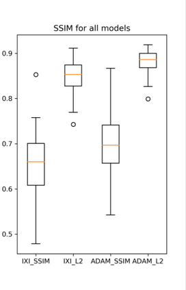
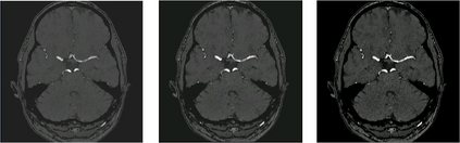
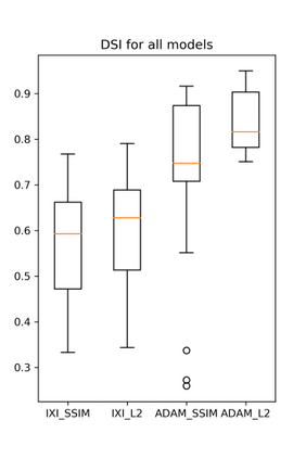
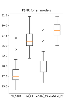
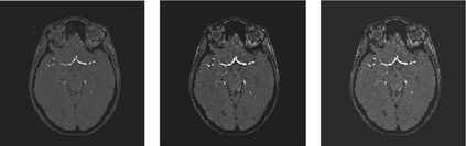
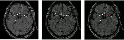
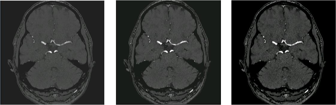
Time-of-Flight Magnetic Resonance Angiographs (TOF-MRAs) enable visualization and analysis of cerebral arteries. This analysis may indicate normal variation of the configuration of the cerebrovascular system or vessel abnormalities, such as aneurysms. A model would be useful to represent normal cerebrovascular structure and variabilities in a healthy population and to differentiate from abnormalities. Current anomaly detection using autoencoding convolutional neural networks usually use a voxelwise mean-error for optimization. We propose optimizing a variational-autoencoder (VAE) with structural similarity loss (SSIM) for TOF-MRA reconstruction. A patch-trained 2D fully-convolutional VAE was optimized for TOF-MRA reconstruction by comparing vessel segmentations of original and reconstructed MRAs. The method was trained and tested on two datasets: the IXI dataset, and a subset from the ADAM challenge. Both trained networks were tested on a dataset including subjects with aneurysms. We compared VAE optimization with L2-loss and SSIM-loss. Performance was evaluated between original and reconstructed MRAs using mean square error, mean-SSIM, peak-signal-to-noise-ratio and dice similarity index (DSI) of segmented vessels. The L2-optimized VAE outperforms SSIM, with improved reconstruction metrics and DSIs for both datasets. Optimization using SSIM performed best for visual image quality, but with discrepancy in quantitative reconstruction and vascular segmentation. The larger, more diverse IXI dataset had overall better performance. Reconstruction metrics, including SSIM, were lower for MRAs including aneurysms. A SSIM-optimized VAE improved the visual perceptive image quality of TOF-MRA reconstructions. A L2-optimized VAE performed best for TOF-MRA reconstruction, where the vascular segmentation is important. SSIM is a potential metric for anomaly detection of MRAs.


翻译:光光磁共振振动动像仪(TOF-MRAs)通常能对大脑动脉进行视觉化和分析。 此分析可能显示脑血管系统或血管异常(如动脉瘤)的配置的正常变化。 一个模型将有利于代表健康人群中的正常脑血管结构和变异性,并区分异常。 目前使用自动解析变异神经网络的异常检测通常使用一种异质性向异质异质性向中位器优化。 我们提议优化一个具有结构相似性的变异-自动振动变异器(VAE),为重建TO-MRA重建提供结构上的变异性。 一个经过补补补的2D全振动性 VAE通过比较原始和再整改的 MMAs 元件部分来优化。 该方法在两个数据集中进行了培训和测试: IXI 改进的数据集,以及 ADAM 挑战的子组。 两种经过训练的网络都是在包含 EurysIM- Redia Redia Redia- remacial 和SMA 进行原始的变现性变压数据,我们用S- 和SMADRAVADRAD 进行进行了分析。

0
下载
关闭预览

相关内容

专知会员服务
45+阅读 · 2020年12月18日
【DeepMind】强化学习教程,83页ppt
专知会员服务
158+阅读 · 2020年8月7日
一份简单《图神经网络》教程,28页ppt
专知会员服务
127+阅读 · 2020年8月2日
自动结构变分推理,Automatic structured variational inference
专知会员服务
41+阅读 · 2020年2月10日
源码解析 | 图像质量损失函数SSIM Loss的原理详解和代码具体实现
人工智能前沿讲习班
7+阅读 · 2019年6月2日
Hierarchically Structured Meta-learning
CreateAMind
27+阅读 · 2019年5月22日
Unsupervised Learning via Meta-Learning
CreateAMind
43+阅读 · 2019年1月3日
Disentangled的假设的探讨
CreateAMind
9+阅读 · 2018年12月10日
disentangled-representation-papers
CreateAMind
26+阅读 · 2018年9月12日
vae 相关论文 表示学习 1
CreateAMind
12+阅读 · 2018年9月6日
计算机视觉近一年进展综述
机器学习研究会
9+阅读 · 2017年11月25日
【论文】变分推断(Variational inference)的总结
机器学习研究会
39+阅读 · 2017年11月16日
Adversarial Variational Bayes: Unifying VAE and GAN 代码
CreateAMind
7+阅读 · 2017年10月4日
Auto-Encoding GAN
CreateAMind
7+阅读 · 2017年8月4日
q-Space Novelty Detection with Variational Autoencoders
Arxiv
5+阅读 · 2018年1月17日
Arxiv
9+阅读 · 2018年1月4日
VIP会员
相关资讯
源码解析 | 图像质量损失函数SSIM Loss的原理详解和代码具体实现
人工智能前沿讲习班
7+阅读 · 2019年6月2日
Hierarchically Structured Meta-learning
CreateAMind
27+阅读 · 2019年5月22日
Unsupervised Learning via Meta-Learning
CreateAMind
43+阅读 · 2019年1月3日
Disentangled的假设的探讨
CreateAMind
9+阅读 · 2018年12月10日
disentangled-representation-papers
CreateAMind
26+阅读 · 2018年9月12日
vae 相关论文 表示学习 1
CreateAMind
12+阅读 · 2018年9月6日
计算机视觉近一年进展综述
机器学习研究会
9+阅读 · 2017年11月25日
【论文】变分推断(Variational inference)的总结
机器学习研究会
39+阅读 · 2017年11月16日
Adversarial Variational Bayes: Unifying VAE and GAN 代码
CreateAMind
7+阅读 · 2017年10月4日
Auto-Encoding GAN
CreateAMind
7+阅读 · 2017年8月4日
Top
微信扫码咨询专知VIP会员