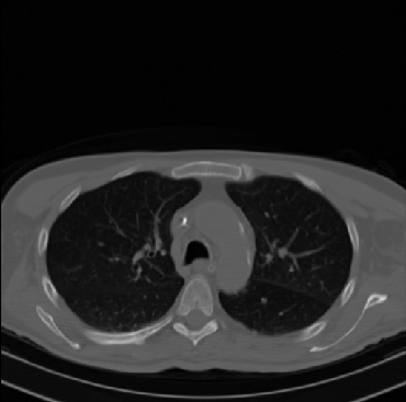
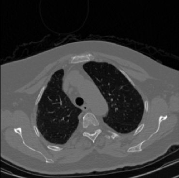
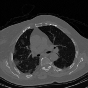
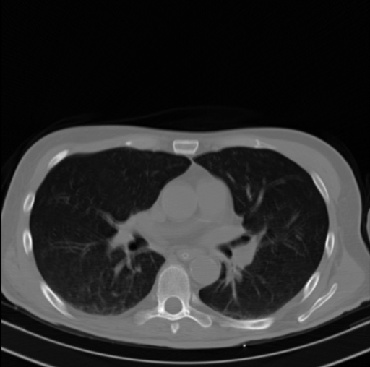
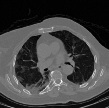
Early and reliable COVID-19 diagnosis based on chest 3-D CT scans can assist medical specialists in vital circumstances. Deep learning methodologies constitute a main approach for chest CT scan analysis and disease prediction. However, large annotated databases are necessary for developing deep learning models that are able to provide COVID-19 diagnosis across various medical environments in different countries. Due to privacy issues, publicly available COVID-19 CT datasets are highly difficult to obtain, which hinders the research and development of AI-enabled diagnosis methods of COVID-19 based on CT scans. In this paper we present the COV19-CT-DB database which is annotated for COVID-19, consisting of about 5,000 3-D CT scans, We have split the database in training, validation and test datasets. The former two datasets can be used for training and validation of machine learning models, while the latter will be used for evaluation of the developed models. We also present a deep learning approach, based on a CNN-RNN network and report its performance on the COVID19-CT-DB database.


翻译:根据胸前3-DCT扫描进行的早期和可靠的COVID-19诊断,可以在重要情况下帮助医疗专家。深层学习方法是胸部CT扫描分析和疾病预测的主要方法。然而,开发能够在不同的国家的不同医疗环境中提供COVID-19诊断的深层学习模型,需要大量附加说明的数据库。由于隐私问题,公开提供的COVID-19CT数据集非常难以获得,这阻碍了基于CT扫描的COVID-19人工诊断方法的研究和开发。本文我们介绍了COV19-CT-DB数据库,该数据库是COVID-19附加说明的,由大约5,000个3-DCT扫描组成。我们在培训、验证和测试数据集方面将数据库分开使用。前两个数据集可用于对机器学习模型进行培训和验证,而后者将用于对已开发模型进行评估。我们还根据CNN-RNN网络介绍了一种深层次学习方法,并在COVID19-CTDD数据库上报告其业绩。

0
下载
关闭预览

相关内容

专知会员服务
37+阅读 · 2021年4月23日
2019年机器学习框架回顾
专知会员服务
36+阅读 · 2019年10月11日
[综述]深度学习下的场景文本检测与识别
专知会员服务
78+阅读 · 2019年10月10日
【SIGGRAPH2019】TensorFlow 2.0深度学习计算机图形学应用
专知会员服务
41+阅读 · 2019年10月9日
人工智能 | ISAIR 2019诚邀稿件(推荐SCI期刊)
Call4Papers
6+阅读 · 2019年4月1日
Call for Participation: Shared Tasks in NLPCC 2019
中国计算机学会
5+阅读 · 2019年3月22日
人工智能 | SCI期刊专刊/国际会议信息7条
Call4Papers
7+阅读 · 2019年3月12日
IEEE | DSC 2019诚邀稿件 (EI检索)
Call4Papers
10+阅读 · 2019年2月25日
人工智能 | SCI期刊专刊信息3条
Call4Papers
5+阅读 · 2019年1月10日
Unsupervised Learning via Meta-Learning
CreateAMind
43+阅读 · 2019年1月3日
A Technical Overview of AI & ML in 2018 & Trends for 2019
待字闺中
18+阅读 · 2018年12月24日
Disentangled的假设的探讨
CreateAMind
9+阅读 · 2018年12月10日
人工智能 | 国际会议/SCI期刊约稿信息9条
Call4Papers
3+阅读 · 2018年1月12日
3D Deep Learning on Medical Images: A Review
Arxiv
13+阅读 · 2020年4月1日
VIP会员
相关资讯
人工智能 | ISAIR 2019诚邀稿件(推荐SCI期刊)
Call4Papers
6+阅读 · 2019年4月1日
Call for Participation: Shared Tasks in NLPCC 2019
中国计算机学会
5+阅读 · 2019年3月22日
人工智能 | SCI期刊专刊/国际会议信息7条
Call4Papers
7+阅读 · 2019年3月12日
IEEE | DSC 2019诚邀稿件 (EI检索)
Call4Papers
10+阅读 · 2019年2月25日
人工智能 | SCI期刊专刊信息3条
Call4Papers
5+阅读 · 2019年1月10日
Unsupervised Learning via Meta-Learning
CreateAMind
43+阅读 · 2019年1月3日
A Technical Overview of AI & ML in 2018 & Trends for 2019
待字闺中
18+阅读 · 2018年12月24日
Disentangled的假设的探讨
CreateAMind
9+阅读 · 2018年12月10日
人工智能 | 国际会议/SCI期刊约稿信息9条
Call4Papers
3+阅读 · 2018年1月12日
Top
微信扫码咨询专知VIP会员