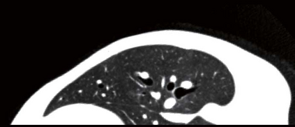
Recent advances in imaging techniques have enabled us to visualize lung tumors or nodules in early-stage cancer. However, the positions of nodules can change because of intraoperative lung deflation, and the modeling of pneumothorax-associated deformation remains a challenging issue for intraoperative tumor localization. In this study, we introduce spatial and geometric analysis methods for inflated/deflated lungs and discuss heterogeneity in pneumothorax-associated deformation. Contrast-enhanced CT images simulating intraoperative conditions were acquired from live Beagle dogs. Deformable mesh registration techniques were designed to map the surface and subsurface tissues of lung lobes. The developed framework addressed local mismatches of bronchial tree structures and achieved stable registration with a Hausdorff distance of less than 1 mm and a target registration error of less than 5 mm. Our results show that the strain of lung parenchyma was 35% higher than that of bronchi, and that subsurface deformation in the deflated lung is heterogeneous.


翻译:成像技术的最新进展使我们得以在早期癌症中直视肺肿瘤或结核;然而,结核的位置会因手术期间肺部通缩而发生变化,而肺炎球菌相关畸形的模型化仍然是手术期间肿瘤局部化的一个棘手问题;在这项研究中,我们对膨胀/减缩肺部引入了空间和几何分析方法,并讨论了肺炎球菌相关变形中的异质性;从活的比格尔犬中获取了刺激内脏条件的增强的CT图像;设计了变形网状网状登记技术,以绘制肺窝的表层和表层组织图;开发了框架,解决了支气管树结构的局部不匹配问题,实现了稳定注册,Hausdorff距离小于1毫米,目标登记误差小于5毫米;我们的结果显示,肺中枢裂变的压力比青菜高35%,消化肺中的表层变异是各异的。

0
下载
关闭预览

相关内容

LESS 是一个开源的样式语言,受到 Sass 的影响。严格来说,LESS 是一个嵌套的元语言,符合语法规范的 CSS 语句也是符合规范的 Less 代码。
计算机 | 入门级EI会议ICVRIS 2019诚邀稿件
Call4Papers
10+阅读 · 2019年6月24日
【泡泡汇总】CVPR2019 SLAM Paperlist
泡泡机器人SLAM
14+阅读 · 2019年6月12日
Hierarchically Structured Meta-learning
CreateAMind
27+阅读 · 2019年5月22日
计算机 | CCF推荐期刊专刊信息5条
Call4Papers
3+阅读 · 2019年4月10日
【TED】生命中的每一年的智慧
英语演讲视频每日一推
10+阅读 · 2019年1月29日
强化学习的Unsupervised Meta-Learning
CreateAMind
18+阅读 · 2019年1月7日
Unsupervised Learning via Meta-Learning
CreateAMind
43+阅读 · 2019年1月3日
计算机类 | 国际会议信息7条
Call4Papers
3+阅读 · 2017年11月17日
深度学习医学图像分析文献集
机器学习研究会
19+阅读 · 2017年10月13日
Adversarial Variational Bayes: Unifying VAE and GAN 代码
CreateAMind
7+阅读 · 2017年10月4日
Arxiv
0+阅读 · 2020年11月23日
Arxiv
4+阅读 · 2018年4月26日
VIP会员
相关VIP内容
相关资讯
计算机 | 入门级EI会议ICVRIS 2019诚邀稿件
Call4Papers
10+阅读 · 2019年6月24日
【泡泡汇总】CVPR2019 SLAM Paperlist
泡泡机器人SLAM
14+阅读 · 2019年6月12日
Hierarchically Structured Meta-learning
CreateAMind
27+阅读 · 2019年5月22日
计算机 | CCF推荐期刊专刊信息5条
Call4Papers
3+阅读 · 2019年4月10日
【TED】生命中的每一年的智慧
英语演讲视频每日一推
10+阅读 · 2019年1月29日
强化学习的Unsupervised Meta-Learning
CreateAMind
18+阅读 · 2019年1月7日
Unsupervised Learning via Meta-Learning
CreateAMind
43+阅读 · 2019年1月3日
计算机类 | 国际会议信息7条
Call4Papers
3+阅读 · 2017年11月17日
深度学习医学图像分析文献集
机器学习研究会
19+阅读 · 2017年10月13日
Adversarial Variational Bayes: Unifying VAE and GAN 代码
CreateAMind
7+阅读 · 2017年10月4日
Top
微信扫码咨询专知VIP会员