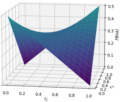
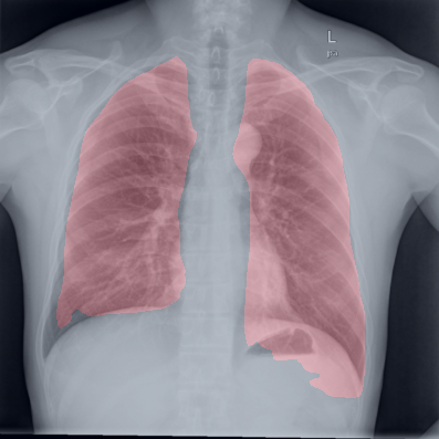
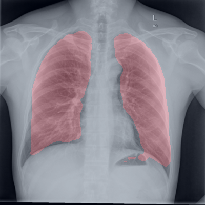
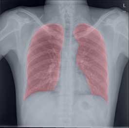
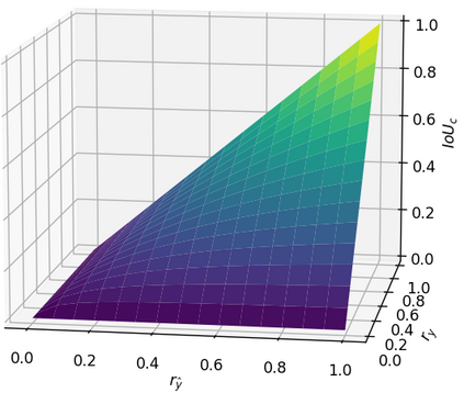
Few-shot segmentation performance declines substantially when facing images from a domain different than the training domain, effectively limiting real-world use cases. To alleviate this, recently cross-domain few-shot segmentation (CD-FSS) has emerged. Works that address this task mainly attempted to learn segmentation on a source domain in a manner that generalizes across domains. Surprisingly, we can outperform these approaches while eliminating the training stage and removing their main segmentation network. We show test-time task-adaption is the key for successful CD-FSS instead. Task-adaption is achieved by appending small networks to the feature pyramid of a conventionally classification-pretrained backbone. To avoid overfitting to the few labeled samples in supervised fine-tuning, consistency across augmented views of input images serves as guidance while learning the parameters of the attached layers. Despite our self-restriction not to use any images other than the few labeled samples at test time, we achieve new state-of-the-art performance in CD-FSS, evidencing the need to rethink approaches for the task.


翻译:暂无翻译

0
下载
关闭预览

相关内容

小样本学习(Few-Shot Learning,以下简称 FSL )用于解决当可用的数据量比较少时,如何提升神经网络的性能。在 FSL 中,经常用到的一类方法被称为 Meta-learning。和普通的神经网络的训练方法一样,Meta-learning 也包含训练过程和测试过程,但是它的训练过程被称作 Meta-training 和 Meta-testing。
FlowQA: Grasping Flow in History for Conversational Machine Comprehension
专知会员服务
34+阅读 · 2019年10月18日
Keras François Chollet 《Deep Learning with Python 》, 386页pdf
专知会员服务
163+阅读 · 2019年10月12日
Transferring Knowledge across Learning Processes
CreateAMind
29+阅读 · 2019年5月18日
Unsupervised Learning via Meta-Learning
CreateAMind
43+阅读 · 2019年1月3日
STRCF for Visual Object Tracking
统计学习与视觉计算组
15+阅读 · 2018年5月29日
Focal Loss for Dense Object Detection
统计学习与视觉计算组
12+阅读 · 2018年3月15日
IJCAI | Cascade Dynamics Modeling with Attention-based RNN
KingsGarden
13+阅读 · 2017年7月16日
国家自然科学基金
13+阅读 · 2017年12月31日
国家自然科学基金
2+阅读 · 2015年12月31日
国家自然科学基金
2+阅读 · 2015年12月31日
国家自然科学基金
0+阅读 · 2014年12月31日
Arxiv
0+阅读 · 2024年6月27日
VIP会员
相关资讯
Transferring Knowledge across Learning Processes
CreateAMind
29+阅读 · 2019年5月18日
Unsupervised Learning via Meta-Learning
CreateAMind
43+阅读 · 2019年1月3日
STRCF for Visual Object Tracking
统计学习与视觉计算组
15+阅读 · 2018年5月29日
Focal Loss for Dense Object Detection
统计学习与视觉计算组
12+阅读 · 2018年3月15日
IJCAI | Cascade Dynamics Modeling with Attention-based RNN
KingsGarden
13+阅读 · 2017年7月16日
相关基金
国家自然科学基金
13+阅读 · 2017年12月31日
国家自然科学基金
2+阅读 · 2015年12月31日
国家自然科学基金
2+阅读 · 2015年12月31日
国家自然科学基金
0+阅读 · 2014年12月31日
Top
微信扫码咨询专知VIP会员