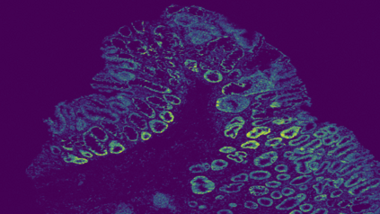
The usage of chemical imaging technologies is becoming a routine accompaniment to traditional methods in pathology. Significant technological advances have developed these next generation techniques to provide rich, spatially resolved, multidimensional chemical images. The rise of digital pathology has significantly enhanced the synergy of these imaging modalities with optical microscopy and immunohistochemistry, enhancing our understanding of the biological mechanisms and progression of diseases. Techniques such as imaging mass cytometry provide labelled multidimensional (multiplex) images of specific components used in conjunction with digital pathology techniques. These powerful techniques generate a wealth of high dimensional data that create significant challenges in data analysis. Unsupervised methods such as clustering are an attractive way to analyse these data, however, they require the selection of parameters such as the number of clusters. Here we propose a methodology to estimate the number of clusters in an automatic data-driven manner using a deep sparse autoencoder to embed the data into a lower dimensional space. We compute the density of regions in the embedded space, the majority of which are empty, enabling the high density regions to be detected as outliers and provide an estimate for the number of clusters. This framework provides a fully unsupervised and data-driven method to analyse multidimensional data. In this work we demonstrate our method using 45 multiplex imaging mass cytometry datasets. Moreover, our model is trained using only one of the datasets and the learned embedding is applied to the remaining 44 images providing an efficient process for data analysis. Finally, we demonstrate the high computational efficiency of our method which is two orders of magnitude faster than estimating via computing the sum squared distances as a function of cluster number.


翻译:化学成像技术的使用正在成为一种日常的与传统病理学方法相配套的化学成像技术。重要的技术进步已经发展了这些下一代技术,以提供丰富的、空间溶解的、多层面的化学图像。数字病理学的崛起大大加强了这些成像模式与光学显微镜和免疫物理化学的协同作用,增进了我们对生物机制和疾病演变的了解。成像质量细胞测量等技术提供了与数字病理学技术同时使用的具体组成部分的标记的多维(多维)图像。这些强大的技术产生了大量高维数据,在数据分析方面造成了巨大的挑战。但是,群集等不受监督的方法是分析这些数据的诱人的方法,但是,它们需要选择诸如集组数等参数。我们在这里提出一种方法,用一种极稀疏的自动电解码将数据嵌入一个更低的宇宙空间。我们只能比较嵌入空间的区域的密度,其中多数是空的,使得高密度区域能够被检测为外端数据分析的外端,并且通过多维的距离提供我们所了解的数据的精确数据分析,这是我们用一种最后的方法对数据进行数据分析的计算。这个数据分析的模型的计算,这是一种我们用来用来进行一个完整的计算。我们用一个数字的计算。我们用一个数字的快速的数据的计算。我们用一个数字来进行一个完整的计算。我们用一个完整的数据分析的计算。这个方法来充分的计算。

0
下载
关闭预览

相关内容

不可错过!《机器学习100讲》课程,UBC Mark Schmidt讲授
专知会员服务
76+阅读 · 2022年6月28日
强化学习最新教程,17页pdf
专知会员服务
182+阅读 · 2019年10月11日
[综述]深度学习下的场景文本检测与识别
专知会员服务
78+阅读 · 2019年10月10日
【SIGGRAPH2019】TensorFlow 2.0深度学习计算机图形学应用
专知会员服务
41+阅读 · 2019年10月9日
AIART 2022 Call for Papers
CCF多媒体专委会
1+阅读 · 2022年2月13日
【ICIG2021】Check out the hot new trailer of ICIG2021 Symposium9
中国图象图形学学会CSIG
0+阅读 · 2021年12月17日
【ICIG2021】Check out the hot new trailer of ICIG2021 Symposium8
中国图象图形学学会CSIG
0+阅读 · 2021年11月16日
【ICIG2021】Check out the hot new trailer of ICIG2021 Symposium6
中国图象图形学学会CSIG
2+阅读 · 2021年11月12日
【ICIG2021】Check out the hot new trailer of ICIG2021 Symposium5
中国图象图形学学会CSIG
1+阅读 · 2021年11月11日
【ICIG2021】Check out the hot new trailer of ICIG2021 Symposium4
中国图象图形学学会CSIG
0+阅读 · 2021年11月10日
【ICIG2021】Check out the hot new trailer of ICIG2021 Symposium3
中国图象图形学学会CSIG
0+阅读 · 2021年11月9日
【ICIG2021】Check out the hot new trailer of ICIG2021 Symposium2
中国图象图形学学会CSIG
0+阅读 · 2021年11月8日
【ICIG2021】Check out the hot new trailer of ICIG2021 Symposium1
中国图象图形学学会CSIG
0+阅读 · 2021年11月3日
A Technical Overview of AI & ML in 2018 & Trends for 2019
待字闺中
18+阅读 · 2018年12月24日
国家自然科学基金
0+阅读 · 2015年12月31日
国家自然科学基金
0+阅读 · 2015年12月31日
国家自然科学基金
0+阅读 · 2013年12月31日
国家自然科学基金
0+阅读 · 2013年12月31日
国家自然科学基金
0+阅读 · 2009年12月31日
国家自然科学基金
0+阅读 · 2009年12月31日
Arxiv
0+阅读 · 2022年9月16日
Arxiv
19+阅读 · 2022年7月29日
Arxiv
39+阅读 · 2021年11月11日
Arxiv
24+阅读 · 2021年3月4日
VIP会员
相关资讯
AIART 2022 Call for Papers
CCF多媒体专委会
1+阅读 · 2022年2月13日
【ICIG2021】Check out the hot new trailer of ICIG2021 Symposium9
中国图象图形学学会CSIG
0+阅读 · 2021年12月17日
【ICIG2021】Check out the hot new trailer of ICIG2021 Symposium8
中国图象图形学学会CSIG
0+阅读 · 2021年11月16日
【ICIG2021】Check out the hot new trailer of ICIG2021 Symposium6
中国图象图形学学会CSIG
2+阅读 · 2021年11月12日
【ICIG2021】Check out the hot new trailer of ICIG2021 Symposium5
中国图象图形学学会CSIG
1+阅读 · 2021年11月11日
【ICIG2021】Check out the hot new trailer of ICIG2021 Symposium4
中国图象图形学学会CSIG
0+阅读 · 2021年11月10日
【ICIG2021】Check out the hot new trailer of ICIG2021 Symposium3
中国图象图形学学会CSIG
0+阅读 · 2021年11月9日
【ICIG2021】Check out the hot new trailer of ICIG2021 Symposium2
中国图象图形学学会CSIG
0+阅读 · 2021年11月8日
【ICIG2021】Check out the hot new trailer of ICIG2021 Symposium1
中国图象图形学学会CSIG
0+阅读 · 2021年11月3日
A Technical Overview of AI & ML in 2018 & Trends for 2019
待字闺中
18+阅读 · 2018年12月24日
相关基金
国家自然科学基金
0+阅读 · 2015年12月31日
国家自然科学基金
0+阅读 · 2015年12月31日
国家自然科学基金
0+阅读 · 2013年12月31日
国家自然科学基金
0+阅读 · 2013年12月31日
国家自然科学基金
0+阅读 · 2009年12月31日
国家自然科学基金
0+阅读 · 2009年12月31日
Top
微信扫码咨询专知VIP会员