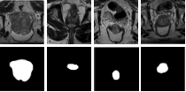
Prostate segmentation from magnetic resonance imaging (MRI) is a challenging task. In recent years, several network architectures have been proposed to automate this process and alleviate the burden of manual annotation. Although the performance of these models has achieved promising results, there is still room for improvement before these models can be used safely and effectively in clinical practice. One of the major challenges in prostate MR image segmentation is the presence of class imbalance in the image labels where the background pixels dominate over the prostate. In the present work we propose a DL-based pipeline for cropping the region around the prostate from MRI images to produce a more balanced distribution of the foreground pixels (prostate) and the background pixels and improve segmentation accuracy. The effect of DL-cropping for improving the segmentation performance compared to standard center-cropping is assessed using five popular DL networks for prostate segmentation, namely U-net, U-net+, Res Unet++, Bridge U-net and Dense U-net. The proposed smart-cropping outperformed the standard center cropping in terms of segmentation accuracy for all the evaluated prostate segmentation networks. In terms of Dice score, the highest improvement was achieved for the U-net+ and ResU-net++ architectures corresponding to 8.9% and 8%, respectively.


翻译:磁共振成像(MRI)的推进分解是一项艰巨的任务。近年来,一些网络结构已经提出,旨在将这一过程自动化并减轻人工批注的负担。虽然这些模型的性能已经取得了令人乐观的成果,但在这些模型能够安全有效地用于临床实践方面仍有改进的余地。前列腺磁共振成像(MRI)的图像分解方面的主要挑战之一是,在前列腺以背景像素为主的图像标签中存在阶级不平衡。在目前的工作中,我们提议建立一个基于DL的管道,用于将原列腺周围的区域从MRI图像中植入DL,以产生更均衡地分配地表层像素(Prostate)和背景像素以及提高分解精度。DL为改进分解性功能与标准中心抽查相比,其效果是使用五种流行的成像分解成像网络,即U-net、Unet+、Res Unet+、Bridge U-net 和Dense U-net Net。拟议的智能筛选超越了前列核中心点分布中心,分别将U-9的成正段网络的中央结构条件提高到了最高分化为8+ 和正位图。对正成的精确度,用于所有评价。

0
下载
关闭预览

相关内容

MATLAB玩转深度学习?新书「MATLAB Deep Learning」162页pdf
专知会员服务
103+阅读 · 2020年1月13日
深度学习界圣经“花书”《Deep Learning》中文版来了
专知会员服务
240+阅读 · 2019年10月26日
Keras François Chollet 《Deep Learning with Python 》, 386页pdf
专知会员服务
161+阅读 · 2019年10月12日
A Technical Overview of AI & ML in 2018 & Trends for 2019
待字闺中
18+阅读 · 2018年12月24日
计算机视觉领域顶会CVPR 2018 接受论文列表
(TensorFlow)实时语义分割比较研究
机器学习研究会
9+阅读 · 2018年3月12日
【推荐】Kaggle机器学习数据集推荐
机器学习研究会
8+阅读 · 2017年11月19日
【推荐】YOLO实时目标检测(6fps)
机器学习研究会
20+阅读 · 2017年11月5日
【推荐】深度学习目标检测概览
机器学习研究会
10+阅读 · 2017年9月1日
【推荐】全卷积语义分割综述
机器学习研究会
19+阅读 · 2017年8月31日
【推荐】图像分类必读开创性论文汇总
机器学习研究会
14+阅读 · 2017年8月15日
Image Segmentation Using Deep Learning: A Survey
Arxiv
47+阅读 · 2020年1月15日
Deep learning for cardiac image segmentation: A review
Arxiv
21+阅读 · 2019年11月9日
VIP会员
相关VIP内容
MATLAB玩转深度学习?新书「MATLAB Deep Learning」162页pdf
专知会员服务
103+阅读 · 2020年1月13日
深度学习界圣经“花书”《Deep Learning》中文版来了
专知会员服务
240+阅读 · 2019年10月26日
Keras François Chollet 《Deep Learning with Python 》, 386页pdf
专知会员服务
161+阅读 · 2019年10月12日
相关资讯
A Technical Overview of AI & ML in 2018 & Trends for 2019
待字闺中
18+阅读 · 2018年12月24日
计算机视觉领域顶会CVPR 2018 接受论文列表
(TensorFlow)实时语义分割比较研究
机器学习研究会
9+阅读 · 2018年3月12日
【推荐】Kaggle机器学习数据集推荐
机器学习研究会
8+阅读 · 2017年11月19日
【推荐】YOLO实时目标检测(6fps)
机器学习研究会
20+阅读 · 2017年11月5日
【推荐】深度学习目标检测概览
机器学习研究会
10+阅读 · 2017年9月1日
【推荐】全卷积语义分割综述
机器学习研究会
19+阅读 · 2017年8月31日
【推荐】图像分类必读开创性论文汇总
机器学习研究会
14+阅读 · 2017年8月15日
Top
微信扫码咨询专知VIP会员