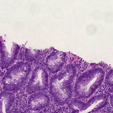
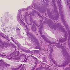
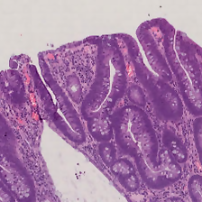
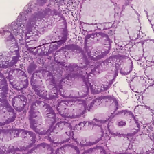
Histopathological characterization of colorectal polyps allows to tailor patients' management and follow up with the ultimate aim of avoiding or promptly detecting an invasive carcinoma. Colorectal polyps characterization relies on the histological analysis of tissue samples to determine the polyps malignancy and dysplasia grade. Deep neural networks achieve outstanding accuracy in medical patterns recognition, however they require large sets of annotated training images. We introduce UniToPatho, an annotated dataset of 9536 hematoxylin and eosin (H&E) stained patches extracted from 292 whole-slide images, meant for training deep neural networks for colorectal polyps classification and adenomas grading. We present our dataset and provide insights on how to tackle the problem of automatic colorectal polyps characterization.


翻译:对直肠切片的生理病理学定性使得病人能够调整管理,并采取后续行动,最终目的是避免或迅速发现侵袭性肿瘤。直肠切片特征取决于组织样本的生理分析,以确定多胞胎恶性细胞和变性等级。深神经网络在医学模式识别方面达到了极佳的准确性,然而,它们需要大量的附加说明的培训图像。我们引入了UniToPatho,这是一个由9536位乙氧素和埃索因(H&E)相片提取的附加说明的数据集,由9536位全状细胞相片和埃索因(H&E)相片组成,用于培训深神经网络进行色切切多胞和腺瘤分类。我们介绍我们的数据集,并就如何解决自动断层多胞特征鉴定问题提供见解。

0
下载
关闭预览

相关内容

数据集,又称为资料集、数据集合或资料集合,是一种由数据所组成的集合。
Data set(或dataset)是一个数据的集合,通常以表格形式出现。每一列代表一个特定变量。每一行都对应于某一成员的数据集的问题。它列出的价值观为每一个变量,如身高和体重的一个物体或价值的随机数。每个数值被称为数据资料。对应于行数,该数据集的数据可能包括一个或多个成员。
[综述]深度学习下的场景文本检测与识别
专知会员服务
78+阅读 · 2019年10月10日
学习自然语言处理路线图
专知会员服务
140+阅读 · 2019年9月24日
Hierarchically Structured Meta-learning
CreateAMind
27+阅读 · 2019年5月22日
计算机视觉的不同任务
专知
5+阅读 · 2018年8月27日
【推荐】全卷积语义分割综述
机器学习研究会
19+阅读 · 2017年8月31日
已删除
将门创投
6+阅读 · 2017年7月6日
VIP会员
相关资讯
Hierarchically Structured Meta-learning
CreateAMind
27+阅读 · 2019年5月22日
计算机视觉的不同任务
专知
5+阅读 · 2018年8月27日
【推荐】全卷积语义分割综述
机器学习研究会
19+阅读 · 2017年8月31日
已删除
将门创投
6+阅读 · 2017年7月6日
Top
微信扫码咨询专知VIP会员