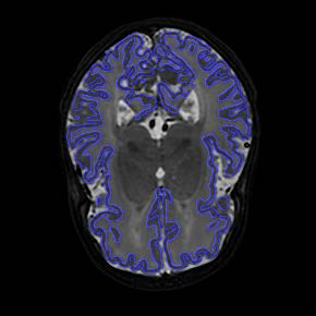
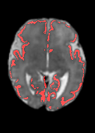
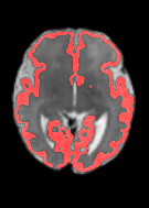
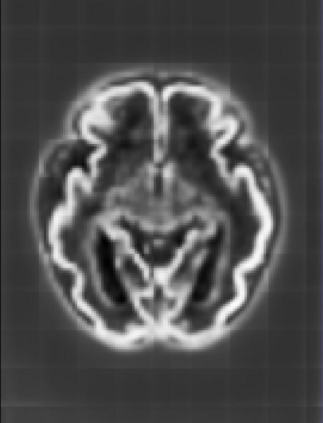
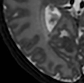
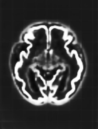
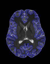
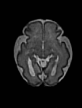
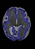
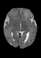
Fetal cortical plate segmentation is essential in quantitative analysis of fetal brain maturation and cortical folding. Manual segmentation of the cortical plate, or manual refinement of automatic segmentations is tedious and time-consuming. Automatic segmentation of the cortical plate, on the other hand, is challenged by the relatively low resolution of the reconstructed fetal brain MRI scans compared to the thin structure of the cortical plate, partial voluming, and the wide range of variations in the morphology of the cortical plate as the brain matures during gestation. To reduce the burden of manual refinement of segmentations, we have developed a new and powerful deep learning segmentation method. Our method exploits new deep attentive modules with mixed kernel convolutions within a fully convolutional neural network architecture that utilizes deep supervision and residual connections. We evaluated our method quantitatively based on several performance measures and expert evaluations. Results show that our method outperforms several state-of-the-art deep models for segmentation, as well as a state-of-the-art multi-atlas segmentation technique. We achieved average Dice similarity coefficient of 0.87, average Hausdorff distance of 0.96 mm, and average symmetric surface difference of 0.28 mm on reconstructed fetal brain MRI scans of fetuses scanned in the gestational age range of 16 to 39 weeks. With a computation time of less than 1 minute per fetal brain, our method can facilitate and accelerate large-scale studies on normal and altered fetal brain cortical maturation and folding.


翻译:在对胎儿大脑毛发和皮质折叠进行定量分析时,必须进行骨质骨质断裂的定量分析。 人工分割骨质板或人工精炼自动分解是乏味和耗时的。 另一方面,对骨质板的自动分割则受到以下挑战:与皮质板的薄结构相比,重建的骨质脑MRI扫描的分辨率相对较低;部分挥发;以及大脑在妊娠期成熟时正常骨质板的形态变化范围之广;为减少人工精炼骨质板的负担,或人工精细修补自动分解,我们开发了一种新的和强大的深厚的深度学习分解方法。我们的方法在利用深度监督和残余连接的完全进化神经网络结构中,利用了新的深层的心血管结裂的心部模块;我们根据一些性能测量和专家评价对方法进行了定量评估。 研究结果表明,我们的方法超越了正常的骨质切分解的深度模型,也超越了正常的深度模型模型,同时,在每分钟内对骨质分解的精度上,我们开发了一个新的精度的马质分解结构分解系统分解模型,我们开发了一个新的深层分解系统分解系统分解系统分解方法,我们开发了一个新的深部分解方法,我们的方法利用了一个新的深部分解方法,我们利用了一个新的深部分解了一个新的深部分解的新的深部单元分解方法,从而,从而,在完全分解方法,在使用了一个新的分解方法,在完全分解法分解法分解方法,在完全分解法系法系法系法系中,在完全的心心心心心心心心心心心心神经分解法系法系,从而,在完全制了利用了利用了利用了一个新的模型,在完全的模型,在利用了一个新的第1,在使用了一个新的第1,在完全法第8,在完全的轨道上,在完全制法系内分解方法中,在利用了一个新的第8,在完全法系上,在完全法第1,在完全的轨道上,在完全法第1,在完全法系中,在完全的研解法系平距第1层平距第1 度上,在18的轨道上,在18的

0
下载
关闭预览

相关内容

神经网络(Neural Networks)是世界上三个最古老的神经建模学会的档案期刊:国际神经网络学会(INNS)、欧洲神经网络学会(ENNS)和日本神经网络学会(JNNS)。神经网络提供了一个论坛,以发展和培育一个国际社会的学者和实践者感兴趣的所有方面的神经网络和相关方法的计算智能。神经网络欢迎高质量论文的提交,有助于全面的神经网络研究,从行为和大脑建模,学习算法,通过数学和计算分析,系统的工程和技术应用,大量使用神经网络的概念和技术。这一独特而广泛的范围促进了生物和技术研究之间的思想交流,并有助于促进对生物启发的计算智能感兴趣的跨学科社区的发展。因此,神经网络编委会代表的专家领域包括心理学,神经生物学,计算机科学,工程,数学,物理。该杂志发表文章、信件和评论以及给编辑的信件、社论、时事、软件调查和专利信息。文章发表在五个部分之一:认知科学,神经科学,学习系统,数学和计算分析、工程和应用。 官网地址:http://dblp.uni-trier.de/db/journals/nn/
[综述]深度学习下的场景文本检测与识别
专知会员服务
78+阅读 · 2019年10月10日
TorchSeg:基于pytorch的语义分割算法开源了
极市平台
20+阅读 · 2019年1月28日
A Technical Overview of AI & ML in 2018 & Trends for 2019
待字闺中
18+阅读 · 2018年12月24日
《pyramid Attention Network for Semantic Segmentation》
统计学习与视觉计算组
44+阅读 · 2018年8月30日
ResNet, AlexNet, VGG, Inception:各种卷积网络架构的理解
全球人工智能
20+阅读 · 2017年12月17日
Capsule Networks解析
机器学习研究会
11+阅读 · 2017年11月12日
gan生成图像at 1024² 的 代码 论文
CreateAMind
4+阅读 · 2017年10月31日
【推荐】全卷积语义分割综述
机器学习研究会
19+阅读 · 2017年8月31日
【推荐】图像分类必读开创性论文汇总
机器学习研究会
14+阅读 · 2017年8月15日
Arxiv
8+阅读 · 2018年5月15日
VIP会员
相关VIP内容
[综述]深度学习下的场景文本检测与识别
专知会员服务
78+阅读 · 2019年10月10日
相关资讯
TorchSeg:基于pytorch的语义分割算法开源了
极市平台
20+阅读 · 2019年1月28日
A Technical Overview of AI & ML in 2018 & Trends for 2019
待字闺中
18+阅读 · 2018年12月24日
《pyramid Attention Network for Semantic Segmentation》
统计学习与视觉计算组
44+阅读 · 2018年8月30日
ResNet, AlexNet, VGG, Inception:各种卷积网络架构的理解
全球人工智能
20+阅读 · 2017年12月17日
Capsule Networks解析
机器学习研究会
11+阅读 · 2017年11月12日
gan生成图像at 1024² 的 代码 论文
CreateAMind
4+阅读 · 2017年10月31日
【推荐】全卷积语义分割综述
机器学习研究会
19+阅读 · 2017年8月31日
【推荐】图像分类必读开创性论文汇总
机器学习研究会
14+阅读 · 2017年8月15日
Top
微信扫码咨询专知VIP会员