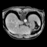
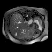
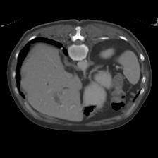
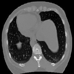
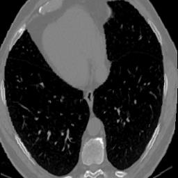
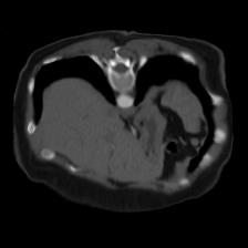
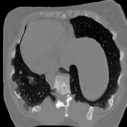
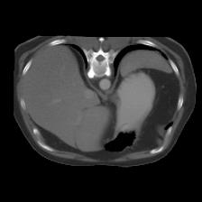
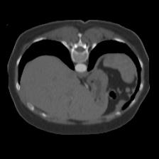
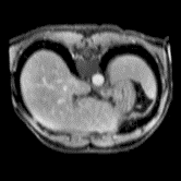
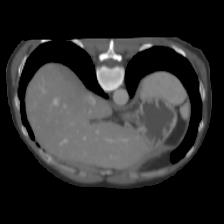
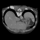
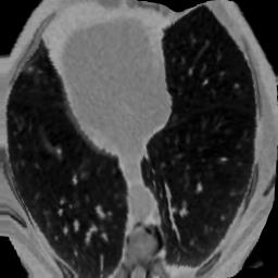
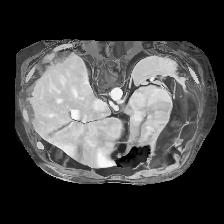
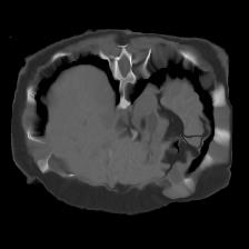
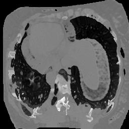
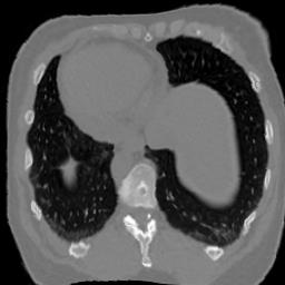
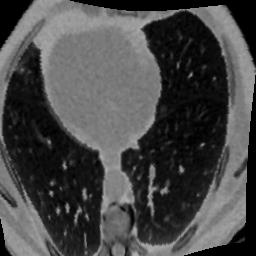
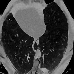
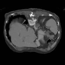
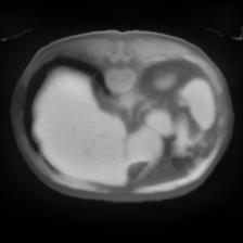
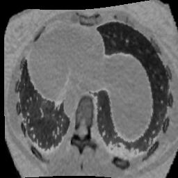
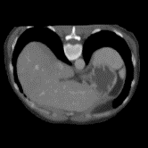
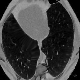
In clinical practice, well-aligned multi-modal images, such as Magnetic Resonance (MR) and Computed Tomography (CT), together can provide complementary information for image-guided therapies. Multi-modal image registration is essential for the accurate alignment of these multi-modal images. However, it remains a very challenging task due to complicated and unknown spatial correspondence between different modalities. In this paper, we propose a novel translation-based unsupervised deformable image registration approach to convert the multi-modal registration problem to a mono-modal one. Specifically, our approach incorporates a discriminator-free translation network to facilitate the training of the registration network and a patchwise contrastive loss to encourage the translation network to preserve object shapes. Furthermore, we propose to replace an adversarial loss, that is widely used in previous multi-modal image registration methods, with a pixel loss in order to integrate the output of translation into the target modality. This leads to an unsupervised method requiring no ground-truth deformation or pairs of aligned images for training. We evaluate four variants of our approach on the public Learn2Reg 2021 datasets \cite{hering2021learn2reg}. The experimental results demonstrate that the proposed architecture achieves state-of-the-art performance. Our code is available at https://github.com/heyblackC/DFMIR.


