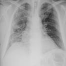
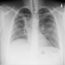
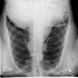
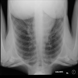
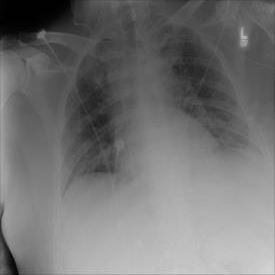
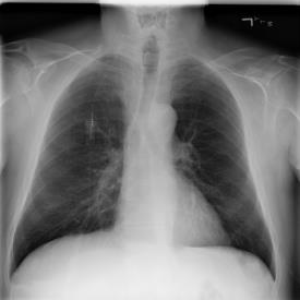
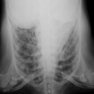
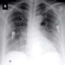
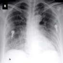
The COVID-19 disease was first discovered in Wuhan, China, and spread quickly worldwide. After the COVID-19 pandemic, many researchers have begun to identify a way to diagnose the COVID-19 using chest X-ray images. The early diagnosis of this disease can significantly impact the treatment process. In this article, we propose a new technique that is faster and more accurate than the other methods reported in the literature. The proposed method uses a combination of DenseNet169 and MobileNet Deep Neural Networks to extract the features of the patient's X-ray images. Using the univariate feature selection algorithm, we refined the features for the most important ones. Then we applied the selected features as input to the LightGBM (Light Gradient Boosting Machine) algorithm for classification. To assess the effectiveness of the proposed method, the ChestX-ray8 dataset, which includes 1125 X-ray images of the patient's chest, was used. The proposed method achieved 98.54% and 91.11% accuracies in the two-class (COVID-19, Healthy) and multi-class (COVID-19, Healthy, Pneumonia) classification problems, respectively. It is worth mentioning that we have used Gradient-weighted Class Activation Mapping (Grad-CAM) for further analysis.


翻译:COVID-19 疾病在中国武汉首次发现,并迅速蔓延到全世界。在COVID-19 流行病后,许多研究人员开始寻找一种方法,利用胸前X光图像诊断COVID-19 。早期诊断该疾病可以大大影响治疗过程。在本篇文章中,我们提出了一种比文献中报告的其他方法更快和更准确的新方法。拟议方法使用DenseNet169 和移动网络深神经网络的组合来提取病人X光图像的特征。在使用单向特征选择算法后,我们改进了最重要的特征。然后,我们将选定特征用作对光GBM(轻度推动机)算法的投入。为评估拟议方法的有效性,使用了ChestX-光8 数据集,其中包括病人胸部的1125 X光图像。拟议方法在两类(COVID-19,健康价值)和多级(COVID-19)中达到了98.54%和91.11%的缩略图。我们分别使用了“高度”的GRAMA-GRA级(C) 分别用于健康等级分析。

0
下载
关闭预览

相关内容

零样本文本分类,Zero-Shot Learning for Text Classification
专知会员服务
97+阅读 · 2020年5月31日
Keras François Chollet 《Deep Learning with Python 》, 386页pdf
专知会员服务
161+阅读 · 2019年10月12日
[综述]深度学习下的场景文本检测与识别
专知会员服务
78+阅读 · 2019年10月10日
机器学习入门的经验与建议
专知会员服务
94+阅读 · 2019年10月10日
【SIGGRAPH2019】TensorFlow 2.0深度学习计算机图形学应用
专知会员服务
41+阅读 · 2019年10月9日
【ICIG2021】Check out the hot new trailer of ICIG2021 Symposium9
中国图象图形学学会CSIG
0+阅读 · 2021年12月17日
【ICIG2021】Check out the hot new trailer of ICIG2021 Symposium6
中国图象图形学学会CSIG
2+阅读 · 2021年11月12日
【ICIG2021】Check out the hot new trailer of ICIG2021 Symposium4
中国图象图形学学会CSIG
0+阅读 · 2021年11月10日
【ICIG2021】Check out the hot new trailer of ICIG2021 Symposium2
中国图象图形学学会CSIG
0+阅读 · 2021年11月8日
【ICIG2021】Check out the hot new trailer of ICIG2021 Symposium1
中国图象图形学学会CSIG
0+阅读 · 2021年11月3日
Hierarchically Structured Meta-learning
CreateAMind
27+阅读 · 2019年5月22日
Transferring Knowledge across Learning Processes
CreateAMind
29+阅读 · 2019年5月18日
Unsupervised Learning via Meta-Learning
CreateAMind
43+阅读 · 2019年1月3日
A Technical Overview of AI & ML in 2018 & Trends for 2019
待字闺中
18+阅读 · 2018年12月24日
【推荐】ResNet, AlexNet, VGG, Inception:各种卷积网络架构的理解
机器学习研究会
20+阅读 · 2017年12月17日
国家自然科学基金
0+阅读 · 2014年12月31日
国家自然科学基金
0+阅读 · 2013年12月31日
国家自然科学基金
0+阅读 · 2013年12月31日
国家自然科学基金
0+阅读 · 2013年12月31日
国家自然科学基金
0+阅读 · 2012年12月31日
国家自然科学基金
0+阅读 · 2011年12月31日
国家自然科学基金
0+阅读 · 2008年12月31日
国家自然科学基金
1+阅读 · 2008年12月31日
国家自然科学基金
0+阅读 · 2008年12月31日
Arxiv
23+阅读 · 2022年2月24日
Arxiv
15+阅读 · 2019年6月25日
VIP会员
相关资讯
【ICIG2021】Check out the hot new trailer of ICIG2021 Symposium9
中国图象图形学学会CSIG
0+阅读 · 2021年12月17日
【ICIG2021】Check out the hot new trailer of ICIG2021 Symposium6
中国图象图形学学会CSIG
2+阅读 · 2021年11月12日
【ICIG2021】Check out the hot new trailer of ICIG2021 Symposium4
中国图象图形学学会CSIG
0+阅读 · 2021年11月10日
【ICIG2021】Check out the hot new trailer of ICIG2021 Symposium2
中国图象图形学学会CSIG
0+阅读 · 2021年11月8日
【ICIG2021】Check out the hot new trailer of ICIG2021 Symposium1
中国图象图形学学会CSIG
0+阅读 · 2021年11月3日
Hierarchically Structured Meta-learning
CreateAMind
27+阅读 · 2019年5月22日
Transferring Knowledge across Learning Processes
CreateAMind
29+阅读 · 2019年5月18日
Unsupervised Learning via Meta-Learning
CreateAMind
43+阅读 · 2019年1月3日
A Technical Overview of AI & ML in 2018 & Trends for 2019
待字闺中
18+阅读 · 2018年12月24日
【推荐】ResNet, AlexNet, VGG, Inception:各种卷积网络架构的理解
机器学习研究会
20+阅读 · 2017年12月17日
相关基金
国家自然科学基金
0+阅读 · 2014年12月31日
国家自然科学基金
0+阅读 · 2013年12月31日
国家自然科学基金
0+阅读 · 2013年12月31日
国家自然科学基金
0+阅读 · 2013年12月31日
国家自然科学基金
0+阅读 · 2012年12月31日
国家自然科学基金
0+阅读 · 2011年12月31日
国家自然科学基金
0+阅读 · 2008年12月31日
国家自然科学基金
1+阅读 · 2008年12月31日
国家自然科学基金
0+阅读 · 2008年12月31日
Top
微信扫码咨询专知VIP会员