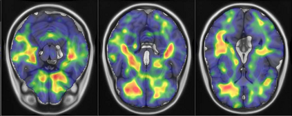
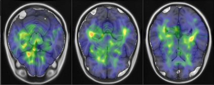
Representational similarity analysis (RSA) is a multivariate technique to investigate cortical representations of objects or constructs. While avoiding ill-posed matrix inversions that plague multivariate approaches in the presence of many outcome variables, it suffers from the confound arising from the non-orthogonality of the design matrix. Here, a partial correlation approach will be explored to adjust for this source of bias by partialling out this confound. A formal analysis will show the dependence of this confound on the temporal correlation model of the sequential observations, motivating a data-driven approach that avoids the problem of misspecification of this model. However, where the autocorrelation locally diverges from the volume average, bias may be difficult to control for exactly (local bias), given the difficulties of estimating the precise form of the confound at each voxel. Application to real data shows the effectiveness of the partial correlation approach, suggesting the impact of local bias to be minor. However, where the control for bias locally fails, possible spurious associations with the similarity matrix of the stimuli may emerge. This limitation may be intrinsic to RSA applied to non-orthogonal designs.


翻译:代表相似性分析(RSA)是一种多变方法,用于调查物体或构造的表面表达方式。在很多结果变量存在的情况下,它避免了困扰多变方法的不正确矩阵倒置,而同时避免了多变方法的多变方法,但它却因设计矩阵的非横向性而感到混乱。在这里,将探索一种部分相关方法,通过偏差来调整这种偏差的来源。正式分析将显示这种混淆对连续观测的时间相关模型的依赖性,鼓励采用一种数据驱动方法,避免这一模型的误分问题。然而,如果本地的自动调节与平均数量不同,则可能难以控制准确的偏差(局部偏差),因为很难估计每个反差的确切形式。对真实数据的应用表明部分关联方法的有效性,表明局部偏差的影响是次要的。然而,如果对偏差的控制失败,则可能出现与该模型的相似性矩阵的误差性联系。这一限制可能是RSA对非纵向设计所固有的。

0
下载
关闭预览

相关内容

元学习(meta learning) 最新进展综述论文
专知会员服务
281+阅读 · 2020年5月8日
和积网络综述论文,Sum-product networks: A survey,24页pdf
专知会员服务
24+阅读 · 2020年4月3日
强化学习最新教程,17页pdf
专知会员服务
182+阅读 · 2019年10月11日
Hierarchically Structured Meta-learning
CreateAMind
27+阅读 · 2019年5月22日
已删除
将门创投
11+阅读 · 2019年4月26日
Unsupervised Learning via Meta-Learning
CreateAMind
43+阅读 · 2019年1月3日
A Technical Overview of AI & ML in 2018 & Trends for 2019
待字闺中
18+阅读 · 2018年12月24日
Disentangled的假设的探讨
CreateAMind
9+阅读 · 2018年12月10日
disentangled-representation-papers
CreateAMind
26+阅读 · 2018年9月12日
Hierarchical Disentangled Representations
CreateAMind
4+阅读 · 2018年4月15日
Arxiv
0+阅读 · 2021年4月8日
VIP会员
相关资讯
Hierarchically Structured Meta-learning
CreateAMind
27+阅读 · 2019年5月22日
已删除
将门创投
11+阅读 · 2019年4月26日
Unsupervised Learning via Meta-Learning
CreateAMind
43+阅读 · 2019年1月3日
A Technical Overview of AI & ML in 2018 & Trends for 2019
待字闺中
18+阅读 · 2018年12月24日
Disentangled的假设的探讨
CreateAMind
9+阅读 · 2018年12月10日
disentangled-representation-papers
CreateAMind
26+阅读 · 2018年9月12日
Hierarchical Disentangled Representations
CreateAMind
4+阅读 · 2018年4月15日
Top
微信扫码咨询专知VIP会员