翻译:在临床实践中,如磁共振(MR)和光谱成像(CT)等非常相近的多模式图像可以一起为图像制导疗法提供补充信息。多模式图像登记对于这些多模式图像的准确匹配至关重要。然而,由于不同模式之间复杂的和未知的空间通信,这仍然是一项非常艰巨的任务。在本文中,我们提议采用新的、基于翻译的、不受监督的变形图像登记方法,将多模式登记问题转换成单一模式。具体地说,我们的方法包括一个无歧视翻译网络,以便利对登记网络的培训,以及一种有偏差的对比性损失,以鼓励翻译网络保存对象形状。此外,我们提议取代在以往多模式图像登记方法中广泛使用的一种对抗性损失,目的是将翻译的输出纳入目标模式。这导致一种不统一的方法,不需要地面图解或对齐图像来进行培训。我们评估了公共学习2MReg20的四种变式方法,我们在公共实验2Regmal-ress productions 2021我们提议的实验性结构中实现了2021号的运行结果。

0
下载
关闭预览

相关内容

图像配准是图像处理研究领域中的一个典型问题和技术难点,其目的在于比较或融合针对同一对象在不同条件下获取的图像,例如图像会来自不同的采集设备,取自不同的时间,不同的拍摄视角等等,有时也需要用到针对不同对象的图像配准问题。具体地说,对于一组图像数据集中的两幅图像,通过寻找一种空间变换把一幅图像映射到另一幅图像,使得两图中对应于空间同一位置的点一一对应起来,从而达到信息融合的目的。 该技术在计算机视觉、医学图像处理以及材料力学等领域都具有广泛的应用。根据具体应用的不同,有的侧重于通过变换结果融合两幅图像,有的侧重于研究变换本身以获得对象的一些力学属性。
100+篇《自监督学习(Self-Supervised Learning)》论文最新合集
专知会员服务
167+阅读 · 2020年3月18日
[综述]深度学习下的场景文本检测与识别
专知会员服务
78+阅读 · 2019年10月10日
VCIP 2022 Call for Demos
CCF多媒体专委会
1+阅读 · 2022年6月6日
ACM TOMM Call for Papers
CCF多媒体专委会
2+阅读 · 2022年3月23日
AIART 2022 Call for Papers
CCF多媒体专委会
1+阅读 · 2022年2月13日
Hierarchically Structured Meta-learning
CreateAMind
27+阅读 · 2019年5月22日
Unsupervised Learning via Meta-Learning
CreateAMind
43+阅读 · 2019年1月3日
A Technical Overview of AI & ML in 2018 & Trends for 2019
待字闺中
18+阅读 · 2018年12月24日
disentangled-representation-papers
CreateAMind
26+阅读 · 2018年9月12日
ResNet, AlexNet, VGG, Inception:各种卷积网络架构的理解
全球人工智能
20+阅读 · 2017年12月17日
国家自然科学基金
2+阅读 · 2015年12月31日
国家自然科学基金
0+阅读 · 2014年12月31日
国家自然科学基金
0+阅读 · 2013年12月31日
国家自然科学基金
0+阅读 · 2013年12月31日
国家自然科学基金
1+阅读 · 2013年12月31日
国家自然科学基金
0+阅读 · 2012年12月31日
国家自然科学基金
0+阅读 · 2011年12月31日
国家自然科学基金
0+阅读 · 2009年12月31日
W-net: Bridged U-net for 2D Medical Image Segmentation
Arxiv
20+阅读 · 2018年7月12日
VIP会员
相关资讯
VCIP 2022 Call for Demos
CCF多媒体专委会
1+阅读 · 2022年6月6日
ACM TOMM Call for Papers
CCF多媒体专委会
2+阅读 · 2022年3月23日
AIART 2022 Call for Papers
CCF多媒体专委会
1+阅读 · 2022年2月13日
Hierarchically Structured Meta-learning
CreateAMind
27+阅读 · 2019年5月22日
Unsupervised Learning via Meta-Learning
CreateAMind
43+阅读 · 2019年1月3日
A Technical Overview of AI & ML in 2018 & Trends for 2019
待字闺中
18+阅读 · 2018年12月24日
disentangled-representation-papers
CreateAMind
26+阅读 · 2018年9月12日
ResNet, AlexNet, VGG, Inception:各种卷积网络架构的理解
全球人工智能
20+阅读 · 2017年12月17日
相关基金
国家自然科学基金
2+阅读 · 2015年12月31日
国家自然科学基金
0+阅读 · 2014年12月31日
国家自然科学基金
0+阅读 · 2013年12月31日
国家自然科学基金
0+阅读 · 2013年12月31日
国家自然科学基金
1+阅读 · 2013年12月31日
国家自然科学基金
0+阅读 · 2012年12月31日
国家自然科学基金
0+阅读 · 2011年12月31日
国家自然科学基金
0+阅读 · 2009年12月31日
Top
微信扫码咨询专知VIP会员