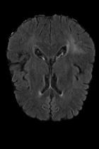
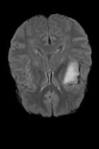
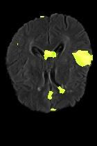
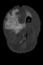
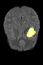
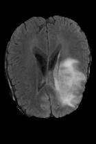
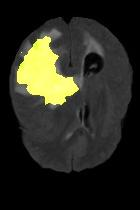
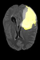
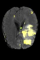
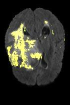
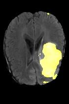
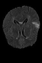
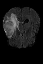
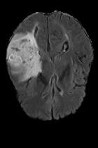
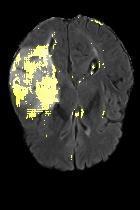
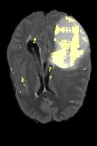
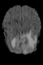
Current unsupervised anomaly localization approaches rely on generative models to learn the distribution of normal images, which is later used to identify potential anomalous regions derived from errors on the reconstructed images. However, a main limitation of nearly all prior literature is the need of employing anomalous images to set a class-specific threshold to locate the anomalies. This limits their usability in realistic scenarios, where only normal data is typically accessible. Despite this major drawback, only a handful of works have addressed this limitation, by integrating supervision on attention maps during training. In this work, we propose a novel formulation that does not require accessing images with abnormalities to define the threshold. Furthermore, and in contrast to very recent work, the proposed constraint is formulated in a more principled manner, leveraging well-known knowledge in constrained optimization. In particular, the equality constraint on the attention maps in prior work is replaced by an inequality constraint, which allows more flexibility. In addition, to address the limitations of penalty-based functions we employ an extension of the popular log-barrier methods to handle the constraint. Comprehensive experiments on the popular BRATS'19 dataset demonstrate that the proposed approach substantially outperforms relevant literature, establishing new state-of-the-art results for unsupervised lesion segmentation.


翻译:目前未受监督的异常本地化方法依靠基因模型来了解正常图像的分布,这些模型后来被用于确定从重建图像错误中得出的潜在异常区域。然而,几乎所有先前文献的主要局限性是,需要使用异常图像来设定一个特定等级的阈值以定位异常。这限制了其在现实情景中的可用性,在现实情景中,只有通常能获取正常数据。尽管存在这一重大缺陷,但只有少数作品通过在培训中整合对关注地图的监督,解决了这一局限性。在这项工作中,我们提议了一种新颖的提法,不要求使用异常图像来界定阈值。此外,与最近的工作相反,拟议的限制是以更加有原则的方式拟订的,在限制优化时利用众所周知的知识。特别是,先前工作中对关注地图的平等性制约被一种不平等性制约所取代,这允许更大的灵活性。此外,为了解决基于惩罚的功能的局限性,我们采用了流行的日志障碍方法来应对这一制约。我们建议对流行的BRATS'19数据设置进行综合实验,这与最近的工作不同,因此,拟议的限制是以更加有原则的方式提出了限制,即拟议的方法大大地超越了相关的分段结果。

0
下载
关闭预览

相关内容

【Google】平滑对抗训练,Smooth Adversarial Training
专知会员服务
49+阅读 · 2020年7月4日
【MIT】反偏差对比学习,Debiased Contrastive Learning
专知会员服务
91+阅读 · 2020年7月4日
【Google】监督对比学习,Supervised Contrastive Learning
专知会员服务
75+阅读 · 2020年4月24日
100+篇《自监督学习(Self-Supervised Learning)》论文最新合集
专知会员服务
167+阅读 · 2020年3月18日
强化学习最新教程,17页pdf
专知会员服务
182+阅读 · 2019年10月11日
Hierarchically Structured Meta-learning
CreateAMind
27+阅读 · 2019年5月22日
Transferring Knowledge across Learning Processes
CreateAMind
29+阅读 · 2019年5月18日
深度自进化聚类:Deep Self-Evolution Clustering
我爱读PAMI
15+阅读 · 2019年4月13日
逆强化学习-学习人先验的动机
CreateAMind
16+阅读 · 2019年1月18日
强化学习的Unsupervised Meta-Learning
CreateAMind
18+阅读 · 2019年1月7日
Unsupervised Learning via Meta-Learning
CreateAMind
43+阅读 · 2019年1月3日
Disentangled的假设的探讨
CreateAMind
9+阅读 · 2018年12月10日
Hierarchical Disentangled Representations
CreateAMind
4+阅读 · 2018年4月15日
计算机视觉近一年进展综述
机器学习研究会
9+阅读 · 2017年11月25日
Auto-Encoding GAN
CreateAMind
7+阅读 · 2017年8月4日
Arxiv
0+阅读 · 2021年10月22日
Deep Co-Training for Semi-Supervised Image Segmentation
VIP会员
相关资讯
Hierarchically Structured Meta-learning
CreateAMind
27+阅读 · 2019年5月22日
Transferring Knowledge across Learning Processes
CreateAMind
29+阅读 · 2019年5月18日
深度自进化聚类:Deep Self-Evolution Clustering
我爱读PAMI
15+阅读 · 2019年4月13日
逆强化学习-学习人先验的动机
CreateAMind
16+阅读 · 2019年1月18日
强化学习的Unsupervised Meta-Learning
CreateAMind
18+阅读 · 2019年1月7日
Unsupervised Learning via Meta-Learning
CreateAMind
43+阅读 · 2019年1月3日
Disentangled的假设的探讨
CreateAMind
9+阅读 · 2018年12月10日
Hierarchical Disentangled Representations
CreateAMind
4+阅读 · 2018年4月15日
计算机视觉近一年进展综述
机器学习研究会
9+阅读 · 2017年11月25日
Auto-Encoding GAN
CreateAMind
7+阅读 · 2017年8月4日
Top
微信扫码咨询专知VIP会员