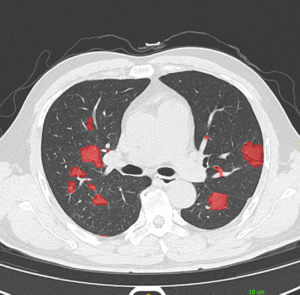
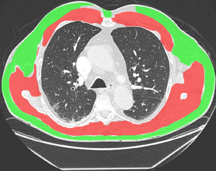
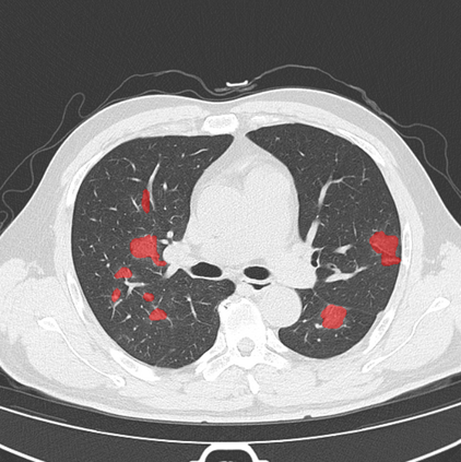
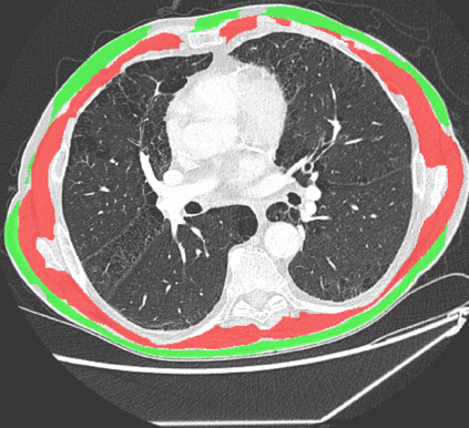
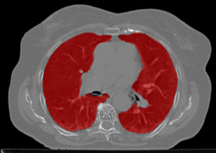
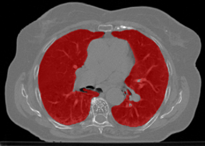
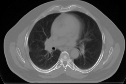
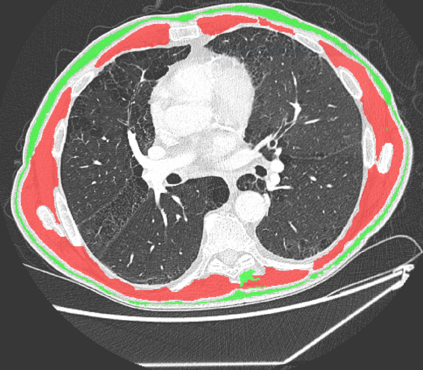
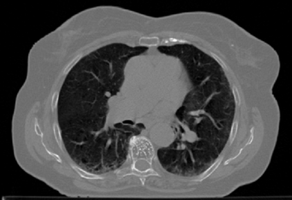
The COVID-19 pandemic has had a considerable impact on day-to-day life. Tackling the disease by providing the necessary resources to the affected is of paramount importance. However, estimation of the required resources is not a trivial task given the number of factors which determine the requirement. This issue can be addressed by predicting the probability that an infected patient requires Intensive Care Unit (ICU) support and the importance of each of the factors that influence it. Moreover, to assist the doctors in determining the patients at high risk of fatality, the probability of death is also calculated. For determining both the patient outcomes (ICU admission and death), a novel methodology is proposed by combining multi-modal features, extracted from Computed Tomography (CT) scans and Electronic Health Record (EHR) data. Deep learning models are leveraged to extract quantitative features from CT scans. These features combined with those directly read from the EHR database are fed into machine learning models to eventually output the probabilities of patient outcomes. This work demonstrates both the ability to apply a broad set of deep learning methods for general quantification of Chest CT scans and the ability to link these quantitative metrics to patient outcomes. The effectiveness of the proposed method is shown by testing it on an internally curated dataset, achieving a mean area under Receiver operating characteristic curve (AUC) of 0.77 on ICU admission prediction and a mean AUC of 0.73 on death prediction using the best performing classifiers.


翻译:COVID-19大流行对日常生活产生了相当大的影响。通过向受影响者提供必要的资源来应对这一疾病至关重要。然而,鉴于确定需求的因素数量众多,估算所需资源并非一项微不足道的任务。可以通过预测受感染病人需要强化护理股(ICU)支持的概率和每种影响因素的重要性来解决这一问题。此外,为了协助医生确定高危患者的致命性,还要计算死亡概率。为了确定患者结果(ICU住院和死亡),建议采用一种新颖的方法,将综合成瘾扫描和电子健康记录(EHR)数据综合成多种模式特征。深度学习模型用于从CT扫描中提取定量特征。这些特征与直接从EHR数据库中读到的因素一起被输入机器学习模型,最终得出患者结果的概率。这项工作表明,为了普遍量化ChestCT平均扫描和死亡,采用一套广泛的深度学习方法(ITU入院),提出了一种新方法,将综合成多模式的多模式,将综合成多模式,从综合成瘾扫描和电子健康记录(EHR)数据(E)中提取数据。深度模型显示,在AAA级预测中,在采用一种正常测算方法下,在进行最佳测算。

