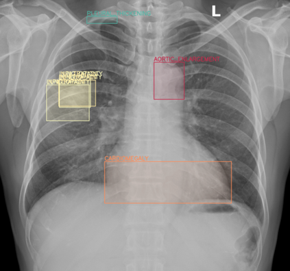
Transfer learning (TL) with deep convolutional neural networks (DCNNs) has proved successful in medical image classification (MIC). However, the current practice is puzzling, as MIC typically relies only on low- and/or mid-level features that are learned in the bottom layers of DCNNs. Following this intuition, we question the current strategies of TL in MIC. In this paper, we perform careful experimental comparisons between shallow and deep networks for classification on two chest x-ray datasets, using different TL strategies. We find that deep models are not always favorable, and finetuning truncated deep models almost always yields the best performance, especially in data-poor regimes. Project webpage: https://github.com/sun-umn/Transfer-Learning-in-Medical-Imaging Keywords: Transfer learning, Medical image classification, Feature hierarchy, Medical imaging, Evaluation metrics, Imbalanced data


翻译:然而,目前的做法令人费解,因为军事工业部通常只依赖在军事工业部底层学习的低层和/或中层特征。根据这种直觉,我们对军事工业部目前技术产业的战略提出质疑。在本文中,我们利用不同的技术部战略,对两个胸前X射线数据集的浅层和深层分类网络进行仔细的实验性比较。我们发现深层模型并非总是有利的,而细微的深层模型几乎总是产生最佳的绩效,特别是在数据贫乏的制度下。项目网页:https://github.com/sun-umn/Transfer-Learch-in-Medical-image Keywords:传输学习、医学图像分类、地貌等级、医学成像、评价指标、均衡数据。

0
下载
关闭预览

相关内容

图像分类,顾名思义,是一个输入图像,输出对该图像内容分类的描述的问题。它是计算机视觉的核心,实际应用广泛。
【干货书】机器学习速查手册,135页pdf
专知会员服务
127+阅读 · 2020年11月20日
零样本文本分类,Zero-Shot Learning for Text Classification
专知会员服务
97+阅读 · 2020年5月31日
100+篇《自监督学习(Self-Supervised Learning)》论文最新合集
专知会员服务
167+阅读 · 2020年3月18日
机器学习入门的经验与建议
专知会员服务
94+阅读 · 2019年10月10日
Transferring Knowledge across Learning Processes
CreateAMind
29+阅读 · 2019年5月18日
ICML2019机器学习顶会接受论文列表!
专知
10+阅读 · 2019年5月12日
Unsupervised Learning via Meta-Learning
CreateAMind
43+阅读 · 2019年1月3日
A Technical Overview of AI & ML in 2018 & Trends for 2019
待字闺中
18+阅读 · 2018年12月24日
Hierarchical Imitation - Reinforcement Learning
CreateAMind
19+阅读 · 2018年5月25日
Hierarchical Disentangled Representations
CreateAMind
4+阅读 · 2018年4月15日
深度学习医学图像分析文献集
机器学习研究会
19+阅读 · 2017年10月13日
强化学习 cartpole_a3c
CreateAMind
9+阅读 · 2017年7月21日
Andrew NG的新书《Machine Learning Yearning》
我爱机器学习
11+阅读 · 2016年12月7日
Deep learning for cardiac image segmentation: A review
Arxiv
21+阅读 · 2019年11月9日
Learning to Weight for Text Classification
Arxiv
8+阅读 · 2019年3月28日
Arxiv
12+阅读 · 2019年3月14日
Arxiv
22+阅读 · 2018年8月30日
VIP会员
相关VIP内容
相关资讯
Transferring Knowledge across Learning Processes
CreateAMind
29+阅读 · 2019年5月18日
ICML2019机器学习顶会接受论文列表!
专知
10+阅读 · 2019年5月12日
Unsupervised Learning via Meta-Learning
CreateAMind
43+阅读 · 2019年1月3日
A Technical Overview of AI & ML in 2018 & Trends for 2019
待字闺中
18+阅读 · 2018年12月24日
Hierarchical Imitation - Reinforcement Learning
CreateAMind
19+阅读 · 2018年5月25日
Hierarchical Disentangled Representations
CreateAMind
4+阅读 · 2018年4月15日
深度学习医学图像分析文献集
机器学习研究会
19+阅读 · 2017年10月13日
强化学习 cartpole_a3c
CreateAMind
9+阅读 · 2017年7月21日
Andrew NG的新书《Machine Learning Yearning》
我爱机器学习
11+阅读 · 2016年12月7日
Top
微信扫码咨询专知VIP会员