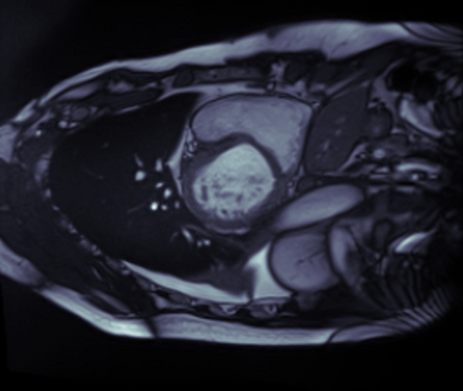
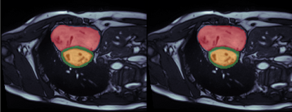
Supervised machine learning provides state-of-the-art solutions to a wide range of computer vision problems. However, the need for copious labelled training data limits the capabilities of these algorithms in scenarios where such input is scarce or expensive. Self-supervised learning offers a way to lower the need for manually annotated data by pretraining models for a specific domain on unlabelled data. In this approach, labelled data are solely required to fine-tune models for downstream tasks. Medical image segmentation is a field where labelling data requires expert knowledge and collecting large labelled datasets is challenging; therefore, self-supervised learning algorithms promise substantial improvements in this field. Despite this, self-supervised learning algorithms are used rarely to pretrain medical image segmentation networks. In this paper, we elaborate and analyse the effectiveness of supervised and self-supervised pretraining approaches on downstream medical image segmentation, focusing on convergence and data efficiency. We find that self-supervised pretraining on natural images and target-domain-specific images leads to the fastest and most stable downstream convergence. In our experiments on the ACDC cardiac segmentation dataset, this pretraining approach achieves 4-5 times faster fine-tuning convergence compared to an ImageNet pretrained model. We also show that this approach requires less than five epochs of pretraining on domain-specific data to achieve such improvement in the downstream convergence time. Finally, we find that, in low-data scenarios, supervised ImageNet pretraining achieves the best accuracy, requiring less than 100 annotated samples to realise close to minimal error.


翻译:受监督的机器学习为一系列广泛的计算机视觉问题提供了最先进的解决方案。然而,由于需要大量贴上标签的培训数据,在这种投入稀缺或昂贵的情况下,这些算法的能力受到限制。自我监督的学习为降低人工附加附加说明数据的需求提供了一种途径,即通过未贴标签数据特定域的预培训模型来降低人工附加附加附加说明数据的需求。在这一方法中,只有贴上标签的数据才能对下游任务模型进行微调。医学图像分割是一个贴标签数据需要专家知识并收集大量标签的网络数据集具有挑战性的领域;因此,自我监督的学习算法有望大大改进该领域的准确性。尽管如此,自我监督的学习算法很少用于预先培养医学图像分割网络网络。在本文中,我们详细阐述并分析下游医学图象分类的监管和自我监督前培训方法的有效性,侧重于趋同和数据效率。我们发现,在自然图像和特定目标域域图象的自我监督前培训中,最慢和最不稳定的预变近于下游趋同。我们在ACDC心脏病分类方法上进行精细的实验中,我们还需要进行最慢的升级前的数据转换。

0
下载
关闭预览

相关内容

【干货书】真实机器学习,264页pdf,Real-World Machine Learning
100+篇《自监督学习(Self-Supervised Learning)》论文最新合集
专知会员服务
167+阅读 · 2020年3月18日
【SIGGRAPH2019】TensorFlow 2.0深度学习计算机图形学应用
专知会员服务
41+阅读 · 2019年10月9日
IEEE ICKG 2022: Call for Papers
机器学习与推荐算法
3+阅读 · 2022年3月30日
ACM MM 2022 Call for Papers
CCF多媒体专委会
5+阅读 · 2022年3月29日
IEEE TII Call For Papers
CCF多媒体专委会
3+阅读 · 2022年3月24日
AIART 2022 Call for Papers
CCF多媒体专委会
1+阅读 · 2022年2月13日
【ICIG2021】Check out the hot new trailer of ICIG2021 Symposium8
中国图象图形学学会CSIG
0+阅读 · 2021年11月16日
【ICIG2021】Check out the hot new trailer of ICIG2021 Symposium2
中国图象图形学学会CSIG
0+阅读 · 2021年11月8日
Hierarchically Structured Meta-learning
CreateAMind
27+阅读 · 2019年5月22日
Unsupervised Learning via Meta-Learning
CreateAMind
43+阅读 · 2019年1月3日
disentangled-representation-papers
CreateAMind
26+阅读 · 2018年9月12日
国家自然科学基金
0+阅读 · 2015年12月31日
国家自然科学基金
1+阅读 · 2013年12月31日
国家自然科学基金
0+阅读 · 2012年12月31日
国家自然科学基金
0+阅读 · 2012年12月31日
国家自然科学基金
0+阅读 · 2011年12月31日
国家自然科学基金
0+阅读 · 2011年12月31日
国家自然科学基金
0+阅读 · 2009年12月31日
Arxiv
17+阅读 · 2020年11月15日
Deep learning for cardiac image segmentation: A review
Arxiv
21+阅读 · 2019年11月9日
W-net: Bridged U-net for 2D Medical Image Segmentation
Arxiv
20+阅读 · 2018年7月12日
VIP会员
相关资讯
IEEE ICKG 2022: Call for Papers
机器学习与推荐算法
3+阅读 · 2022年3月30日
ACM MM 2022 Call for Papers
CCF多媒体专委会
5+阅读 · 2022年3月29日
IEEE TII Call For Papers
CCF多媒体专委会
3+阅读 · 2022年3月24日
AIART 2022 Call for Papers
CCF多媒体专委会
1+阅读 · 2022年2月13日
【ICIG2021】Check out the hot new trailer of ICIG2021 Symposium8
中国图象图形学学会CSIG
0+阅读 · 2021年11月16日
【ICIG2021】Check out the hot new trailer of ICIG2021 Symposium2
中国图象图形学学会CSIG
0+阅读 · 2021年11月8日
Hierarchically Structured Meta-learning
CreateAMind
27+阅读 · 2019年5月22日
Unsupervised Learning via Meta-Learning
CreateAMind
43+阅读 · 2019年1月3日
disentangled-representation-papers
CreateAMind
26+阅读 · 2018年9月12日
相关基金
国家自然科学基金
0+阅读 · 2015年12月31日
国家自然科学基金
1+阅读 · 2013年12月31日
国家自然科学基金
0+阅读 · 2012年12月31日
国家自然科学基金
0+阅读 · 2012年12月31日
国家自然科学基金
0+阅读 · 2011年12月31日
国家自然科学基金
0+阅读 · 2011年12月31日
国家自然科学基金
0+阅读 · 2009年12月31日
Top
微信扫码咨询专知VIP会员