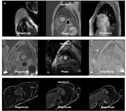
Objectives: To develop an image-based automatic deep learning method to classify cardiac MR images by sequence type and imaging plane for improved clinical post-processing efficiency. Methods: Multi-vendor cardiac MRI studies were retrospectively collected from 4 centres and 3 vendors. A two-head convolutional neural network ('CardiSort') was trained to classify 35 sequences by imaging sequence (n=17) and plane (n=10). Single vendor training (SVT) on single centre images (n=234 patients) and multi-vendor training (MVT) with multicentre images (n = 479 patients, 3 centres) was performed. Model accuracy was compared to manual ground truth labels by an expert radiologist on a hold-out test set for both SVT and MVT. External validation of MVT (MVTexternal) was performed on data from 3 previously unseen magnet systems from 2 vendors (n=80 patients). Results: High sequence and plane accuracies were observed for SVT (85.2% and 93.2% respectively), and MVT (96.5% and 98.1% respectively) on the hold-out test set. MVTexternal yielded sequence accuracy of 92.7% and plane accuracy of 93.0%. There was high accuracy for common sequences and conventional cardiac planes. Poor accuracy was observed for underrepresented classes and sequences where there was greater variability in acquisition parameters across centres, such as perfusion imaging. Conclusions: A deep learning network was developed on multivendor data to classify MRI studies into component sequences and planes, with external validation. With refinement, it has potential to improve workflow by enabling automated sequence selection, an important first step in completely automated post-processing pipelines.


翻译:目标:开发一个基于图像的自动深层学习方法,按序列类型和成像平面对心脏MR图像进行分类,以提高临床后处理效率。方法:从4个中心和3个供应商追溯收集了多供应商心脏MRI研究,从4个中心和3个供应商追溯收集了多供应商心脏MRI研究。一个双头神经神经神经神经网络(“卡迪索特”)接受了培训,按照成像序列(n=17)和飞机(n=10)对35个序列进行分类;对单个中心图像(n=234病人)和多中心图像(n=479病人,3个中心)的多品级培训(MVT)进行了分类。模型的准确性与手工地面真实性标签进行了比较。 对MVT(MVT外部)的外部验证,从2个供应商(n=80病人)的3个以前看不见的磁性系统的数据进行。结果:SVT(n=252)和多中心(MVT)的高级序列(分别为85.2%和93.2%),MVT的精度测试(分别为96.5%和98.1级)的精度,对机的精度的精度进行了精确度的精确度测。在正常的精度测试中,在92%的精度中,在正常的精度中,在正常的精度的精度的精度序列中,在92%的精度的精度的精度的精度中进行了。

0
下载
关闭预览

相关内容

Automator是苹果公司为他们的Mac OS X系统开发的一款软件。 只要通过点击拖拽鼠标等操作就可以将一系列动作组合成一个工作流,从而帮助你自动的(可重复的)完成一些复杂的工作。Automator还能横跨很多不同种类的程序,包括:查找器、Safari网络浏览器、iCal、地址簿或者其他的一些程序。它还能和一些第三方的程序一起工作,如微软的Office、Adobe公司的Photoshop或者Pixelmator等。
【ICLR-2020】网络反卷积,NETWORK DECONVOLUTION
专知会员服务
39+阅读 · 2020年2月21日
《DeepGCNs: Making GCNs Go as Deep as CNNs》
专知会员服务
31+阅读 · 2019年10月17日
【SIGGRAPH2019】TensorFlow 2.0深度学习计算机图形学应用
专知会员服务
41+阅读 · 2019年10月9日
图机器学习 2.2-2.4 Properties of Networks, Random Graph
图与推荐
10+阅读 · 2020年3月28日
【TED】生命中的每一年的智慧
英语演讲视频每日一推
10+阅读 · 2019年1月29日
人工智能 | ICAPS 2019等国际会议信息3条
Call4Papers
3+阅读 · 2018年9月28日
计算机视觉领域顶会CVPR 2018 接受论文列表
人工智能 | 国际会议截稿信息9条
Call4Papers
4+阅读 · 2018年3月13日
Capsule Networks解析
机器学习研究会
11+阅读 · 2017年11月12日
【计算机类】期刊专刊/国际会议截稿信息6条
Call4Papers
3+阅读 · 2017年10月13日
强化学习 cartpole_a3c
CreateAMind
9+阅读 · 2017年7月21日
Arxiv
3+阅读 · 2020年4月29日
Deep learning for cardiac image segmentation: A review
Arxiv
21+阅读 · 2019年11月9日
VIP会员
相关VIP内容
【ICLR-2020】网络反卷积,NETWORK DECONVOLUTION
专知会员服务
39+阅读 · 2020年2月21日
《DeepGCNs: Making GCNs Go as Deep as CNNs》
专知会员服务
31+阅读 · 2019年10月17日
【SIGGRAPH2019】TensorFlow 2.0深度学习计算机图形学应用
专知会员服务
41+阅读 · 2019年10月9日
相关资讯
图机器学习 2.2-2.4 Properties of Networks, Random Graph
图与推荐
10+阅读 · 2020年3月28日
【TED】生命中的每一年的智慧
英语演讲视频每日一推
10+阅读 · 2019年1月29日
人工智能 | ICAPS 2019等国际会议信息3条
Call4Papers
3+阅读 · 2018年9月28日
计算机视觉领域顶会CVPR 2018 接受论文列表
人工智能 | 国际会议截稿信息9条
Call4Papers
4+阅读 · 2018年3月13日
Capsule Networks解析
机器学习研究会
11+阅读 · 2017年11月12日
【计算机类】期刊专刊/国际会议截稿信息6条
Call4Papers
3+阅读 · 2017年10月13日
强化学习 cartpole_a3c
CreateAMind
9+阅读 · 2017年7月21日
Top
微信扫码咨询专知VIP会员