0
下载
关闭预览

相关内容

Linux导论,Introduction to Linux,96页ppt
专知会员服务
82+阅读 · 2020年7月26日
100+篇《自监督学习(Self-Supervised Learning)》论文最新合集
专知会员服务
167+阅读 · 2020年3月18日
Keras François Chollet 《Deep Learning with Python 》, 386页pdf
专知会员服务
161+阅读 · 2019年10月12日
强化学习最新教程,17页pdf
专知会员服务
182+阅读 · 2019年10月11日
[综述]深度学习下的场景文本检测与识别
专知会员服务
78+阅读 · 2019年10月10日
【哈佛大学商学院课程Fall 2019】机器学习可解释性
专知会员服务
105+阅读 · 2019年10月9日
【SIGGRAPH2019】TensorFlow 2.0深度学习计算机图形学应用
专知会员服务
41+阅读 · 2019年10月9日
VCIP 2022 Call for Demos
CCF多媒体专委会
1+阅读 · 2022年6月6日
【ICIG2021】Latest News & Announcements of the Tutorial
中国图象图形学学会CSIG
3+阅读 · 2021年12月20日
【ICIG2021】Latest News & Announcements of the Workshop
中国图象图形学学会CSIG
0+阅读 · 2021年12月20日
【ICIG2021】Check out the hot new trailer of ICIG2021 Symposium3
中国图象图形学学会CSIG
0+阅读 · 2021年11月9日
【ICIG2021】Check out the hot new trailer of ICIG2021 Symposium2
中国图象图形学学会CSIG
0+阅读 · 2021年11月8日
【ICIG2021】Check out the hot new trailer of ICIG2021 Symposium1
中国图象图形学学会CSIG
0+阅读 · 2021年11月3日
【ICIG2021】Latest News & Announcements of the Plenary Talk2
中国图象图形学学会CSIG
0+阅读 · 2021年11月2日
【ICIG2021】Latest News & Announcements of the Plenary Talk1
中国图象图形学学会CSIG
0+阅读 · 2021年11月1日
Unsupervised Learning via Meta-Learning
CreateAMind
43+阅读 · 2019年1月3日
国家自然科学基金
0+阅读 · 2015年12月31日
国家自然科学基金
0+阅读 · 2014年12月31日
国家自然科学基金
0+阅读 · 2013年12月31日
国家自然科学基金
0+阅读 · 2013年12月31日
国家自然科学基金
11+阅读 · 2012年12月31日
国家自然科学基金
0+阅读 · 2012年12月31日
国家自然科学基金
0+阅读 · 2012年12月31日
国家自然科学基金
0+阅读 · 2009年12月31日
Arxiv
0+阅读 · 2022年6月29日
Arxiv
0+阅读 · 2022年6月28日
VIP会员
相关VIP内容
相关资讯
VCIP 2022 Call for Demos
CCF多媒体专委会
1+阅读 · 2022年6月6日
【ICIG2021】Latest News & Announcements of the Tutorial
中国图象图形学学会CSIG
3+阅读 · 2021年12月20日
【ICIG2021】Latest News & Announcements of the Workshop
中国图象图形学学会CSIG
0+阅读 · 2021年12月20日
【ICIG2021】Check out the hot new trailer of ICIG2021 Symposium3
中国图象图形学学会CSIG
0+阅读 · 2021年11月9日
【ICIG2021】Check out the hot new trailer of ICIG2021 Symposium2
中国图象图形学学会CSIG
0+阅读 · 2021年11月8日
【ICIG2021】Check out the hot new trailer of ICIG2021 Symposium1
中国图象图形学学会CSIG
0+阅读 · 2021年11月3日
【ICIG2021】Latest News & Announcements of the Plenary Talk2
中国图象图形学学会CSIG
0+阅读 · 2021年11月2日
【ICIG2021】Latest News & Announcements of the Plenary Talk1
中国图象图形学学会CSIG
0+阅读 · 2021年11月1日
Unsupervised Learning via Meta-Learning
CreateAMind
43+阅读 · 2019年1月3日
相关基金
国家自然科学基金
0+阅读 · 2015年12月31日
国家自然科学基金
0+阅读 · 2014年12月31日
国家自然科学基金
0+阅读 · 2013年12月31日
国家自然科学基金
0+阅读 · 2013年12月31日
国家自然科学基金
11+阅读 · 2012年12月31日
国家自然科学基金
0+阅读 · 2012年12月31日
国家自然科学基金
0+阅读 · 2012年12月31日
国家自然科学基金
0+阅读 · 2009年12月31日
Top
微信扫码咨询专知VIP会员